INTRODUCCION
El angiomixoma superficial es un tumor mesenquimatoso benigno poco frecuente. Fue descrito en 1988 por Allen et al 1 y hasta hace poco tiempo era una patología infravalorada. Esta lesión ya había sido reconocida en el contexto de los síndrome de Carney 2, NAME (del inglés nevi, atrial myxoma, myxoid neurofibroma and ephelides) 3 o LAMB (del inglés lentigines, atrial myxomas and blue nevi) 4, pero puede aparecer de manera esporádica y aislada como una entidad per se. Presentamos el caso de una paciente de 34 años con una lesión en la cara compatible con angiomixoma superficial, no asociado a mixomas cardiacos.
DESCRIPCION DEL CASO
Una mujer de 34 de años, sin antecedentes personales de interés, que acudió a consulta por presentar, en la región preauricular izquierda, una masa asintomática, de crecimiento rápido y progresivo de 2 meses de evolución. Refería que hacía 9 meses le habían extirpado en la misma localización una lesión sobreelevada, asintomática, de 20 años de evolución, con diagnóstico histológico de fibrolipoma.
En la exploración física se observó en región preauricular izquierda una masa subcutánea que elevaba la piel, de 4 x 6 cm, bien delimitada, de apariencia quística, consistencia blanda, no adherida a planos profundos y recubierta por piel normal (fig. 1). Se realizó una punción-aspiración con aguja fina (PAAF) de la lesión, en la que se observaron células de aspecto fibroblástico y adiposo sin signos de malignidad. En la TC se observó, en la región preauricular izquierda, una masa quística de 6 x 4 x 1,3 cm en el seno del tejido celular subcutáneo, independiente de la glándula parótida y del músculo temporal.
Fig. 1.--En la región preauricular izquierda se observa una masa, de apariencia quística, consistencia blanda y superficie epidérmica normal (A). La presencia de esta masa produce asimetría facial (B).
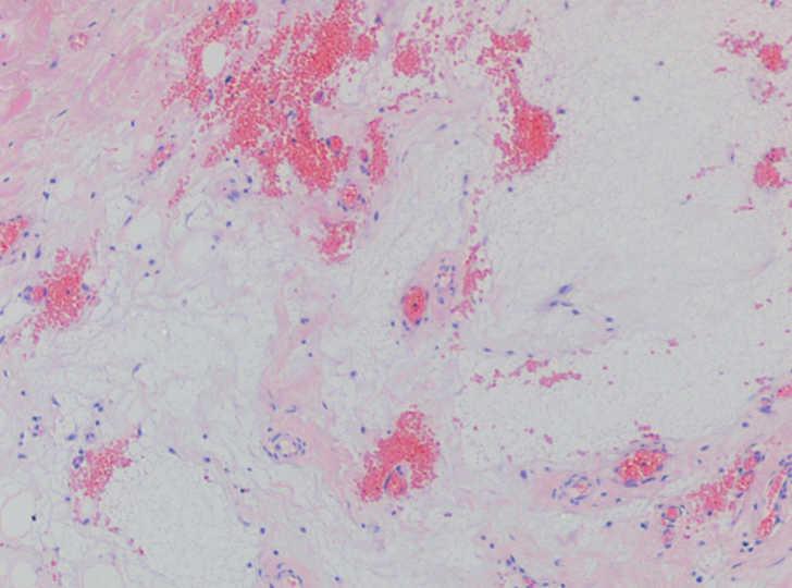
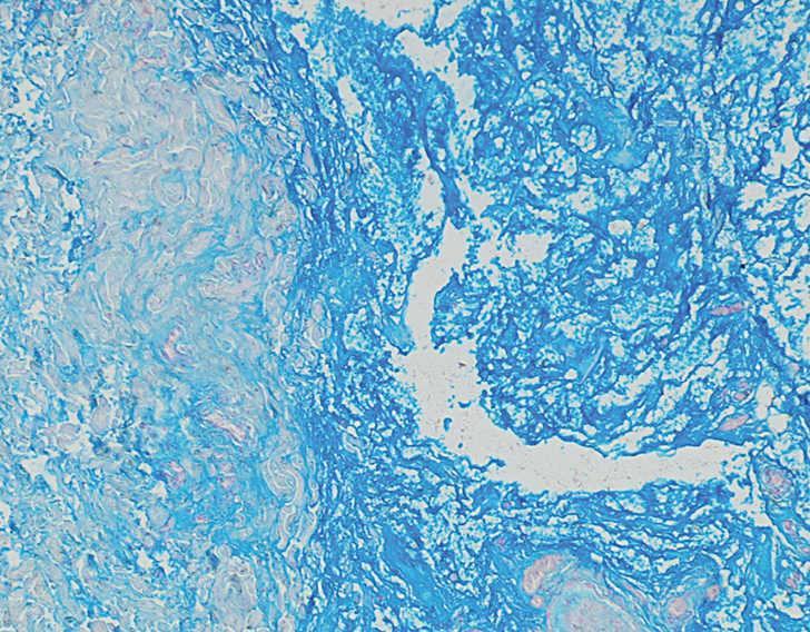
Se realizó extirpación de la lesión. En la histología se observó, en la dermis y extendiéndose a tejido celular subcutáneo, una lesión multilobulada y con márgenes mal definidos. Esta tumoración contenía una prominente estroma mixoide en el que se encontraban vasos de paredes finas y escasa celularidad. No se apreciaban atipias ni mitosis. La estroma mixoide se teñía fuertemente con la técnica de hierro coloidal (figs. 2 y 3). Ante el diagnóstico de angiomixoma superficial se realizó una ecocardiografía en la que no se detectaron mixomas auriculares. En la exploración física no se observaron otras tumoraciones ni lesiones pigmentadas que pudieran hacer sospechar un síndrome asociado. Tras 6 meses de seguimiento no se han observado signos de recurrencia.
