INTRODUCCION
La xantomatosis plana normolipémica es un trastorno bien definido que histológicamente se caracteriza por la presencia de células espumosas en la dermis y clínicamente consiste en placas amarillo-anaranjadas fundamentalmente en cara, cuello y tórax. Es importante conocer esta enfermedad porque hay que descartar un trastorno linfoproliferativo de base asociado. Se presenta el caso de una paciente con micosis fungoide que desarrolló xantomas planos en las localizaciones típicas coincidiendo con la aparición de nuevas lesiones de linfoma.
DESCRIPCION DEL CASO
Una mujer de 70 años de edad presentaba una micosis fungoide de más de 20 años de evolución sin ningún otro antecedente médico de interés. Al principio presentaba placas eritematoescamosas que ocupaban más del 10 % de la superficie corporal (T2N0M0, estadio IB) y desde 1990 comenzó con lesiones tumorales por lo que pasó a un estadio IIB (T3N0M0) de la clasificación TNM. A lo largo de la evolución había realizado múltiples tratamientos (corticoides tópicos, mostaza nitrogenada e interferón a hasta 9 millones U/día subcutáneo en 3 ocasiones) pero la enfermedad fue progresando lentamente; finalmente en 1999, debido a la presencia de grandes tumores en el tronco recibió baño de electrones (dosis total de 30 Gy) con desaparición de aquellos. Desde esta fecha no había vuelto a tener ninguna lesión de linfoma. Sin embargo, en enero de 2003 comenzó con nuevas lesiones en la cara en forma de placas y una tumoral. A la exploración presentaba un nódulo asintomático en ángulo mandibular izquierdo, de consistencia firme y coloración violácea y placas eritematosas escamosas no infiltradas en ambas mejillas. Llamaba la atención una coloración amarillenta en regiones preauriculares y subauriculares, parte interna de los párpados, caras laterales de cuello y parte superior del tórax, que la paciente no había notado (figs. 1 y 2). No presentaba adenopatías cervicales, supraclaviculares, axilares ni inguinales ni hepatoesplenomegalia.
Fig. 1.--Lesión nodular de superficie violácea y consistencia firme, junto con placas asintomáticas de coloración amarillo-anaranjada, algunas con tono purpúrico.
Fig. 2.--Placas amarillentas delimitadas y no infiltradas en parte superior del tórax.
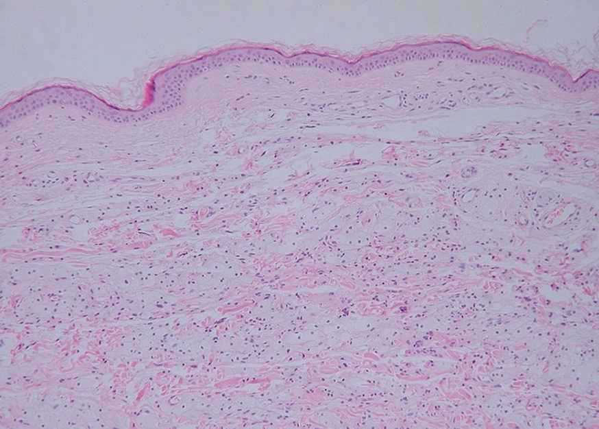
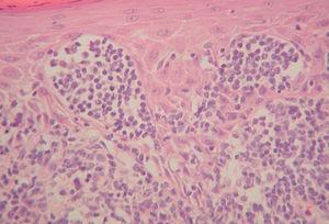
Se realizó biopsia de la lesión nodular de la mejilla y de la placa amarillenta del tórax. El estudio histológico del nódulo (fig. 3) revelaba en la epidermis un intenso epidermotropismo, con acumulaciones de linfocitos atípicos (microabscesos de Pautrier) y algunos linfocitos en halo. La dermis presentaba un infiltrado denso compuesto por células linfocitarias atípicas con núcleos hipercromáticos, grandes e irregulares, algunos claramente cerebriformes. La tinción con CD45 RO fue positiva. No se encontraron células xantomizadas. Con estos datos, se informó de lesión tumoral de micosis fungoide. La biopsia de la placa amarillenta del tórax (fig. 4) mostró un infiltrado difuso en la dermis superficial y media de células espumosas. No se observaban linfocitos atípicos. Estas células eran positivas para CD68 pero negativas para S-100, CD1 y marcadores de linfocitos T.
