INTRODUCCIÓN
La asociación de tricoepiteliomas múltiples hereditarios y cilindromas constituye un síndrome muy poco frecuente (Brooke-Spiegler) de herencia autosómico-dominante y penetrancia variable1. Raramente se han descrito casos de espiradenomas dentro de este cuadro. La presencia de esta asociación refuerza la teoría de la existencia de una alteración a nivel de las células pluripotenciales de la unidad folículo-sebáceo-apocrina capaz de originar tumores con distinta diferenciación.
DESCRIPCIÓN DEL CASO
Se trata de una mujer de 47 años de edad que desde la infancia presentaba lesiones asintomáticas, de aparición progresiva, sobreelevadas en surcos nasogenianos. Tres años antes de la primera consulta le extirparon en otro centro una lesión nodular de zona parietal derecha con resultado histológico de cilindroma; consultó por dos lesiones, semejantes a la extirpada, localizadas en área preauricular y en cuero cabelludo. La paciente tenía tres hijos (un varón de 23 y dos mujeres de 20 y 19 años) con lesiones de aparición progresiva desde la infancia, semejantes a las de la paciente, localizadas en frente y surcos nasogenianos. No presentaba otros antecedentes personales ni familiares de interés clínico ni dermatológico.
En la exploración clínica se apreciaron en frente, surcos nasogenianos y área preauricular lesiones papulosas, de pocos milímetros de diámetro, translúcidas, agrupadas, redondeadas, no infiltradas de consistencia igual al resto de la piel. En área preauricular izquierda presentaba una lesión tumoral de 0,8 x 0,4 cm, rosada, de consistencia blanda, bien delimitada, no adherida en profundidad, con piel suprayacente sin cambios (fig. 1); en sien derecha presenta otra lesión de 0,3 cm similar a la anterior.
Fig. 1.--Lesión tumoral rosada localizada en área preauricular, lesiones papulosas translúcidas en la piel adyacente.
Se realizó extirpación de la lesión tumoral preauricular izquierda y biopsia por afeitado de una lesión papulosa preauricular de la paciente. Se electrocoagularon las lesiones mayores del varón de 23 años y de la hija de 19 con resultado cosmético satisfactorio.
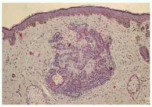
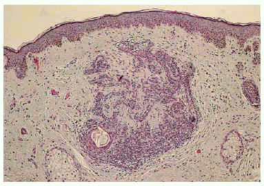
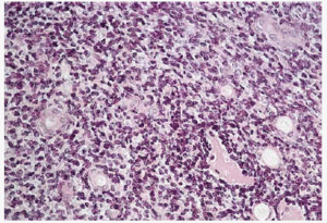
El estudio histológico de la lesión preauricular mostraba una neoformación de células basaloides, sin conexión epidérmica, en cuya porción inferior había grandes lóbulos redondeados, mientras que en su porción superior los lobulillos estaban agregados «en rompecabezas» (fig. 2) con formación de conductos y membrana basal prominente (fig. 3). Los grandes nódulos profundos mostraban una sábana de pequeñas células de núcleo muy teñido, salpicada de luces tapizadas por células mayores y más claras. En los intersticios había material hialino (fig. 4). Se trataba, por tanto, de una mezcla de los patrones del cilindroma (arriba) y espiradenoma (abajo).
Fig. 2.--Extirpacion de la lesión tumoral que muestra en su porción inferior grandes lóbulos tumorales redondeados, mientras que en su porción superior hay pequeños lobulillos agregados «en rompecabezas» (hematoxilina-eosina x100).
Fig. 3.--Detalle de la porción superior «cilindromatosa» con formación de conductos y membrana basal prominente (PAS x200).
Fig. 4.--Detalle de la porción inferior (espiradenoma) con células de núcleo muy teñido, con formación de conductos y depósito de material hialino (hematoxilina-eosina x400).
Las lesiones papulosas fueron semejantes en las muestras de los tres pacientes, mostrando tumoraciones basaloides circunscritas, con estroma fibrocítico y clara diferenciacion folicular (fig. 5 ).
Fig. 5.--Biopsia de una lesión papulosa de surco nasogeniano que muestra una tumoración basaloide, con estroma fibrocítico peritumoral y diferenciación folicular (hematoxilina-eosina x 200).
DISCUSIÓN
En 1892 Brooke describió la presencia de las lesiones tumorales del tricoepitelioma, denominándolas epitelioma adenoide quístico. En el mismo año Fordyce las denominó epitelioma múltiple benigno quístico de la piel2, 3; sin embargo, en referencia a su diferenciación folicular, la denominación de tricoepitelioma se considera hoy día como la más apropiada4. Los tricoepiteliomas se pueden presentar como lesiones aisladas o solitarias. La forma múltiple, de presentación familiar y herencia autosómica dominante, se ha asociado mediante técnicas de ligamiento genético con un gen supresor localizado en el cromosoma 9p215. Clínicamente se caracteriza por presentar numerosas lesiones indoloras, papulosas, de pocos milímetros de diámetro, translúcidas, pseudovesiculosas, agrupadas preferentemente en los surcos nasogenianos, nariz y frente. Ocasionalmente, las lesiones pueden sugerir los angiofibromas de la esclerosis tuberosa, los carcinomas basocelulares del síndrome de Gorlin, el hamartoma folicular múltiple familiar, el carcinoma basocelular infudibuloquístico múltiple familiar o incluso la sarcoidosis4, 6, 7. Las formas solitarias forman tumores mayores, de varios centímetros de diámetro. Histológicamente se caracterizan por presentar islas de células basaloides, rodeadas de un estroma fibrocítico, que ocasionalmente se invagina en los islotes celulares, semejando papilas foliculares rudimentarias. En ocasiones presentan quistes con abundantes gránulos de tricohialina1. Se ha descrito excepcionalmente malignización de tricoepiteliomas múltiples familiares8 y presencia de carcinomas basocelulares asociados9-12.