Fig. 2.--Se observa una tumoración situada principalmente en la dermis compuesta por una prominente estroma de aspecto mixoide, con escasa celularidad y proliferaciones vasculares de paredes finas. Se observa un discreto infiltrado inflamatorio alrededor de los vasos.
Fig. 3.--Con la tinción de hierro coloidal se observa una abundante matriz mixoide.
COMENTARIO
Stout 5 en 1948 describió los mixomas como una verdadera neoplasia compuesta por células estrelladas asentadas en una estroma mucoide, atravesada por finos septos de fibras de reticulina. Estos tumores pueden aparecer en cualquier localización; normalmente se originan en músculo esquelético y corazón, pero también se han descrito en tejido subcutáneo, pelvis y hueso. Sin embargo, los mixomas cutáneos son raros. Cuando estas lesiones presentan un componente vascular predominante se les denomina angiomixomas.
Las lesiones tumorales en piel que cursan con cambios mixoides como fenómeno primario son infrecuentes y su clasificación es confusa. Dentro de los tumores mixoides benignos son bien conocidos el quiste mixoide digital, el ganglión mixoide y el mucocele del labio, pero también pertenecen a este grupo el neurofibroma mixoide, el mixoma de la vaina del nervio, el lipoma de células fusiformes, los fibromixomas múltiples, el tricoblastoma tricogénico y el angiomixoma superficial entre otros. Por otro lado, se han descrito varios tumores mixoides malignos como el angiomixoma agresivo perineal, el lipoblastoma y el fibroblastoma de células gigantes.
La primera descripción de angiomixoma superficial la realizaron Allen et al 1 en 1988, que describieron 30 casos en 28 pacientes. Posteriormente se publicaron pocos casos hasta que en 1999 Calonje et al 6 revisaron 39 nuevos casos. Sólo hemos encontrado 2 casos en la literatura médica española 7.
El angiomixoma superficial es más frecuente en varones, principalmente entre los 20 y los 50 años, aunque se ha descrito un caso congénito 8. Son lesiones normalmente únicas que clínicamente son muy heterogéneas. Se manifiestan como una pápula, un nódulo o una lesión polipoide del color de la piel. La superficie es lisa no ulcerada, y en ocasiones son papilomatosos. El tamaño es variable, pero generalmente oscila entre 1 y 5 cm. En el 40 % de los casos la lesión se localiza en el tronco, seguido por las extremidades inferiores y cabeza y cuello. En esta última región se encontraban el 17 % de los angiomixomas superficiales de la revisión de Allen et al 1 y el 35 % de los pacientes de la serie de Calonje et al 6. El tratamiento es quirúrgico y existen recurrencias locales en el 30-40 %. Ninguno de los pacientes tuvo metástasis a distancia y no se han publicado hasta la fecha casos de angiomixomas superficiales agresivos en la piel 9,10.
