INTRODUCCION
En 1975, O'Brien1 definió el granuloma actínico como unas lesiones anulares que se desarrollan en un tejido conjuntivo dañado o elastótico y que afectan a zonas de la piel expuestas al sol o al calor. Microscópicamente estas lesiones presentan un infiltrado compuesto principalmente por células gigantes de tipo cuerpo extraño, que fagocitan fibras elásticas anómalas. Esta entidad ha sido publicada con diversas denominaciones, como necrobiosis lipoídica atípica de la cara y del cuero cabelludo descrita por Wilson-Jones2, granuloma disciforme de la cara de Miescher3, granuloma multiforme y granuloma anular elastolítico de células gigantes4, aunque probablemente todas ellas corresponden a la misma enfermedad. Tal vez la enfermedad que más controversia ha suscitado en el debate acerca de si el granuloma actínico representa una entidad específica en sí misma, es el granuloma anular en zonas de piel fotoexpuestas.
Nosotros hemos realizado un estudio retrospectivo de 5 casos que han sido diagnosticados en nuestro servicio de dermatología y que son superponibles desde el punto de vista clínico e histopatológico con la descripción de O'Brien1. Además en este artículo se ha revisado la literatura especializada aparecida recientemente, que señala que el término de granuloma actínico define correctamente esta entidad desde un punto de vista histomorfológico.
PRESENTACION DE LOS CASOS
Caso 1
Una enferma de 32 años de edad sin antecedentes patológicos de interés consultó por presentar una lesión anular en la frente de 6 meses de evolución. En la exploración se apreciaba una placa de 3 x 1,5 cm de diámetro con un reborde sobreelevado y un centro deprimido. Se realizaron las siguientes pruebas complementarias: hemograma, bioquímica, enzima conversora de la angiotensina (ECA), sedimento y perfil de orina, radiografía de tórax y derivado proteico purificado (PPD) con resultados negativos o dentro de la normalidad.
Caso 2
Una paciente de 36 años de edad presentaba, desde hacía un año, una lesión en la región frontal en el borde del cuero cabelludo. En la exploración clínica se apreciaba una placa circular con un borde eritematoso-anaranjado y una depresión central blanquecina (fig. 1). Entre sus antecedentes patológicos destacaba una timpanoplastia, una amigdalectomía y una colitis ulcerosa cuya actividad no se relacionaba con la lesión cutánea. Las pruebas complementarias realizadas, (analítica con hemograma, bioquímica, ECA y radiografía de tórax) fueron normales. El PPD fue positivo (13 mm), aunque la enferma refería haber sido vacunada con bacilo de Calmette-Guérin (BCG).
Fig. 1.--Lesión anular en el borde de implantación del pelo.
Caso 3
Una mujer de 41 años de edad acudió por una lesión anular y circinada en sien derecha de un año de evolución. A la exploración clínica se apreciaba una placa de borde activo eritematoviolácea con el centro de la lesión blanquecino y discretamente deprimido, cuyo tamaño era de 8 x 8 cm. No presentaba antecedentes patológicos de interés. Se realizó un hemograma, bioquímica, ECA, radiografía de tórax y PPD con resultados dentro de la normalidad.
Caso 4
Una mujer de 37 años de edad acudió por presentar una lesión en la frente de larga evolución. En la exploración clínica se apreciaba una placa eritematosa de borde sobreelevado que afectaba a la sien derecha (fig. 2). No presentaba antecedentes patológicos de interés y las pruebas complementarias realizadas (hemograma, bioquímica, ECA, sedimento de orina, radiografía de tórax y PPD) fueron normales o negativas.
Fig. 2.--Placa anular en la sien de la enferma.
Caso 5
Un varón de 52 años de edad acudió a nuestro servicio por presentar una lesión en la región cervical de un mes de evolución. En la exploración clínica se apreciaba una placa circular con un borde anular eritematoso y con el centro deprimido. No presentaba antecedentes patológicos de interés. Se realizaron pruebas complementarias que incluían hemograma, bioquímica, determinación de ECA, radiografía de tórax y PPD, con resultados normales o negativos.
