INTRODUCCIÓN
El pioderma gangrenoso es un proceso inflamatorio ulceroso necrótico que se da en individuos sanos
o asociado con frecuencia a enfermedad inflamatoria intestinal, artritis y enfermedades inmunológicas y hematológicas. En la actualidad este proceso se engloba en el grupo de las dermatosis neutrofílicas, que se caracterizan por la infiltración estéril de neutrófilos maduros. El pioderma gangrenoso se presenta a menudo acompañado de síntomas sistémicos como fiebre, mal estado general, artralgias y un cuadro tóxico, pero la auténtica afectación visceral en forma de colecciones purulentas y abscesos estériles es excepcional.
Se presenta el caso de un varón con pioderma gangrenoso recurrente a lo largo de 10 años que desarrolló abscesos estériles localizados en el hígado, el bazo y la articulación esternoclavicular.
DESCRIPCIÓN DEL CASO
Un varón de 63 años de edad, con antecedente patológico de espondilitis anquilosante (HLAB27+) diagnosticada hace 25 años, había presentado a lo largo de los últimos 10 años múltiples episodios de pioderma gangrenoso con cicatrices residuales de hasta 10 cm de diámetro en piernas, abdomen y brazos. En una ocasión (1996), uno de los brotes se acompañó de un cuadro febril con pústulas faciales. Consultó en noviembre de 1998 por un nuevo brote de lesiones ulceradas en piernas de 2 y 7 cm, con dolor intenso (fig. 1). Con el diagnóstico de pioderma gangrenoso se inició tratamiento con ciclosporina A oral en dosis de 4 mg/kg/día, con una buena respuesta clínica.
Fig. 1.—Lesión pretibial ulcerada de pioderma gangrenoso con cicatrices antiguas de otros brotes.
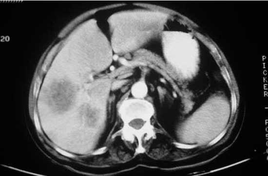
Fig. 2.—TC abdominal con lesiones redondeadas hipodensas en el hígado compatibles con abscesos.
Fig. 3.—Pieza de esplenectomía con múltiples nódulos amarillentos que corresponden a abscesos esplénicos.
A pesar de la mejoría del pioderma, el paciente empezó a presentar fiebre vespertina, astenia y anorexia, y acudió en varias ocasiones a urgencias, por lo que fue ingresado en abril de 1999. Se constató un importante cuadro tóxico general con fiebre persistente y dolores musculoesqueléticos generalizados. En la exploración presentaba una paroniquia purulenta en el segundo dedo de la mano derecha, cuyo cultivo fue negativo. En la analítica general destacaba una leucocitosis con neutrofilia, unos reactantes de fase aguda muy elevados, con una velocidad de sedimentación globular (VSG) superior a 130 mm/h y una proteína C reactiva (PCR) de 25 (normal, 0,1-0,5 mg/dl). En la bioquímica destacaban una transaminasa glutamicooxalacética (GOT) de 60 U/l (normal, < 38 U/l), transaminasa glutamicopirúvica (GPT) de 149 (normal, < 42 U/l), gammaglutamiltranspeptidasa de 149 (normal, < 66 U/l) y fosfatasa alcalina de 294 (< 129 U/l); posteriormente aparecieron hipoproteinemia progresiva y anemia que requirió varias transfusiones. Una tomografía computa-rizada (TC) abdominal demostró la presencia de numerosas lesiones ocupantes de espacio en el hígado y el bazo (fig. 2). Se suspendió la ciclosporina A y se practicaron numerosos cultivos, tanto de sangre como de varias punciones hepáticas, que fueron siempre negativos para bacterias, hongos y micobacterias. Se instauró antibioticoterapia parenteral de amplio espectro durante 4 semanas con piperacilina, tazobactam y clindamicina, con mejorías transitorias tanto en la práctica clínica como en la TC abdominal. El paciente reingresó a los 15 días del alta por la misma sintomatología de fiebre, dolor abdominal y osteomuscular, con un cuadro tóxico grave, anemia y pérdida de 13 kg de peso desde el inicio del proceso. En la TC abdominal se constató la persistencia de pequeñas lesiones hipodensas en el hígado de 1-2 cm de diámetro y en el bazo tres lesiones, la mayor de 1,5 cm, compatibles radiológicamente con abscesos. El paciente presentó además una artritis fluctuante de la articulación esternoclavicular derecha, que se drenó con estudio microbiológico negativo, así como lo fueron varios hemocultivos y una punción esplénica. Se reinició antibioticoterapia oral con clindamicina y ciprofloxacino, que completó durante 2 meses en su domicilio. A pesar de ello se presentaron episodios febriles, con una VSG muy elevada de 135 mm/h, una PCR de 25,2 mg/dl con leucocitosis (20.800/l) y neutrofilia. En febrero de 2000 y ante la persistencia de la fiebre y al existir en ese momento sólo abscesos en el bazo, se decidió realizar una esplenectomía (fig. 3), a pesar de lo cual persistió el cuadro febril. Se retiraron los antibióticos y se inició tratamiento con prednisona oral (40 mg/día) y sulfona (100 mg/día) con rápida mejoría del estado general, desaparición de la fiebre y la VSG se normalizó al mes de iniciarse el tratamiento. El paciente ha ido siguiendo una pauta decreciente de esteroides orales manteniéndose la sulfona oral, a lo largo de los 3 últimos años. Actualmente el paciente sigue asintomático, bajo un régimen terapéutico de azatioprina 50-100 mg/día y sulfona 100 mg/día.
DISCUSIÓN
El pioderma gangrenoso es un proceso poco frecuente que se manifiesta como una lesión ulcerosa necrótica de rápido crecimiento. Tanto el pioderma gangrenoso como otras dermatosis neutrofílicas pueden cursar a veces con manifestaciones clínicas sistémicas, lo que ha llevado a que algunos autores1-3 prefieran hablar de enfermedad neutrofílica más que de dermatosis neutrofílica. Nuestro caso apoya totalmente esta idea, ya que evolucionó como una enfermedad sistémica grave, con fiebre, astenia, caquexia, afectación articular y visceral, todo ello de forma totalmente independiente del curso de su pioderma gangrenoso en la piel, que respondió y se curó rápidamente con el tratamiento instaurado.
Las manifestaciones extracutáneas en el pioderma gangrenoso son poco frecuentes y sólo han empezado a notificarse en los últimos años. Así, se ha descrito la afectación en el pulmón, el ganglio, el hueso4-6 , el hígado, el bazo, el páncreas y el sistema nervioso central. La afectación pulmonar es la complicación visceral más frecuente y se manifiesta, ya sea en forma de infiltrados pulmonares masivos de neutrófilos o lesiones cavitadas acompañadas de derrames pleurales con disnea, tos y fiebre7-9 . La extensa afectación hepatoesplénica de nuestro paciente se ha descrito de forma excepcional en la literatura médica. En los casos publicados se plantea siempre al inicio del diagnóstico un proceso séptico, por lo que sólo tras numerosos tratamientos antiinfecciosos y resultados microbiológicos negativos se reorienta el caso hacia una enfermedad neutrofílica asociada al pioderma gangrenoso10-12 .
Correspondencia:
Enric Llistosella. Güell, 24. 17005 Girona. España. llistosella@telefonica.net
Recibido el 5 de marzo de 2004. Aceptado el 6 de octubre de 2004.