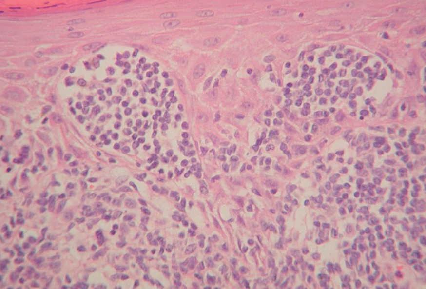
Fig. 3.--Biopsia del nódulo violáceo de la mejilla izquierda. Intenso epidermotropismo con acumulaciones de linfocitos atípicos en epidermis e infiltrado difuso de linfocitos atípicos que abarcaba todo el espesor de la dermis. (Hematoxilina-eosina, x100.)
Fig. 4.--Infiltrado difuso en dermis superficial y media de células histiocitarias espumosas. No se observan linfocitos atípicos. (Hematoxilina-eosina, x20.)
Las pruebas complementarias (hemograma, coagulación, bioquímica, orina, electroforesis, inmunoglobulinas, β2-microglobulina, subpoblaciones linfocitarias, sezaremia) y los estudios de extensión realizados (TC torácico-abdominopélvica) estaban dentro de la normalidad. Se inició tratamiento oral con bexaroteno en una dosis inicial de 150 mg/m 2 y posteriormente 300 mg/m 2, junto a clobetasol tópico; se asoció atorvastatina, 20-40 mg/día, para prevenir la hiperlipidemia secundaria al retinoide. La paciente precisó tratamiento hormonal tiroideo sustitutivo por hipotiroidismo secundario a bexaroteno. Durante un año de tratamiento la paciente ha tenido una respuesta parcial sin observar progresión de la enfermedad neoplásica. Los xantomas han disminuido de intensidad, a pesar de haber presentado hiperlipidemia en alguna ocasión.
COMENTARIO
Los xantomas planos normolipidémicos fueron descritos por primera vez por Altman y Winkelman 1 en 1962. Lynch y Winkelman 2 detectaron 4 años más tarde que podían encontrarse en el contexto de algunas enfermedades, sobre todo trastornos hematológicos y que pueden preceder al diagnóstico de la enfermedad de base en varios años. Ambos sexos se afectan por igual y suelen aparecer en mayores de 50 años 1-8. Clínicamente se caracterizan por la presencia de placas asintomáticas, planas o ligeramente elevadas, de coloración amarillo-anaranjada. En ocasiones, pueden adoptar un aspecto purpúrico 6,7. Los xantomas inicialmente se localizan en los párpados y después se van extendiendo a cuello, parte superior del tronco, glúteos, flexuras y en antiguas cicatrices. En ocasiones pueden estar afectadas las mucosas e incluso se han descrito casos de afectación extracutánea como válvula aórtica y vejiga. En general, las concentraciones de colesterol y triglicéridos en sangre son normales.
Histológicamente se caracterizan por la presencia de un infiltrado en la dermis de células histiocitarias espumosas. Este infiltrado es variable, pudiendo verse desde células espumosas de forma aislada, a nidos celulares distribuidos difusamente por la dermis e incluso verdaderas lesiones xantogranulomatosas. En raras ocasiones pueden verse células gigantes de Touton o de cuerpo extraño. Junto a las células histiocitarias puede haber un infiltrado inflamatorio mixto con leucocitos y linfocitos en grado variable 3,4,7. Las células se tiñen con CD68 pero son negativas para CD1 y S-100 4,5.
