INTRODUCCION
El dermatomiofibroma es un tumor cutáneo benigno adquirido de estirpe miofibroblástica con características histológicas y clínicas recientemente descritas por Kamino et al1 en 1992, quienes recopilaron 9 casos. Un año antes, Hügel2 publicó una serie de 25 casos de la lesión que denominó «fibromatosis dérmica en placa», que cuadra con la descripción de dermatomiofibroma realizada por Kamino et al1,3. Desde su descripción, se han publicado unos 60 casos que corroboran sus características clínicas e histológicas distintivas4,5.
Clínicamente se caracteriza por ser un tumor solitario en forma de placa de 1 a 5 cm, de consistencia dura y color violáceo-marrón. Su localización predilecta es la cintura escapular, incluida la axila y parte proximal del brazo, y la región pectoral. Suele aparecer en gente joven y con más frecuencia en mujeres4-12.
El estudio histológico muestra una proliferación difusa no encapsulada, pero bien delimitada, de células fusiformes localizadas en la dermis reticular, que están dispuestas en haces paralelos a la superficie cutánea, que respetan los anejos y se entremezclan entre fibras de elástica engrosadas y de colágeno. A gran aumento, estas células muestran un citoplasma amplio eosinófilo y un núcleo elongado con extremos romos sin evidencia de mitosis o atipias. El estudio inmunohistoquímico revela su origen miofibroblástico al mostrar positividad para la actina muscular y la vimentina, y negatividad para la desmina, la S-100, el CD34 y el factor XIIIa1,2. Las células tiñen con la actina a del músculo liso de forma focal y débil en algunos casos7,8. La microscopia electrónica aporta datos ultraestructurales que confirman la naturaleza miofibroblástica de estas células fusiformes. Estas células contienen en su citoplasma miofilamentos, que explican la positividad para la vimentina y también muestran en ocasiones cuerpos densos fusiformes entre estos miofilamentos, rodeados parcialmente de lámina basal, que explicaría la positividad para la actina1,8,11.
Debido a su crecimiento lento pero progresivo su tratamiento es la extirpación, que es curativa y sin tendencia a la recurrencia1-8.
DESCRIPCION DEL CASO
Una mujer de 88 años con el único antecedente patológico de un infarto agudo de miocardio hacía 2 años, fue remitida a la consulta de dermatología por la existencia de unas placas que progresivamente le habían ido apareciendo desde hacía más de 30 años y a las que, al ser asintomáticas, no había dado importancia ni había consultado por ellas. En la exploración se encontraron un total de 10 placas violáceas de consistencia dura, algunas de ellas lineales y localizadas todas en la raíz de los miembros superiores (fig. 1) y región pectoral (fig. 2), excepto una de ellas que se localizaba en cara anterior de un muslo (fig. 3).
Fig. 1.--Dos nódulos violáceos en región escapular izquierda.
Fig. 2.--Placa en cara interna del brazo derecho, pequeño nódulo en axila y placa anular en parte externa de la mama.
Fig. 3.--Nódulo lineal violáceo en cara anterior del muslo derecho.
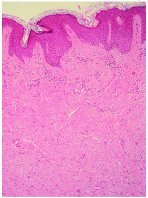
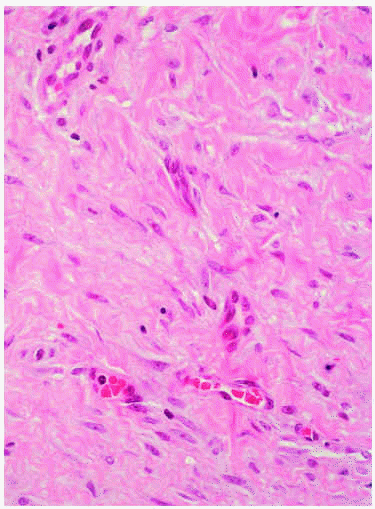
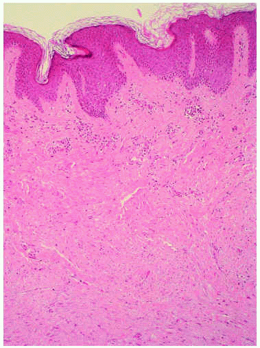
El estudio histológico de tres de estas lesiones mostró en las tres el mismo patrón consistente en una epidermis hiperplásica y una proliferación homogénea de células fusiformes en la dermis profunda que formaba pequeños fascículos con tendencia a disponerse de forma paralela a la superficie cutánea (fig. 4). A gran aumento las células mostraban un citoplasma eosinófilo y núcleos elongados (fig. 5). No se evidenciaban atipias ni mitosis, ni tampoco infiltración profunda del tejido celular subcutáneo.
Fig. 4.--Epidermis hiperplásica y proliferación de células fusiformes paralelas a la superficie cutánea en la dermis reticular con la presencia de anejos en su interior. (Hematoxilina-eosina, x10.)
Fig. 5.--Detalle de las células fusiformes de citoplasma eosinófilo y núcleo elongado sin atipias ni mitosis dispuestas en haces entre-mezclados con colágeno. (Hematoxilina-eosina, x40.)
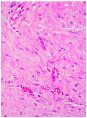
Se realizó estudio inmunohistoquímico, que mostró positividad para la actina muscular (fig. 6) y la vimentina, y negatividad para la desmina, actina a del músculo liso, citoqueratina, S-100, factor XIIIa y CD-34.