Histológicamente se trata de un tumor mal delimitado. La lesión está localizada principalmente en la dermis reticular con extensión a la grasa en la mayoría de los casos. Cuando se localiza en la cara puede estar afectado también el músculo estriado, por ser menor el grosor del panículo adiposo. Tiene un patrón de crecimiento multilobular, presentando finas bandas de colágeno que lo divide en nódulos de escasa celularidad inmersos en un material intersticial mixoide basófilo. Esta matriz mixoide contiene células en su interior de morfología fibroblástica, con formas fusiformes, elongadas o estrelladas. Estas células no suelen mostrar atipias ni mitosis, y si las presentan son focales y poco llamativas. En ocasiones existen pequeñas áreas acelulares con formación de microquistes. Otro dato típico es la presencia de vasos pequeños y de paredes delgadas junto a un infiltrado inflamatorio, principalmente de neutrófilos localizados dentro del lago mucinoso. La presencia de estas células inflamatorias es un dato importante para el diagnóstico porque está ausente en otros tipos de lesiones mixomatosas. Un hecho llamativo del angiomixoma superficial es la coexistencia de estructuras epiteliales como quistes epidermoides, que parecen ser el resultado del atrapamiento de anejos cutáneos por el propio tumor. Curiosamente cuando ocurre esto, se asocia a mayor posibilidad de recurrencia. Las características inmunohistoquímicas de las células tumorales del angiomixoma superficial no están bien descritas. En los pacientes en los que se ha realizado inmunohistoquímica, las células estromales son positivas para vimentina y focalmente positivas para actina del músculo liso, mientras que son negativas para S-100, desmina y factor XIIIa 9. La estroma mixoide tiene las características tintoriales propias del ácido hialurónico 1,6. Es fuertemente positiva a la tinción azul Alcián e hialuronidasa sensible.
El diagnóstico clínico diferencial puede realizarse con el quiste epidermoide, lipoma, neurofibroma, absceso, linfangioma, dermatofibrosarcoma y fibroma, entre otros. El diagnóstico es histológico y hay que diferenciarlo de otros tumores mixoides. En mujeres de edad media es muy importante distinguirlo de los angiomixomas agresivos del área genital 1,6,11,12.
En todos los pacientes con angiomixoma superficial hay que descartar cuadros familiares como el síndrome Carney 2, NAME 3 y LAMB 4. Los mixomas que se encuentran en estos síndromes son clínica e histológicamente indistinguibles de los angiomixomas superficiales solitarios. El complejo de Carney se caracteriza clínicamente por múltiples angiomixoma cutáneos, mixomas mamarios y cardiacos, lentigos, hiperactividad endocrina (síndrome de Cushing, precocidad sexual y acromegalia) y schwannoma psammomatoso melanótico. Principalmente hay que descartar un síndrome de Carney en los pacientes con angiomixomas superficiales localizados en el oído externo o cuando son múltiples; el 54 % de los pacientes con este síndrome los presentan y en el 71 % son múltiples. Además, un angiomixoma superficial puede ser la manifestación más temprana de este síndrome 2. El síndrome LAMB es el acrónimo en inglés de lentigos, mixoma auricular, mixomas mucocutáneos y nevos azules, mientras que el síndrome NAME se corresponde con nevos azules, mixoma auricular, neurofibroma mixoide y efélides. En la actualidad se cuestiona si estos síndromes son diferentes o son variaciones del síndrome de Carney.
Las lesiones cutáneas que presentan cambios mixoides como fenómeno primario son infrecuentes y a veces difíciles de tipificar. El angiomixoma superficial es una neoplasia que no es aceptada por todos los autores, por lo que probablemente está infradiagnosticada. Sin embargo, sus características histológicas distintivas hacen que pueda ser considerada una entidad aparte.





