INTRODUCCION
La atrofodermia idiopática de Pasini y Pierini (AIPP) consiste en un proceso cutáneo atrofiante con rasgos bien definidos: localización preferente en la espalda de mujeres jóvenes o de edad media, bordes bien definidos y un carácter atrófico, que muestra depresión bajo el nivel de la piel adyacente 1. Por el contrario, presenta escasa especificidad histológica y, con frecuencia, el diagnóstico anatomopatológico será el de «piel normal» o «piel sin cambios significativos».
Su posición nosológica permanece en controversia: para unos autores corresponde a una forma de morfea, mientras que para otros constituye una entidad bien individualizada.
Comunicamos 4 casos de esta dermatosis infrecuente y se revisan sus características clinicohistológicas, así como su posición nosológica.
DESCRIPCION DE LOS CASOS
Caso 1
Una mujer de 40 años de edad presentaba, desde hacía 10 años, una lesión asintomática situada en la región dorsal paravertebral izquierda, a nivel dorsal (fig. 1). Esta lesión, ligeramente deprimida, medía 5 * 8 cm y mostraba una tonalidad parda. Los bordes eran netos. La palpación ponía de manifiesto una consistencia idéntica a la piel adyacente.
Fig. 1.--Caso 1. Lesión ligeramente deprimida de bordes netos («en acantilado») y tonalidad parda.
Se tomó biopsia radial para estudio histológico comparativo entre las zonas externa e interna del borde de la lesión. Los cortes fueron teñidos con hematoxilina-eosina, orceína y tricrómico de Masson. El aspecto histológico observado a pequeño aumento era el de una piel aparentemente normal. No existían cambios llamativos en la distribución y estructura del tejido conjuntivo, las glándulas ecrinas se encontraban en la proporción habitual para su localización anatómica. Sin embargo, en los cortes estudiados no se pudieron hallar glándulas sebáceas ni folículos pilosebáceos, aunque sí sus músculos erectores. A mayor aumento se observaron pequeños focos de esclerosis en las proximidades de algunos anejos (fig. 2). Ocasionalmente, estos focos se acompañaban de discreto infiltrado linfocitario y extravasación hemática. Con el tricrómico de Masson se confirmó la esclerosis del colágeno. La tinción con orceína puso de manifiesto la conservación de las fibras elásticas en el seno de estos focos, al igual que en el resto de la dermis.
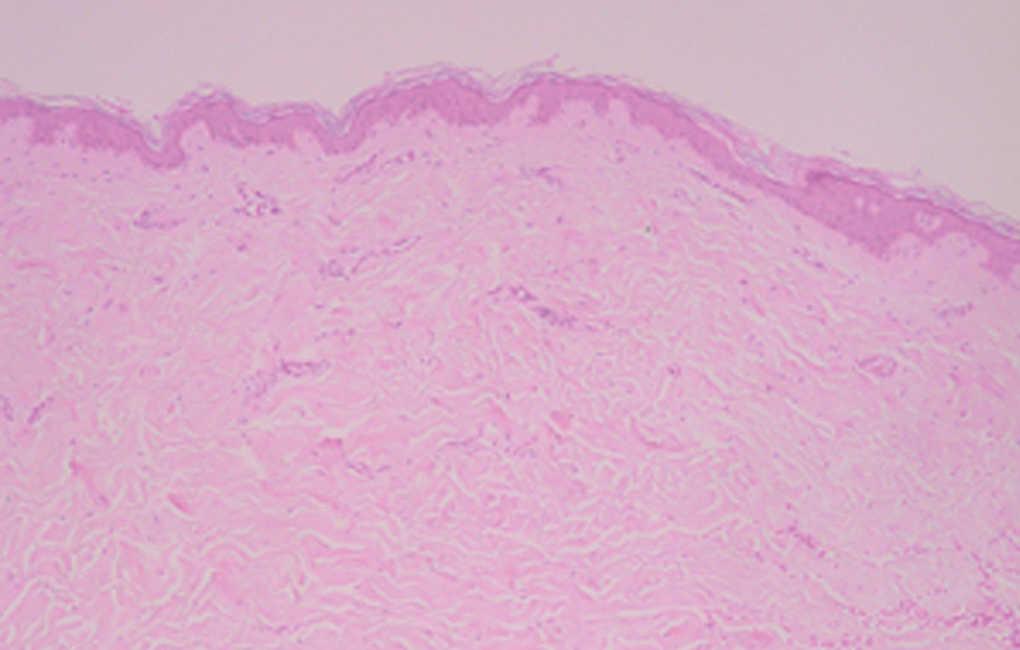
Fig. 2.--Caso 2. Área con esclerosis del colágeno situada en la dermis reticular. (Hematoxilina-eosina, x40.)
Caso 2
Una mujer de 36 años de edad consultó por presentar, desde hacía 3 meses, una lesión asintomática situada en la línea media de la espalda, en su región interescapular. Medía 2 x 3 cm y estaba constituida por un área de tonalidad levemente rosada, delimitada por un borde neto y ligeramente deprimido. Su consistencia era normal en relación a la piel adyacente. El estudio histológico no mostró ninguna alteración reconocible en el colágeno, fibras elásticas ni anejos, ni existía infiltrado inflamatorio alguno.