En la tabla 1 se resumen los datos clínicos de estos enfermos, así como su evolución a lo largo de varios años.
HISTOPATOLOGIA
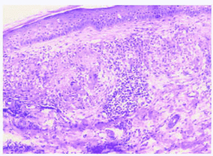
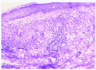
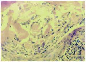
Se realizaron biopsias cutáneas de los 5 casos clínicos con tinciones para hematoxilina-eosina, mucina (hierro coloidal) y fibras elásticas (iodina de Verhoeff). En todos los casos se apreciaba una epidermis relativamente normal. En la dermis papilar y media presentaban un infiltrado inflamatorio granulomatoso denso y difuso, compuesto por células gigantes multinucleadas que contenían un material basófilo y algunos histiocitos acompañados a veces de linfocitos (figs. 3 y 4). En los casos 1, 3 y 4 se asociaban dichos cambios a un infiltrado inflamatorio compuesto por linfocitos pequeños, mientras que en el caso 2 este infiltrado inflamatorio era muy notable y en el caso 5 era escaso. No se apreciaban histiocitos «en empalizada» y las tinciones para mucina no mostraron cambios degenerativos en el colágeno ni incremento de mucina en las zonas con infiltrado granulomatoso. En las tinciones para fibras elásticas se apreciaban células gigantes multinucleadas que envolvían las fibras elásticas o con dichas fibras dentro de su citoplasma (fig. 5). En las áreas correspondientes al centro de la lesión anular, no se observaban fibras elásticas. En la parte más externa de la lesión cutánea se apreciaba elastosis actínica, con conglomerados de material basofílico en la dermis papilar.
Fig. 3.--Se aprecian granulomas que consisten en células gigantes multinucleadas e histiocitos intersticiales entre las fibras de colágeno amorfo y fragmentado. (Hematoxilina-eosina, x40.)
Fig. 4.--Detalle que muestra células gigantes fagocitando pequeñas fibras basofílicas en su citoplasma. (Hematoxilina-eosina, x100.)
Fig. 5.--Pérdida de fibras elásticas en la zona de inflamación granulomatosa. (Tinción para fibras elásticas, x40.)
En la tabla 2 se resumen las características histopatológicas de los 5 casos.
DISCUSION
Actualmente no existen características clínicas que permitan distinguir el granuloma actínico del granuloma anular en áreas de piel fotoexpuestas, aunque inicialmente se sugirió que esta entidad afectaba preferentemente a individuos de piel clara, pecosos, de edad avanzada y por supuesto con lesiones actínicas crónicas1,5,6. Cuando se presenta con varias lesiones, éstas se localizan principalmente en zonas con daño actínico crónico1,6. Sin embargo, se han descrito en algunos enfermos lesiones clínica e histológicamente indistinguibles del granuloma actínico y diferenciadas del granuloma anular en zonas de piel no fotoexpuesta4,7. La morfología de las lesiones de granuloma actínico inicialmente son unas pápulas de superficie lisa, rosadas, que se expanden gradualmente hasta formar una placa anular de hasta varios centímetros de diámetro, con una discreta depresión o hipopigmentación central. Estas manifestaciones clínicas no permiten la distinción con el granuloma anular; por ello se ha profundizado en las diferencias histológicas de ambas entidades que posibilitarían su distinción.
Existen varias publicaciones que intentan demostrar que el granuloma actínico tiene unas características histológicas peculiares y que permiten su diferenciación con el granuloma anular4,8-10. Tal vez vale la pena destacar el artículo de Hanke et al de 19794 en el cual se destacan las características clinicopatológicas del granuloma actínico y su diagnóstico diferencial, aunque los autores consideran más apropiado el término descriptivo de granuloma anular elastolítico de células gigantes, pues en su opinión reflejaría los aspectos morfológicos más característicos de esta entidad.
