INTRODUCCION
La cutis laxa adquirida es una consecuencia infrecuente de procesos como urticaria-angioedema, lupus eritematoso sistémico, sarcoidosis, sífilis, disminución del complemento, mieloma múltiple o procesos febriles. Se caracteriza por hiperlaxitud cutánea, con o sin afectación de órganos internos, y puede iniciarse a cualquier edad. La histología típica consiste en una marcada reducción de las fibras elásticas.
DESCRIPCION DEL CASO
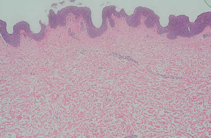
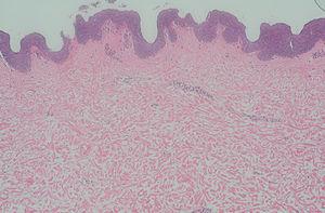
Una niña de 9 años de edad fue remitida por el dermatólogo de zona para valorar lesiones ungueales de 2 años de evolución. En la exploración se apreciaban estriaciones longitudinales en las veinte uñas (fig. 1) que fueron diagnosticadas de traquioniquia. También se observó flacidez e hiperlaxitud localizada exclusivamente en la piel de la pared abdominal (fig. 2). La paciente no había tenido ningún proceso inflamatorio en esta zona ni había padecido episodio febril de marcada importancia. Tampoco había precisado tratamiento alguno por ninguna otra enfermedad. Se realizó estudio analítico de hormonas tiroideas, metabolismo férrico, anticuerpos antinucleares (ANA), inmunoglobulinas y complemento y también se efectuó una biopsia cutánea para estudio histológico con la intención de descartar procesos que cursan con hiperelasticidad cutánea, fundamentalmente cutis laxa y las formas de menor expresividad del síndrome de Ehlers-Danlos (tipos II y V). La analítica fue estrictamente normal y en la biopsia se apreció una reducción de las fibras elásticas (fig. 3), con fragmentación de las mismas y gran variación en su diámetro (fig. 4), no se observaron cambios en las fibras de colágeno (fig. 5). Con estos hallazgos el diagnóstico fue de cutis laxa adquirida localizada y traquioniquia. Intentando establecer una etiología, inicialmente nos planteamos la posibilidad de un proceso inflamatorio larvado o cuadros febriles recurrentes, pero finalmente, y ante la ausencia total de datos en la minuciosa anamnesis realizada a la madre, optamos por incluir a la paciente dentro del grupo de cutis laxa idiopáticos.
Fig. 1.--Traquioniquia con estriaciones longitudinales.
Fig. 2.--Flacidez cutánea.
Fig. 3.--Reducción de fibras elásticas. (Van Gieson, x10.)
Fig. 4.--Fragmentación y diámetro variable. (Orceína, x20.)
Fig. 5.--Fibras de colágeno, sin cambios. (Hematoxilina-eosina, x10.)
Actualmente la flacidez cutánea de la pared abdominal de la paciente permanece estable, en tratamiento con emolientes y con la recomendación de realizar ejercicios aeróbicos, en función de la añadida hipotonía de los músculos de la pared abdominal. Las estriaciones longitudinales de las uñas han desaparecido espontáneamente, observándose, en este momento, únicamente algunas depresiones puntiformes (fig. 6).
Fig. 6.--Pits ungueales.
COMENTARIO
La existencia de hiperelasticidad cutánea aislada en un niño nos plantea la posibilidad de una importante pérdida de peso, fundamentalmente en niños previamente obesos. Sin embargo, ante el hallazgo histológico de una marcada reducción de las fibras elásticas con colágeno mantenido, debemos sospechar una de las formas de cutis laxa. La cutis laxa se subdivide en dos grupos: congénita o adquirida. La forma congénita tiene dos tipos de herencia: autosómica recesiva 1, con un fenotipo característico, importante afectación sistémica y corta esperanza de vida y autosómica dominante 2, que puede manifestarse durante los primeros 2 años de vida, con una mayor repercusión sistémica, en forma de enfisema pulmonar o en cualquier momento de la vida adulta, siendo esta la de mejor pronóstico.
La presentación de cutis laxa adquirida se debe, fundamentalmente, a procesos cutáneos inflamatorios como lupus eritematoso sistémico, eritema multiforme, sífilis o artritis reumatoide 3, aunque también se puede presentar en el contexto del mieloma múltiple 4 o del déficit de complemento. También pueden presentarla los hijos de madres que tomaron durante el embarazo penicilamina 5. Estas infrecuentes asociaciones con reacciones a fármacos han lanzado la hipótesis de un mecanismo patogénico inmunológico. Otros múltiples estudios orientan hacia un defecto en el metabolismo de la elastina en estos pacientes; así, en un paciente se apreció un marcado aumento de la actividad de la proteasa que degrada la topoelastina 6, mientras que en otros casos la producción de la elastina por los fibroblastos está reducida 7,8. A pesar de estos estudios, los mecanismos etiopatogénicos aún son desconocidos.
La traquioniquia consiste en estriaciones longitudinales en una o varias uñas, que dan un aspecto en papel de lija, aunque con menor frecuencia las uñas presentan un aspecto lustroso con hoyuelos. Estas lesiones pueden aparecer de forma aislada o en el contexto de un liquen plano, psoriasis, dermatitis atópica e ictiosis, entre otros 9. La traquioniquia es una manifestación más frecuente en niños, en los que suele ser idiopática y de resolución espontánea.
El caso que nosotros presentamos se encuadra, por la edad, por las manifestaciones clínicas y por la histología, en una cutis laxa adquirida, de etiología desconocida, con la característica de presentarse de forma localizada, y con la asociación de traquioniquia. Desconocemos la posible relación causal entre ambos procesos.