Fig. 6.--Tinción de inmunohistoquímica que muestra positividad para la actina muscular (x40).
COMENTARIO
El caso que se describe es peculiar por la edad de la paciente, la multiplicidad de sus lesiones y la morfología lineal de las mismas. Los casos publicados hasta la fecha, aproximadamente 604,5,12, describen una lesión única y en gente joven, especialmente mujeres y que se localiza preferentemente en la cintura escapular, parte alta de la espalda, nuca y región pectoral4-12. La edad media es de 29 años, con un rango que oscila entre 4 y 53 años6. El aspecto habitual es el de una placa o nódulo violáceo-marrón indurado, de 1 a 5 cm de diámetro. La morfología lineal, está descrita previamente tan sólo en 2 casos10,12. En uno de ellos, la lesión se localizó en la nuca de una mujer de 20 años con un tamaño de 8 cm10, y en el otro, alrededor de la areola mamaria en una mujer de 23 años de 7 cm de longitud12. En este último caso, las lesiones son similares a las de la mama izquierda de nuestra paciente. Por otro lado, los casos múltiples que se han descrito son tres; dos de ellos presentaban 2 lesiones separadas pero adyacentes, mientras que otro caso era similar al nuestro. Se trataba de una mujer con una evolución del cuadro de más de 40 años y múltiples lesiones localizadas en la región pectoral y alrededor de las axilas3.
La evolución del dermatomiofibroma es benigna, y el proceso se resuelve tras la extirpación; no se han descrito recidivas. No obstante, Hügel3 postula que estas lesiones tienen un crecimiento lento pero continuo, motivo por el cual suelen consultar los pacientes. La importancia de conocer esta entidad es incluirla en el diagnóstico diferencial tanto clínica como histológicamente1,4,7,8,11,13,14 (tabla 1). Clínicamente con las cicatrices espontáneas, queloides, granulomas anulares, seudolinfomas y con tumores malignos como el dermatofibrosarcoma protuberans. Histológicamente el dermatomiofibroma debe incluirse en el diagnóstico diferencial de los tumores fusocelulares, en particular con el dermatofibroma y con el dermatofibrosarcoma protuberans, y con tumores de estirpe neural o muscular. El dermatofibroma, que clínicamente suele ser un nódulo cupuliforme de superficie lisa y pigmentada, en la histología tienen en común que ambos pueden mostrar una hiperplasia epidérmica. Sin embargo, se diferencia porque el dermatofibroma tiene una vascularización abundante, mayor polimorfismo celular y la presencia de colágeno esclerótico entre las células. Además, las células del dermatofibroma no se disponen en haces paralelos a la superficie cutánea, como ocurre en el dermatomiofibroma. La inmunohistoquímica resuelve cualquier duda, ya que las células del dermatofibroma muestran positividad para el factor XIIIa mientras que las células del dermatomiofibroma, no1,8,14. El dermatofibrosarcoma protuberans es importante en el diagnóstico diferencial, especialmente por el diferente pronóstico de ambas lesiones. Los datos histológicos que pueden ayudar son por un lado el patrón estoriforme o arremolinado en que se disponen las células del dermatofibrosarcoma protuberans, mientras que las células del dermatomiofibroma se disponen en haces paralelos a la superficie cutánea. Además, el dermatofibrosarcoma protuberans infiltra la hipodermis, bien siguiendo un patrón en estratos o «en encaje», que no se observa en el dermatomiofibroma. La inmunohistoquímica resulta fundamental en los casos dudosos y para confirmar el proceso. Así, la negatividad del marcador CD34 en el dermatomiofibroma, descarta que se trate de un dermatofibrosarcoma protuberans1,4,7,8. El neurofibroma en placa es otro tumor dérmico de células fusocelulares que se incluye en el diagnóstico diferencial. Las células con núcleos más pequeños y ondulados junto con la positividad de la proteína S-100 en el neurofibroma lo diferencia del dermatomiofibroma4. Otros diagnósticos que cabría descartar tanto en la clínica como en la histología son la cicatriz queloidea y el piloleiomioma, ambas lesiones dérmicas de células fusocelulares. La histología del piloleiomioma puede diferenciarse por la disposición de las células en haces entrelazados o en espiral y no paralelos a la superficie como en el dermatomiofibroma. La inmuhistoquímica además resulta positiva para la actina a del músculo liso, la desmina y vimentina13,14. Recientemente se ha identificado otro marcador específico del músculo liso, se trata del h-Caldesmon, una proteína del citosqueleto relacionada con la contracción muscular. Esta proteína sólo es positiva en el músculo liso, y es negativa en las células de origen fibroblástico y miofibroblástico, por lo que se piensa que puede ser muy útil en el diagnóstico diferencial de estos tumores dérmicos fusocelulares15. Respecto al diagnóstico diferencial entre el dermatomiofibroma y la cicatriz hipertrófica, aunque por la disposición de los haces de colágeno y los fibroblastos paralelos a la superficie cutánea pudieran confundirse, en la cicatriz los anejos no se respetan y además las fibras elásticas suelen estar ausentes. Todo lo contrario ocurre en el dermatomiofibroma, donde los anejos se respetan y las fibras elásticas están incluso engrosadas4.
Finalmente, concluimos que el caso descrito es excepcional por la edad de la paciente, la multiplicidad de las lesiones, y la morfología lineal de algunas de ellas.








 
		