Recientemente, Al-Hoqail et al11 han publicado un estudio en el que comparan las características histológicas del granuloma actínico y del granuloma anular en áreas de piel fotoexpuesta y no fotoexpuesta. Estos autores observaron ciertas características con valor estadístico significativo que discriminan ambas entidades. Encontraron muchas células gigantes multinucleadas en los casos de granuloma actínico, una característica que corrobora estudios previos5,12, aunque no observaron cuerpos asteroides a diferencia de O'Brien, que sí los describió en 4 de sus 19 casos1. Otra característica valorable fue la ausencia de mucina en el granuloma actínico al compararlo con los casos de granuloma anular, siendo éste un criterio útil para diferenciarlos. El tipo de granuloma que predominaba en las piezas estudiadas de granuloma actínico fue el granuloma sarcoideo, sin hallarse casos de granuloma en empalizada, mientras que en el granuloma anular predominaba el granuloma en empalizada, aunque en ambas entidades se podía apreciar inflamación granulomatosa con patrón intersticial. También estos autores describen que el granuloma actínico se localiza normalmente en la dermis superficial, mientras que el granuloma anular lo hace tanto en la dermis superficial como en la profunda. Finalmente, en este estudio, no se observó ni elastofagocitosis ni pérdida de fibras elásticas en ningún caso de granuloma anular, aunque se hallase dicho granuloma en piel fotoexpuesta o no fotoexpuesta, a diferencia de lo que ocurría con el granuloma actínico. Cabe comentar aquí que, en nuestra experiencia, estos cambios se pueden observar, pero focalmente. A pesar de estas publicaciones, Ackerman13,14 cree, con una aproximación filosófica, que esta entidad se debe considerar como un granuloma anular localizado en áreas de piel fotoexpuesta, dado que los criterios propuestos por O'Brien12 y secundados por Al-Hoqail et al11 son poco específicos.
La patogenia de esta entidad es desconocida, aunque se ha postulado que se trataría de una reacción granulomatosa, en la cual una radiación actínica dañaría selectivamente el tejido elástico y este tejido degenerado se convertiría en el antígeno, que estimularía el sistema inmunitario local, por vía humoral o celular15,16. En este sentido, y apoyando esta hipótesis, han aparecido varios casos en la literatura médica en los que se demuestra la presencia de granulomas actínicos en la conjuntiva bulbar17; en estos casos se produce una reacción histiocítica y granulomatosa de células gigantes asociada a una elastosis actínica de la pinguécula.
En 1986, McGrae5 llevó a cabo un estudio en el que mediante inmunohistoquímica se apreciaban diferencias enzimáticas entre el granuloma actínico y el granuloma anular que permiten elaborar la hipótesis de que en la patogenia del granuloma actínico existe una respuesta celular inmunitaria a determinados antígenos que se encuentran en las fibras elásticas alteradas. Mediante una tinción indirecta para la inmunoperoxidasa, este autor observó que las células gigantes del granuloma actínico eran intensamente positivas para la lisozima, mientras que los histiocitos mononucleares no mostraban tinción alguna o ésta era muy débil. En cambio, en el granuloma anular los histiocitos presentaban una reactividad marcada para la lisozima; esto confirma los hallazgos de 1977 de Umbert y Winkelmann18 que demostraban la positividad para la lisozima en el granuloma anular. Además, los estudios para determinar la subclase de leucocitos demostraron la presencia de linfocitos T con un predominio del subgrupo T-colaboradores en el granuloma actínico.
En este artículo nosotros aportamos 5 casos clínicos que cumplen las características histológicas descritas por Al-Hoqail et al11 para diferenciar el granuloma actínico del granuloma anular. En nuestra experiencia y, tras la revisión realizada, parece que el granuloma actínico representa una entidad diferenciada del granuloma anular, aunque únicamente nuevos estudios comparativos y el estudio de la patogenia ayudarán a dilucidar si realmente se trata de dos entidades autónomas.









