INTRODUCCION
La entidad denominada milia en placa fue descrita por primera vez en 1903 por Blazer y Fouquet1. Se trata de una enfermedad poco frecuente, con pocas referencias en la literatura médica y cuya patogenia todavía es desconocida. Se caracteriza por la presencia de múltiples quistes agrupados sobre una placa eritematosa2. Suele afectar a mujeres de mediana edad. En la mayoría de los casos descritos las lesiones se localizan en la región periauricular, aunque también se ha descrito la aparición de milia en placa en la región supraclavicular3, párpados4 y pliegue nasal2, entre otras. Las lesiones generalmente son asintomáticas y sólo constituyen un problema de índole estética para el paciente.
Se presenta un caso atípico de milia en placa debido al número de lesiones, su localización simétrica en las cuatro extremidades y su posible relación con el inicio de tratamiento quimioterápico con 6-mercaptopurina.
DESCRIPCION DEL CASO
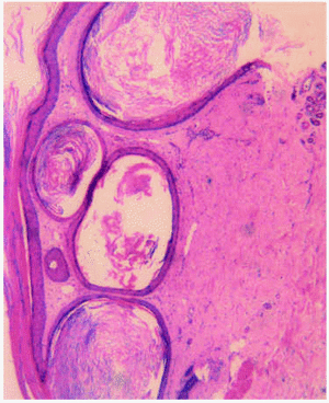
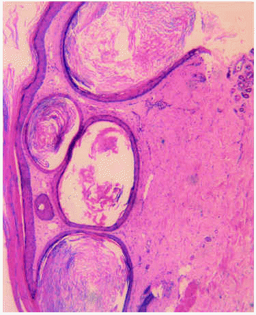
Una mujer de 58 años acudió a nuestra consulta por presentar, desde hacía 3 meses, varias placas eritematosas con quistes miliares agrupados en su superficie, localizadas a lo largo de las cuatro extremidades. Negaba el uso de ningún cosmético y no recordaba ningún traumatismo previo o quemadura. Como antecedentes personales, no refería alergias medicamentosas conocidas ni hábitos tóxicos. Padecía leucemia mieloide crónica de 6 años de evolución, y había iniciado tratamiento paliativo con 6-mercaptopurina un mes antes de que aparecieran las lesiones cutáneas por progresión de su enfermedad hematológica. Asimismo, debido a un síndrome ansioso-depresivo recibía citalopram desde hacía varios años. En la exploración física se apreciaban varias placas eritematosas, ovaladas, bien definidas, de 3 cm de diámetro máximo, en cuyo interior había quistes miliares confluentes (fig. 1). Presentaba asimismo algunos quistes miliares aislados en la región facial. El resto de la exploración fue normal. Se efectuó biopsia cutánea que, teñida con hematoxilina-eosina (fig. 2), mostró varios quistes alineados por epitelio estratificado, llenos de queratina, que formaban capas concéntricas laminadas. No se encontraron más alteraciones.
Fig. 1.--Varios quistes miliares agrupados sobre una placa eritematosa en la cara anterior de muslos.
Fig. 2.--Quistes alineados por epitelio estratificado con queratina concéntrica. (Hematoxilina-eosina, x20.)
Con estos datos se llegó al diagnóstico de milia en placa. Durante 2 meses recibió tratamiento con retinoides tópicos que, ante la ausencia de mejoría, fueron retirados. Posteriormente, debido a las complicaciones de su enfermedad de base, su hematólogo retiró el tratamiento con 6-mercaptopurina. Dos meses más tarde se produjo la resolución completa de las lesiones cutáneas.
DISCUSION
El desarrollo de quistes miliares agrupados en placa, como el anteriormente descrito, es poco frecuente. Los casos hallados en la bibliografía describen lesiones similares al nuestro, pero siempre de localización supradiafragmática, mayoritariamente en la cabeza. En nuestro caso, resulta excepcional la localización de las lesiones en las cuatro extremidades, de forma simétrica.
El diagnóstico diferencial de esta entidad incluye el liquen plano tumidus follicularins5, la elastosis nodular de Favre-Racouchot, ciertos subtipos de micosis fungoide y mucinosis folicular y el nevo comedoniano que está presente generalmente desde el nacimiento.
La patogenia exacta de la formación de quistes miliares es desconocida y la mayoría de los casos se consideran idiopáticos. Se han señalado distintos factores como posibles desencadenantes, entre ellos traumatismos, uso de cosméticos, corticoides tópicos, aplicación de 5-fluorouracilo tópico y radioterapia. También se han descrito casos asociados a seudoxantoma elástico6 y a lupus eritematoso discoide7. En la bibliografía no hemos hallado ninguna referencia que asocie la mercaptopurina u otro fármaco sistémico con la formación de quistes miliares. Dado que las lesiones se localizan de forma bilateral y simétrica en las extremidades y tienen una relación temporal con la administración de 6-mercaptopurina, es tentador proponer su relación causal. Postulamos que al tratarse de un antimetabolito, la 6-mercaptopurina podría condicionar una alteración del epitelio del folículo pilosebáceo que provocaría una expansión del folículo y/o un aumento de la secreción sebácea con la consiguiente formación del quiste. Sin embargo, no puede excluirse tampoco su relación incidental.
El tratamiento de la milia en placa parece muy limitado. Para los quistes aislados superficiales es válida la incisión y el drenaje. Se han usado retinoides tópicos con resultados variables8 y minociclina en dosis de 100 mg al día durante 2 o 3 meses. También se ha señalado que la terapia fotodinámica podría resultar de utilidad8 así como el láser de dióxido de carbono (CO2)9. En la mayoría de las ocasiones, sin embargo, las lesiones suelen ser persistentes10 y rebeldes al tratamiento, aunque se ha descrito algún caso aislado de resolución espontánea11.