El cilindroma fue descrito inicialmente por Ancell en 1842 en una familia con lesiones múltiples localizadas en el cuero cabelludo; sin embargo, fue Billroth en 1859 quien lo denominó cilindroma basándose en la membrana hialina que rodea los lobulillos tumorales. Los cilindromas se presentan de forma esporádica como lesiones aisladas, o de forma familiar con lesiones múltiples. Se ha determinado que la anomalía cromosómica de la cilindromatosis residiría en el cromosoma 16q13, 14. Los tumores son habitualmente de lento crecimiento se localizan preferentemente en el cuero cabelludo y no se han descrito en palmas ni en plantas. Histológicamente las dos variedades clínicas de cilindromas son indistinguibles, presentando masas irregulares de células basaloides, dispuestas típicamente en «rompecabezas» y rodeadas de una membrana PAS positiva. Este material PAS positivo se puede encontrar también en el interior de los lobulillos celulares. Su malignización es excepcional, perdiendo sus células el carácter basaloide y la membrana eosinófila que las rodea. Su histogénesis ha sido muy discutida. Su mayor frecuencia en el cuero cabelludo sugiere un origen folicular. No obstante, hay estudios de inmunohistoquímica y de microscopio electrónico que sugieren tanto una diferenciación ecrina como apocrina15, 16.
El espiradenoma, revisado y definido como entidad por Kersting y Helwig en 195617, se presenta habitual-mente como un nódulo aislado, a menudo doloroso, en cualquier localización, aunque ocasionalmente se ha descrito agrupado o con disposición zosteriforme. Histológicamente se presenta como uno o varios lóbulos intradérmicos de células basaloides, con o sin cápsula fibrosa y presencia de diferenciación ductal. Ocasionalmente se observa presencia de material hialino rodeando los lobulillos o incluso en el interior de ellos, como se aprecia en el cilindroma. Aunque muy poco frecuente, se ha descrito su variedad maligna15.
La aparición de cilindromas en combinación con tricoepiteliomas familiares es un cuadro bien definido aunque poco frecuente. De la serie de 50 pacientes con tricoepitelioma múltiple revisados por Gray y Helwig18, en dos pacientes también se diagnosticaron cilindromas, presentando uno de estos pacientes quistes renales y pulmonares. La presencia de cilindromas simultáneamente a tricoepiteliomas familiares fue descrita por Adamson en 1914, estando establecida actualmente su herencia autosómica dominante. Asimismo también se ha descrito la presencia de quistes miliares dentro de este cuadro1, 19-22. Aunque las lesiones de cilindroma y tricoepitelioma se presentan de forma independiente en cada paciente, en algún caso se ha encontrado una lesión tumoral con coexistencia de las dos diferenciaciones23. La asociación entre espiradenoma y cilindroma está ampliamente reconocida y no es raro encontrar lesiones tumorales que presentan porciones de espiradenoma y otras con patrón arquitectural de cilindroma, habiéndose incluso propuesto el término de espiradenocilindroma23-28. La presencia en un mismo paciente de lesiones de espiradenoma y cilindroma ha sido descrita dentro del cuadro de cilindromas múltiples familiares29. Otro cuadro familiar en el que se ha descrito asociación de espiradenoma y cilindroma junto con tricoepiteliomas es el síndrome de Brooke- Spiegler, como el caso aquí presentado2, 8, 21-23, 25, 28, 30-33. Actualmente está bien aclarada la separación entre la cilindromatosis múltiple familiar y el síndrome de Brook- Spiegler, tanto por sus rasgos clínicos (la ausencia o presencia de tricoepiteliomas) como por la distinta localización de la anomalía cromosómica. Mucho más raramente se ha descrito la presencia exclusiva de espiradenomas con tricoepiteliomas en un mismo paciente34, 35, tricoepiteliomas en una generación y cilindromas en otra36, o la asociación de estos tumores con adenoma de glándula salivar37, 38.
Los espiradenomas y los cilindromas son tumores con unas características citológicas muy semejantes y sus diferencias se basan en sus características arquitecturales39. Los primeros presentan grandes lóbulos epiteliales separados por tejido conectivo, con una membrana basal fina, mientras que los cilindromas se disponen en pequeños lobulillos epiteliales densamente agregados «en rompecabezas» con una membrana basal hialina prominente; se ha considerado a ambos tipos tumorales como dos variedades de un mismo tumor y puede ser que muchos casos diagnosticados de cilindromas antes de la descripción del espiradenoma, pudieran ser clasificados hoy día con este último término35. Si bien parece haber tradición evidente en atribuir una diferenciación ecrina al espiradenoma17, al cilindroma se le ha atribuido una diferenciación tanto ecrina como apocrina15, 40. La existencia de casos familiares, como el presente, con lesiones tumorales de diferenciación glandular y folicular avala la hipótesis de la existencia de células pluripotenciales en la unidad folículo-sebáceo-apocrina en las que una alteración en los genes que regulan su desarrollo originaría tumores anexiales de distinta diferenciación16, 36.
El abordaje terapéutico del tricoepitelioma familiar, siempre con un carácter paliativo, ha sido diverso, con electrocoagulación, crioterapia, dermabrasión, láser de CO2 o, en casos especiales, la radioterapia1, 3, 4. Nuestros pacientes fueron tratados con electrocoagulación de las lesiones papulosas faciales y extirpación quirúrgica mediante cierre directo de las lesiones nodulares tumorales, con un resultado satisfactorio. En casos de cilindromas múltiples en cuero cabelludo se ha propuesto injerto de piel total23.







