HISTORIA CLINICA
Mujer de 53 años, sin antecedentes personales de interés consulta por presentar una lesión en espalda de 6 meses de evolución, asintomática, de crecimiento progresivo, sin traumatismos ni otras alteraciones previas.
EXPLORACION FISICA
En la región escapular izquierda tenía una placa de 2,5 cm de diámetro, de consistencia dura, infiltrada en planos profundos. Estaba recubierta por piel levemente eritematosa, sobreelevada en sus extremos, con forma hemiesférica en el superior e irregular en el inferior (fig. 1).
Fig. 1.--Placa de 2,5 cm, infiltrada, con su extremo superior hemiesférico e irregular el inferior.
EXPLORACIONES COMPLEMENTARIAS
Se realizó biopsia cutánea en el extremo inferior de la placa para estudio histológico (figs. 2-4).
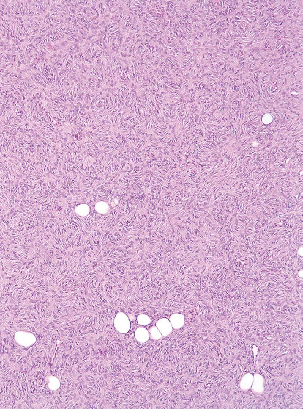
Fig. 2.--Haces de células fusiformes arremolinadas en patrón en rueda de carro.
Fig. 3.--Detalle de la figura 2.
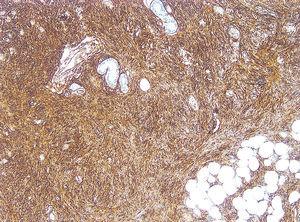
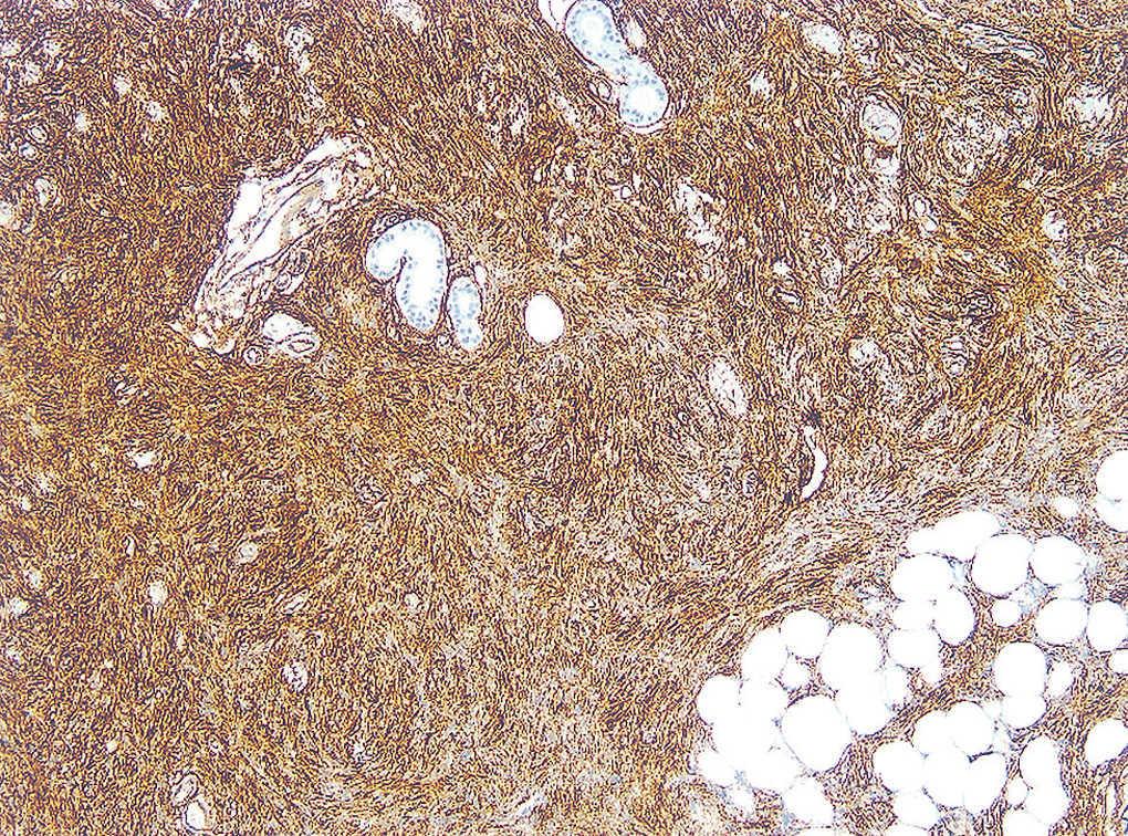
Fig. 4.--Intensa positividad para CD34.
