INTRODUCCIÓN
La enfermedad de Bowen es una forma de carcinoma espinocelular in situ de la piel originalmente descrito en 1912 que puede afectar todo el grosor epidérmico y los anejos. Diversos factores han sido involucrados en su etiología. El más relevante de ellos ha sido la exposición solar, lo cual está en consonancia con su localización preferente en áreas fotoexpuestas y su rareza en personas de piel oscura. También han sido implicados agentes víricos, y más concretamente el virus del papiloma humano (HPV) 16, que ha llegado a ser detectado en un 20%-30% de las lesiones genitales. Otros factores implicados han sido la exposición previa a arsénico, la inmunosupresión, las radiaciones ionizantes y lesiones cutáneas preexistentes como queratosis seborreicas, poroqueratosis o nevo de Becker1.
Kossard et al en un estudio sobre 10.001 casos observaron que la mayoría aparecían a partir de los 60 años, con un pico de incidencia entre los 70 y 79 años. La incidencia es similar en ambos sexos, con un ligero predominio femenino (razón de 1,3:1). El lugar de aparición más frecuente es cabeza y cuello, seguido de las extremidades inferiores. El lugar menos frecuente es la espalda2. La afectación de palmas y plantas es muy rara3, 4.
El carcinoma in situ equivalente del glande se denomina eritroplasia de Queyrat. El término enfermedad de Bowen ha sido reemplazado en patología ginecológica por el concepto de neoplasia intraepitelial vulvar5.
El curso es generalmente persistente y progresivo, con un bajo potencial invasivo. Pueden ocurrir regresiones parciales espontáneas1.
DESCRIPCIÓN DEL CASO
Se trata de una mujer de 92 años que consultó por presentar en la espalda una gran lesión eritemato-descamativa plana, de 65 años de evolución, de lento crecimiento. La paciente había sido informada hacía años del carácter benigno de la lesión, por lo que se despreocupó, dejándola evolucionar libremente, y no volvió a consultar por ella hasta la actualidad. En los últimos 3 meses notó la aparición sobre dicha lesión de una tumoración nodular de unos 2,5 cm de diámetro, motivo que la hizo volver a consultar.
En la exploración clínica se observaba una gran placa eritemato-descamativa de tamaño de 15x 20 cm, con eje mayor de disposición horizontal, centrada en la región escapular izquierda y que sobrepasaba la línea media de la espalda. En la mitad izquierda de la placa se observaba una lesión nodular bilobulada que infiltraba en profundidad, con superficie parcialmente ulcerada (fig. 1).
Fig. 1.--Aspecto clínico de la lesión.
La paciente negó la ingesta de arsénico en algún momento de su vida. En la exploración no se apreciaron estigmas de arsenicismo crónico. A la palpación no se detectaron adenopatías axilares, ni nódulos mamarios.
Los estudios de bioquímica sanguínea, hemograma, coagulación y marcadores tumorales (alfafetoproteína, antígeno carcinoembrionario y CA19.9) estaban dentro de la normalidad. La velocidad de sedimentación globular (VSG) era de 21 mm en la primera hora. Mamografía sin hallazgos.
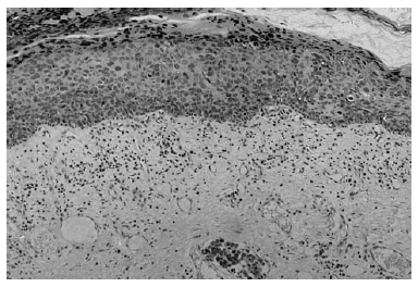
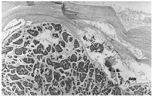
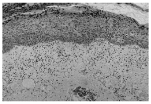
Se realizó una biopsia amplia de la lesión, incluyendo la tumoración nodular. En el examen histopatológico se podía observar una epidermis eosinófila, con una desestructuración que afectaba todo su espesor, ocupada en todo su grosor por queratinocitos atípi-cos con frecuentes mitosis, la mayoría de ellas atípicas. En el estrato córneo había hiperqueratosis, con áreas de paraqueratosis. En dermis superficial existía un infiltrado inflamatorio crónico en banda formado predominantemente por linfocitos con algún histiocito aislado (fig. 2).
Fig. 2.--Alteración de todo el espesor de la epidermis circundante, con paraqueratosis, células disqueratósicas y mitosis.
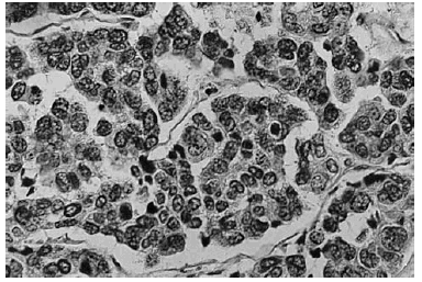
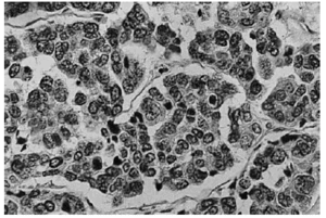
La zona correspondiente al nódulo ulcerado se correspondía con una lesión tumoral de color basófilo, que en su superficie presentaba continuidad con la epidermis y estaba en parte ulcerada. La tumoración ocupa la dermis, llegando en profundidad hasta el tejido celular subcutáneo (fig. 3) y estaba compuesta por nidos y cordones de células epiteliales muy anaplásicas, con núcleos vesiculosos y citoplasma escaso, con frecuentes monstruosidades celulares y alto índice de mitosis, siendo muchas de ellas atípicas (fig. 4). El diagnóstico fue de carcinoma espinocelular basaloide invasivo (Bowen invasivo).
