HISTORIA CLINICA
Un varón de 36 años, sin antecedentes médico-quirúrgicos personales ni familiares de interés, acude a la consulta de dermatología para examen de una lesión cutánea de unos 2 años de evolución, asintomática, de crecimiento lento y localizada en el pabellón auricular izquierdo. El paciente no refería hábitos tóxicos ni recibía ningún tratamiento médico. Tampoco había sufrido ningún traumatismo previo en esa zona.
EXPLORACION FISICA
La exploración física mostraba un nódulo (fig. 1) de un diámetro aproximado de 8 x 10 mm, de color eritematoparduzco, de consistencia blanda a la palpación, localizado en el pliegue formado entre el hélix y el antehélix del pabellón auricular izquierdo. No se palpaban adenopatías locorregionales ni existía ninguna otra lesión cutánea significativa.
Fig. 1.--Nódulo asintomático en el pabellón auricular.
EXPLORACIONES COMPLEMENTARIAS
Se realizó una biopsia incisional en sacabocados que fue diagnóstica (fig. 2).
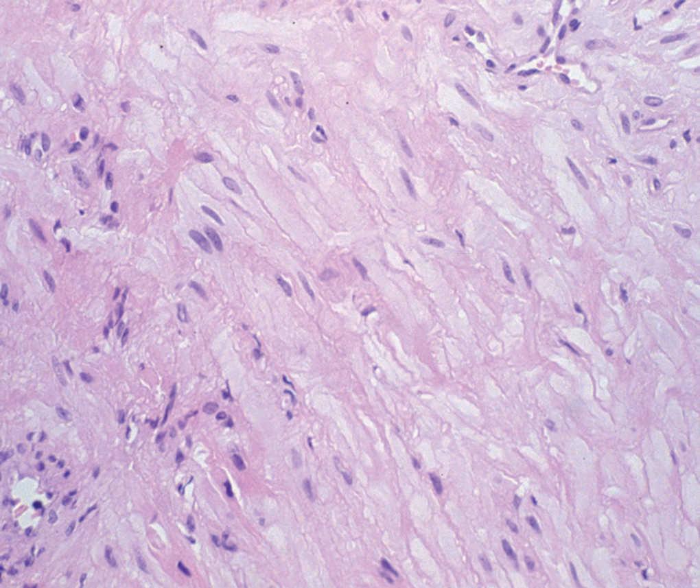
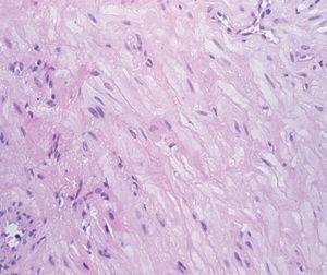
Fig. 2.--Imagen histopatológica en la que se observan múltiples haces de fibras de músculo liso. En el marco superior derecho se aprecia una estructura vascular de luz amplia y pared estrecha. Hematoxilina-eosina, x240.)
DIAGNOSTICO
Angioleiomioma del pabellón auricular.
HISTOPATOLOGIA
En el estudio histopatológico, tanto de la biopsia como de la resección completa, se observa la presencia de un tumor constituido por gruesos haces entrelazados de músculo liso rodeados de vasos (fig. 2). Estos vasos se caracterizaban por presentar luces amplias y cuyas paredes, pobres en tejido elástico, son difíciles de diferenciar de los haces de músculo liso. No se apreciaron estructuras adipocitarias ni de ningún otro tipo. Las tinciones inmunohistoquímicas confirmaron el origen del tumor; se tiñeron las células con vimentina y desmina, mientras que el HMB-45 fue negativo.
EVOLUCION Y TRATAMIENTO
Pocas semanas más tarde, se procedió a la extirpación completa de la lesión con anestesia local, y se confirmó dicho diagnóstico. Durante el seguimiento clínico efectuado en visitas posteriores no se objetivaron signos de recidiva tumoral.
COMENTARIO
El angioleiomioma cutáneo es un tumor benigno del músculo liso, no demasiado frecuente, constituido a partir del tejido muscular liso que compone la pared vascular. Otros tumores benignos compuestos por músculo liso son los piloleiomiomas, compuestos por el músculo liso del erector del vello, y los leiomiomas cutáneos genitales, localizados en escroto, aréola y vulva 1.
El angioleiomioma suele presentarse como una lesión única en forma de nódulo solitario, de crecimiento lento y tamaño inferior a los 2 cm, localizado habitualmente en miembros inferiores 2. Se acostumbra a diagnosticar en adultos jóvenes, con un leve predominio en mujeres 3. Puede ser doloroso, aunque, como en este caso, esta sintomatología suele estar ausente en aquellos localizados en cara y tronco 4.
El diagnóstico diferencial clínico de estos tumores infrecuentes puede realizarse con ciertas formas de carcinoma basocelular, el melanoma amelanótico, la hiperplasia angiolinfoide con eosinofilia y otros tumores vasculares como el hemangioma capilar o el tumor glómico 5,6.
Su origen es objeto de controversia. Mientras que la mayoría de los autores opina que procede de vasos de tipo venoso, otros lo consideran hamartoma 7. También se ha descrito una infrecuente variante de origen intravascular 8.
Histológicamente suele ser un tumor bien definido rodeado de una cápsula fibrosa de grosor variable. El componente principal es el músculo liso, que forma haces entrelazados alrededor de numerosos canales vasculares. La mayoría de estos vasos tienen varias capas de tejido muscular liso en sus paredes que se confunden con los fascículos intervasculares. La estroma que contienen estos tumores es variable, y presenta cambios mixoides con bastante frecuencia. Otros hallazgos que se han descrito en estos tumores son la presencia de trombosis vascular, calcificación focal, hemosiderina o grasa. En estos casos se denominan angiomiolipomas 1.
Hachisuga et al 7, tras analizar 562 angioleiomiomas, establecieron tres variantes histológicas principales: sólido o capilar, en los que densos haces de músculo liso rodean numerosos vasos de luz estrecha; cavernoso, caracterizado por unos vasos de luces amplias cuyas paredes son difíciles de distinguir de los haces de músculo liso intervascular, y el tipo venoso, en el que las gruesas paredes vasculares son perfectamente distinguibles de los haces de músculo liso. Con posterioridad se han descrito otras dos variantes: un subtipo epitelioide 9, compuesto por células de núcleo ovalado y citoplasma eosinófilo, y un subtipo pleomórfico, con marcado pleomorfismo celular pero con ausencia de mitosis 10.
La extirpación de estos tumores benignos sirve para confirmar el diagnóstico y suele ser muy agradecida por los pacientes, tanto en aquellos casos que cursan con dolor como por motivos cosméticos o posibles efectos psicológicos (cancerofobia) en los tumores asintomáticos.