Caso 3
Una mujer de 47 años de edad presentaba, desde hacía 6 meses, una lesión asintomática situada en la región glútea derecha. Esta lesión tenía una morfología redondeada, de 2 x 2 cm, deprimida y de tonalidad suavemente azulada-grisácea. En este caso el borde estaba peor definido que en los casos anteriores (fig. 3). La palpación era como la de un orificio herniario, pero no protruía hacia el exterior.
Fig. 3.--Caso 3. Lesión deprimida de tonalidad ligeramente violácea. Bordes en suave plano inclinado.
Durante la toma de la biopsia se evidenció una clara disminución en el grosor de la dermis del interior de la lesión en relación a la del exterior. Histológicamente no existían alteraciones de la epidermis, las fibras elásticas, el colágeno ni los anejos. Tampoco había infiltrado inflamatorio.
Caso 4
Una mujer de 34 años mostraba, desde hacía 3 meses, una lesión cutánea, deprimida, asintomática, que se localizaba en la región interescapular de 2 x 2,5 cm. Sus bordes eran netos y su fondo blanquecino y surcado por finas telangiectasias. Histológicamente, la dermis afectada presentaba un grosor reducido respecto a la piel adyacente. En la dermis reticular media y profunda, existían haces de colágeno hialinizados y espacios interfibrilares disminuidos, que creaban una imagen de densificación del colágeno. En la dermis papilar se observaban telangiectasias. No existían alteraciones cuantitativas ni cualitativas de las fibras elásticas.
En los 4 casos la serología para Borrelia burgdorferi fue negativa.
COMENTARIO
La principal controversia en relación a la AIPP es su posición nosológica. Algunos autores la incluyen en las dermatitis fibrosantes, junto a la morfea, el liquen escleroatrófico y la acrodermatitis crónica atrófica. En efecto, la coexistencia de AIPP con morfea 2-6, liquen escleroso y atrófico 7,8 y esclerodermia sistémica 9 hace pensar que pudiera ser así. Ackerman interpreta la AIPP como una expresión tardía de morfea 10, pero nuestros pacientes, como los descritos por otros autores 11, no han pasado por una fase previa de morfea. En la tabla 1 se resumen las principales diferencias entre la AIPP y la morfea.
Las lesiones de AIPP suelen ser asintomáticas. Su tamaño varía desde milímetros a centímetros. Suelen ser únicas, pero cuando son múltiples pueden distribuirse al azar, unilateralmente u ocupando uno o varios segmentos 12. Son lesiones ligeramente deprimidas de borde neto, semejantes a un acantilado o a una huella sobre la nieve. Cuando, se localizan en el abdomen o en las regiones glúteas el borde no es tan abrupto. Si las lesiones se sitúan en la espalda la consistencia es similar a la de la piel adyacente, pero si lo hacen en zonas con abundante panículo adiposo la consistencia está disminuida. La morfea clásica, por el contrario, sólo se deprime en los estadios finales (fase atrófica). El color de las lesiones varía desde pardo, rosado, azulado a grisáceo, pero estas no muestran anillo liliáceo.
La causa de la AIPP es desconocida. No se ha demostrado relación con B. burgdorferi 7,11.
Aunque existe algún caso de agregación familiar, no está demostrado un fondo genético 13.
Recientemente se ha publicado la disminución global de los glusaminoglucanos en el tejido conjuntivo de la AIPP y de la morfea en su fase atrófica. Los datos obtenidos sugieren que el metabolismo de los glucosaminoglucanos es diferente en la AIPP y la morfea. La cantidad total de disacáridos y la cantidad de ΔDi-4S (DS) están incrementadas en la morfea atrófica, y disminuidos en la AIPP 14. La AIPP se ha descrito en asociación, probablemente fortuita, con elastosis perforante serpiginosa en un paciente con cariotipo 47,XYY 15 y con lupus eritematoso y déficit hereditario de C2 en otro 16.
La inmunohistoquímica del infiltrado linfohistiocitario acompañante, aunque escaso e inconstante, induce a pensar en posibles mecanismos inmunológicos en la AIPP 11. El cuadro histológico de la AIPP muestra una disminución del grosor de la dermis afectada 1. No se han señalado alteraciones cuantitativas ni cualitativas en los anejos, excepto un aumento del diámetro de los músculos erectores del pelo 17.
Las alteraciones en la estructura del colágeno son variables 11. Nosotros hemos observado algunas alteraciones del colágeno en sólo dos de las biopsias, consistentes en zonas de esclerosis en la dermis media e hialinización y disminución de los espacios interfibrilares de la dermis reticular media y profunda. El grado de afectación del colágeno podría no estar relacionado con el tiempo de evolución de las lesiones. La mayor parte de los autores no encuentra alteraciones significativas en las fibras elásticas. Los estudios mediante RM han comprobado que sólo existe una disminución de la dermis y no del tejido subcutáneo 18.
Ningún tratamiento empleado se ha mostrado plenamente eficaz. El láser de alejandrita es útil en el control de las lesiones hiperpigmentadas 19.