Fig. 3.--Aspecto de la lesión nodular invasiva formada por nódulos basaloides.
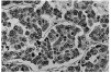
vFig. 4.--Detalle de los nódulos basaloides.
En los estudios complementarios que incluyeron tomografía axial computarizada (TAC) pulmonar y abdominal no se observaron signos de metástasis a distancia.
La paciente rehusó el tratamiento quirúrgico y la alternativa de tratamiento radioterápico que le fueron propuestos. La paciente falleció de causa desconocida a los 18 meses de la primera consulta fuera de nuestro centro sanitario. No se realizó autopsia.
DISCUSIÓN
La enfermedad de Bowen cursa clínicamente como una mácula o placa eritematosa, con límites irregulares y bien delimitados, y superficie escamosa o costrosa. Suele presentar un crecimiento gradual y los síntomas son menores en ausencia de ulceración. Existe una variante clínica pigmentada poco frecuente que aparece en un 1%-7% de los casos6.
El diagnóstico clínico requiere siempre la confirmación histológica, en la cual se observan cambios que afectan a todo el espesor de la epidermis, con queratinocitos atípicos. Esto se asocia con desórdenes en la maduración de la epidermis, mitosis en diferentes niveles, queratinocitos multinucleados y células disqueratósicas. Frecuentemente existe pérdida de la capa granulosa, con paraqueratosis y excepcionalmente hiperqueratosis. El epitelio atípico puede también afectar la unidad pilosebácea, lo cual explica el frecuente fracaso terapéutico cuando se utilizan métodos de destrucción superficiales para el tratamiento5.
Además de la excisión simple, otras modalidades terapéuticas han sido propuestas, entre las que figuran el 5-fluorouracilo tópico, crioterapia, curetaje más electrocoagulación7 , cirugía de Mohs, láser de CO28, de argón y de Nd:YAG, terapia fotodinámica9, tratamiento hipertérmico10 y radioterapia. No parece que ninguna de ellas sea superior al resto para todas las situaciones clínicas. Además, la comparación entre ellos es difícil debido a la falta de ensayos clínicos aleatorizados y a los diferentes regímenes utilizados en los estudios 1, 11.
La posibilidad de que la enfermedad de Bowen pueda ser un marcador cutáneo de neoplasia interna maligna ha sido muy debatido en la literatura, desde que Graham y Helwig publicaron en 1959 esta asociación12. Esta idea ha sido defendida durante muchos años13. No obstante, los estudios más modernos no encuentran dicha asociación14-16.
La posibilidad de desarrollo de un carcinoma invasivo en una lesión de Bowen ha sido estimada entre el 3% y el 5% de las lesiones no tratadas. Generalmente no es bien reconocido debido a su rareza y a la ausencia de características clínicas específicas. La forma más común de presentación es como un tumor ulcerado de rápido crecimiento en la placa preexistente17. Esto coincide con el cambio clínico que presentó la paciente de nuestro caso. Ante la sospecha de su aparición el diagnóstico debe ser confirmado con una biopsia.
En la histología se observa la presencia de un carcinoma in situ tipo Bowen en la epidermis circundante y un tumor dérmico invasivo compuesto por grandes islotes de células generalmente basaloides y escamosas, y ocasionalmente con áreas de necrosis central y retracción periférica artefacta, lo que recuerda al patrón visto en el carcinoma de células basales metatípico. La diferenciación escamosa es el patrón de diferenciación más frecuente. La diferenciación basaloide y la basoescamosa son hallazgos también frecuentes. Los patrones de pobre diferenciación o diferenciación pilar o pilosebácea son raros. Raramente se observa diferenciación glandular. Estos datos histológicos hacen que a menudo el patólogo tenga una impresión de estar ante un carcinoma anexial con diferenciación pilar, un carcinoma sebáceo, un carcinoma de glándula ecrina o un adenocarcinoma metastásico. Por estos motivos el diagnóstico puede ser difícil de establecer cuando la evidencia de enfermedad de Bowen en la epidermis circundante esté ausente en los cortes disponibles17.
También se han descrito casos de carcinoma sebáceo asentando en enfermedad de Bowen. Esta observación apoya la idea de la naturaleza pluripotencial de las células de la enfermedad de Bowen18.
En el caso aquí presentado creemos reseñables varios aspectos: la edad temprana de aparición y como consecuencia de ello la larga evolución de la enfermedad, el gran tamaño alcanzado por la lesión, encontrándose pocos casos en la literatura de tamaños similares19, y el hecho de que se haya transformado en una lesión invasiva después de 65 años de crecimiento in situ. Esto nos lleva a pensar que aunque el número de casos de enfermedad de Bowen que se hacen invasivos es escaso en la literatura, ello se debe a que no han tenido tiempo de desarrollarse, por lo cual pensamos que no debería recomendarse la abstención terapéutica ante una enfermedad de Bowen, pues tras muchos años de evolución siempre puede desarrollarse una lesión invasiva.






