Presentado en la sesión ordinaria de la Sección Catalana de la Academia Española de Dermatología (Barcelona).
INTRODUCCION
El síndrome de Sweet es una dermatosis neutrofílica aguda que puede estar relacionada con procesos inflamatorios o proliferativos. La presencia de lesiones ampollosas en pacientes con síndrome de Sweet no asociado a neoplasias es un hecho infrecuente. Presentamos un caso del síndrome de Sweet ampolloso idiopático.
DESCRIPCION DEL CASO
Una mujer de 56 años consultó por una erupción pruriginosa de 4 días de evolución en cuello, brazos y antebrazos, no dolorosa, sin fiebre ni otros síntomas sistémicos. Como antecedentes refería un episodio de hemorragia digestiva alta por ulcus duodenal hace 10 años y artrosis cervical que trataba habitualmente con paracetamol, metocarbamol y omeprazol. En la exploración se observaron en parte posterior y costados del cuello pápulas y placas eritematoedematosas. En los antebrazos algunas placas presentaban vesículas en superficie y otras grandes ampollas a tensión. La analítica mostraba como único dato destacable una leucocitosis de 11 x 10 9/l. La radiografía de tórax en proyección anteroposterior y lateral no presentó alteraciones. Se realizó una biopsia cutánea en la que se observó un intenso edema en la dermis papilar que originaba en algunas zonas ampollas subepidérmicas, y un denso infiltrado polimorfonuclear con predominio de neutrófilos que ocupaba todo el grosor de la dermis. A mayor aumento se distinguían fenómenos de leucocitoclasia, pero no se objetivó vasculitis. Con el diagnóstico de síndrome de Sweet se comenzó tratamiento con prednisona a dosis de 0,5 mg/kg/día. En 10 días se consiguió remisión casi total de las lesiones, por lo que se continuó con una pauta descendente de corticoides durante 10 días más. Tras 18 meses sin ningún tratamiento médico la paciente no ha presentado recurrencias de la enfermedad ni asociación con malignidad sólida ni hematológica.
Fig. 1.--Pápulas y placas eritematosas y edematosas en la parte posterior del cuello.
Fig. 2.--Lesiones vesiculosas y ampollosas sobre las placas.
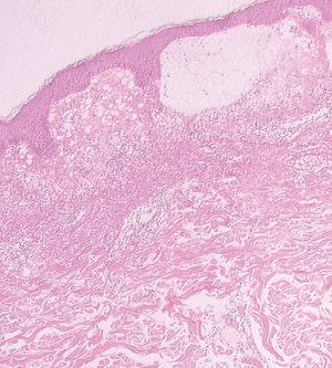
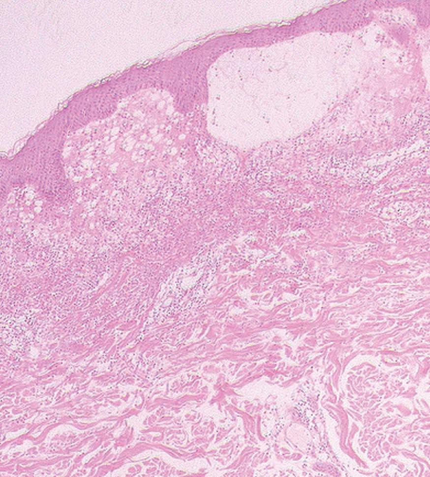
Fig. 3.--Intenso infiltrado dérmico neutrofílico y formación de una ampolla subepidérmica a consecuencia del fuerte edema. (Hematoxilina-eosina, x20.)
COMENTARIO
Las lesiones cutáneas del síndrome de Sweet son bastante características y consisten en pápulas o placas eritematosas, bien definidas. Su superficie es lisa aunque, en algunos casos, si el edema dérmico es muy intenso, se observa pseudovesiculación o pústulas. En algunos casos se han descrito nódulos eritematosos subcutáneos que parecen un eritema nudoso 1. Las lesiones se suceden en brotes y pueden estar desencadenadas por traumatismos como pinchazo, el desbridamiento de un absceso o una quemadura, lo que se conoce como fenómeno de patergia, que también se ha observado en otras dermatosis neutrofílicas como la enfermedad de Behçet o el pioderma gangrenoso. En los casos asociados a neoplasia hematológica las lesiones pueden ser ampollosas y necróticas o hemorrágicas 2. Sin tratamiento, las lesiones remiten en 6-8 semanas, aunque no es raro que reaparezcan otras nuevas de forma recurrente o incluso crónica, en especial en aquellos pacientes que tienen un proceso inflamatorio o neoplásico de base. Nuestra paciente presentó un síndrome de Sweet cuya característica más destacable son las lesiones ampollosas. La presencia de esta clínica atípica debe conducir a estudiar la posibilidad de una alteración inmunoproliferativa mediante los correspondientes estudios de extensión y un seguimiento prolongado. En la literatura médica se han descrito de forma ocasional casos de síndrome de Sweet ampolloso con ausencia de trastornos proliferativos 3,4.