DIAGNOSTICO
Dermatofibrosarcoma protuberans (DFSP).
HISTOPATOLOGIA
El estudio histopatológico mostró en la dermis profunda una densa proliferación de células fusiformes con núcleos abombados, levemente pleomórficos. Éstas estaban dispuestas en haces entrelazados con un patrón arremolinado en torno a un eje central constituido fundamentalmente por colágeno y alcanzaban el tejido celular subcutáneo.
El estudio inmunohistoquímico de las células tumorales fue negativo para el factor XIIIa e intensamente positivo para el marcador CD34.
EVOLUCION Y TRATAMIENTO
La paciente fue remitida para tratamiento con cirugía micrográfica al Instituto Valenciano de Oncología. Se le realizó extirpación completa del tumor mediante cirugía de Mohs diferida en primer estadio. Tras 2 años de seguimiento, no se ha observado recidiva ni otras alteraciones excepto un carcinoma basocelular en la frente hace un año.
COMENTARIO
El dermatofibrosarcoma protuberans es un tumor cutáneo relativamente infrecuente que presenta como característica clínica más relevante una marcada tendencia a la recidiva tras la escisión quirúrgica. Se incluye dentro de las neoplasias fibrohistiocíticas de malignidad intermedia.
Descrito por primera vez en 1890 1,2, es en 1924 cuando se estableció como entidad clinicopatológica definida; en 1925 3 recibió la denominación actual y en 1962 se enfatizaron las características microscópicas fundamentales para el diagnóstico 4. El DFSP es un tumor infrecuente, con una incidencia de 0,8-5 casos/millón de habitantes/año 5, excepcional en la infancia 6 y afecta habitualmente a adultos de entre 20 y 50 años.
La localización más común es el tronco (50-60 %) y la porción proximal de las extremidades (20-30 %) 4. La apariencia clínica del tumor suele consistir en una placa asintomática de crecimiento lento, rojo-violácea o parduzca, infiltrada en profundidad, y con menor frecuencia aparece como un nódulo cutáneo duro. No parece existir predisposición hereditaria 7; en algunas series se observa asociación con factores traumáticos locales.
La apariencia histopatológica típica del DFSP consiste en una densa proliferación de células fusiformes con núcleo abombado, dispuestas en haces arremolinados en un patrón estoriforme denominado en rueda de carro, alrededor de áreas acelulares centrales de tejido colágeno 4. Desde esta zona parten radialmente fascículos de células neoplásicas que invaden el tejido adiposo subcutáneo desde la dermis profunda, ya sea dejando islotes de adipocitos entre los fragmentos del tumor (patrón en panal de abejas, 30 % de los casos), ya sea en bandas paralelas a la epidermis (patrón en hojaldre, 60 % de los casos). Las células muestran grandes núcleos ligeramente pleomórficos, con escasas figuras mitóticas. En su periferia, el tumor tiende a crecer emitiendo prolongaciones mal delimitadas, lo que explica la dificultad clínica e histológica para determinar sus límites y la elevada tasa de recurrencia tras la extirpación quirúrgica convencional 8. El DFSP muestra positividad para CD34 y negatividad para factor XIIIa y proteína S-100, de gran valor para el diagnóstico diferencial con otros tumores.
Las metástasis ganglionares (1 %) o a distancia (4 %) 9 son más frecuentes tras las recidivas locales y la supervivencia en estos casos es baja (media de 14 meses). Por ello, la resección completa inicial del tumor es especialmente importante y, dada su mala delimitación, el tratamiento de elección es la cirugía micrográfica de Mohs, con una tasa de recurrencia del 0,6 % (de 0 a 6,6 %) frente al 13-60 % con cirugía convencional y márgenes de 1 a 4 cm 9-11.
La mayoría de las recurrencias ocurren en los primeros 3 años, por lo que se recomienda un seguimiento periódico cada 3-6 meses durante este tiempo y después anualmente, con cuidadosa inspección y palpación de la zona de escisión y posibles adenopatías locales.
El diagnóstico diferencial es amplio y abarca aquellos procesos con los que el DFSP puede ser confundido clínicamente, como dermatofibroma, fibrosarcoma, histiciotoma fibroso maligno, fibroxantoma atípico, queloides y linfomas.