En 1989, Trasobares et al 3 revisaron los 63 casos de xantomas planos difusos publicados. De estos 63 pacientes, 43 (63 %) se asociaban con trastorno linfoproliferativo y el resto a otras enfermedades. Las enfermedades hematológicas que más frecuentemente se detectaron fueron la gammapatía monoclonal (58 %, 25 casos) y el mieloma múltiple (30 %, 13 casos). Sin embargo, en esta revisión no hay ningún caso descrito de xantomas planos y linfoma T cutáneo. Entre los procesos no hematológicos asociados a xantomas planos, destacan el síndrome de Ehlers-Danlos, atopia, fotoeczema y diabetes insípida, entre otros.
Hemos revisado la asociación de xantomas con linfomas cutáneos de células T y hemos encontrado 6 casos 9-14 en la literatura inglesa (tabla 1) y ninguno en la española. Cuatro corresponden a micosis fungoide tumoral, otro caso a una en placas que progresó a síndrome de Sézary y otro paciente a un linfoma cutáneo CD30 (Ki-1) positivo. Sin embargo, sólo uno de estos 6 casos descritos, que se trata de una micosis fungoide tumoral, tiene las características típicas de xantomas planos normolipémicos tanto por la sintomatología como por la histología 9. Al igual que nuestra paciente, este paciente tenía placas amarillentas en la piel sana de cara, cuello y parte superior de tórax, que coincidían con la aparición de nuevas lesiones tumorales de micosis fungoide. En el caso descrito de progresión a síndrome de Sézary 10, este se acompaña de xantomas normolipémicos que son papulosos y generalizados. Los 4 casos restantes son xantomas distróficos, ya que se produce xantomización en la piel afectada por el linfoma 11,12 o tras tratamiento 13,14. En la mayoría de los pacientes las concentraciones de lípidos son normales.
Histológicamente se caracterizan por la presencia de histiocitos espumosos en la dermis. En los casos en que la propia lesión de linfoma es la xantomizada (xantomas distróficos) se evidencian también cambios típicos de micosis fungoide 10,11 e incluso en un caso 12 las células xantomizadas no son histiocitos sino linfocitos atípicos. Con ayuda de la inmunohistoquímica se puede distinguir la naturaleza de las células xantomizadas.
En cualquier caso se desconoce la patogenia de los xantomas normolipémicos y además su aparición es independiente de las concentraciones de lípidos, que son habitualmente normales. En los casos en que existe una paraproteína monoclonal circulante, la paraproteína puede actuar como un anticuerpo que se uniría a las lipoproteínas y se formaría un complejo que atravesaría el endotelio capilar y se depositaría en la dermis, donde serían fagocitados por los macrófagos originando los xantomas 3,5,8. En los casos de los xantomas distróficos, el daño tisular local (flebitis, cicatrices, picaduras, eczemas, fotoenvejecimiento, entre otros) sería el responsable de la activación de células retículo-endoteliales, con la consiguiente xantomización de las mismas 3. En los casos en los que se xantomiza la propia lesión de linfoma T cutáneo antes o después del tratamiento, la patogenia de la xantomización podría obedecer a un mecanismo distrófico. En cuanto a nuestra paciente, la aparición de xantomas planos en las localizaciones típicas coincide con la aparición de nuevas lesiones de micosis fungoide, por lo que suponemos que este hecho ha podido ser el factor desencadenante para el desarrollo de los xantomas. Según algunos autores los linfocitos T atípicos podrían activar macrófagos a través de citocinas, entre las que estarían implicadas interleucina 4 e interferón g, con la consiguiente xantomización de estos 9.
Nuestra paciente sería el segundo caso descrito que presenta las características típicas tanto clínicas como histológicas de xantomas planos difusos normolipémicos en el contexto de un linfoma cutáneo de células T. En nuestro caso hay que destacar que la aparición de estas lesiones coincide con la recaída del linfoma de base.







