Un varón de 30 años de edad, con buen estado general y antecedentes de hipertensión arterial, hipercolesterolemia, hiperuricemia y trasplantado renal hacía 6 años, consultó por la aparición de pápulas de color igual a la piel de alrededor, que se iniciaron en frente hacía 3 años y habían ido aumentando en número hasta ocupar casi la totalidad de la piel de la cara, sin que se produzcan síntomas subjetivos.
Fig. 1.—Pápulas múltiples, umbilicadas, de color blanco-amarillento, en la frente y la mejilla.
Tras el trasplante recibió tratamiento inicialmente con prednisona a la dosis de 5 mg/día, y azatioprina en dosis de 75 mg/día. A los 3 años del trasplante se cambió la pauta de inmunosupresores a ciclosporina A, con una dosis inicial de 500 mg/día, que se fue disminuyendo de forma gradual hasta llegar a una dosis de mantenimiento de 100 mg/día. Además recibía otros tratamientos con dosazosina, nifedipino, nebivolol, benziodarona, atorvastatina y omeprazol, por patología asociada.
EXPLORACIÓN FÍSICA
En el examen clínico destacaban abundantes pápulas, uniformes, muchas de ellas umbilicadas, de predominio en frente, mejillas y pirámide nasal (fig. 1). Como signo acompañante existía una hiperplasia gingival, que afecta ambas encías. El resto de exploraciones, análisis y pruebas complementarias fue normal. Se realizó biopsia en sacabocado «punch» de una de las lesiones (figs. 2 y 3).
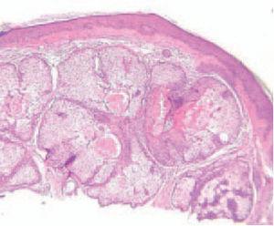
Fig. 2.—Imagen histológica. (Hematoxilinaeosina, ×10.)
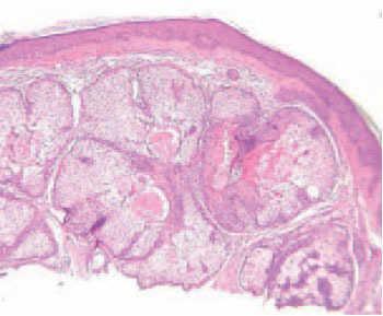
Fig. 3.—Imagen histológica. (Hematoxilinaeosina, ×40.)
DIAGNÓSTICO
Hiperplasia de glándulas sebáceas secundaria al tratamiento con ciclosporina A.
HISTOPATOLOGÍA
El estudio histológico de una de las lesiones puso de manifiesto una epidermis adelgazada, ortoqueratósica y abundantes glándulas sebáceas normales en la dermis. Algunas de estas glándulas formaban parte de unidades pilosebáceas completas y otras no tenían folículos pilosos. Los conductos excretores estaban dilatados y ocupados en su mayoría por secreción sebácea. No se observaron signos de infección viral ni de malignidad, y se confirmó el diagnóstico clínico de hiperplasia de glándulas sebáceas.
EVOLUCIÓN Y TRATAMIENTO
Se realizó tratamiento con radiofrecuencia (Bipolar Forceps 8.6 cm. Ellman. Internacional Inc. USA), con anestesia tópica con EMLA (ASTRA Pharmaceutical. Suiza), en dos sesiones con un intervalo de 15 días entre ellas, con resultados satisfactorios.
COMENTARIO
La hiperplasia de glándulas sebáceas es una proliferación benigna de origen epitelial, caracterizada clínicamente por pápulas únicas o múltiples, de 2 a 3 mm de diámetro, coloración blanco-amarillenta o piel normal, con predominio facial en frente, mejillas y nariz. En muchas de ellas se descubre una depresión central que representa el conducto excretor dilatado. El estudio histológico muestra un aumento del número y del tamaño de las glándulas sebáceas, con conductos excretores dilatados, y aumento del contenido sebáceo en su interior.
La prevalencia estimada en la población general es del 1 % 1 . Es frecuente en la edad adulta, y en recién nacidos, en los que desaparece de forma espontánea a lo largo de los primeros meses de vida. Puede formar parte de síndromes complejos como la dermoperiostosis, caracterizado por la tríada de dedos en palillo de tambor, neoformación ósea en el periostio de los huesos largos, y mono o poliartritis, y en la displasia ectodérmica anhidrótica o hipohidrótica, genodermatosis poco frecuentes con síntomas muy variados que comprende alteraciones bucodentales, oculares, genitourinarias y cutáneas como pili torti , distrofia ungueal e hipohidrosis, entre otras 2 . El síndrome de Muir-Torre, con herencia autosómica dominante, representa la asociación de tumores de glándulas sebáceas, entre éstos la posibilidad de hiperplasia sebácea, y neoplasias malignas, las más frecuentes del tracto gastrointestinal y genitourinarias 3 . Existen casos de hiperplasia sebácea en individuos jóvenes de una misma familia, que se ha considerado como una forma leve del síndrome de Muir-Torre, con penetrancia incompleta y en ausencia de afectación visceral maligna 4 .
Desde hace años se sabe que el estado de inmunosupresión puede inducir patología cutánea de etiología infecciosa y tumoral, principalmente. Se ha descrito la hiperplasia de glándulas sebáceas secundaria al tratamiento inmunosupresor que siguen los trasplantados renales, con una prevalencia del 16 % frente al 1 % de la población general 1 ; sin embargo, son pocos los artículos encontrados en torno a este tema.
La ciclosporina A se asocia a hiperplasia gingival 5 , hipertricosis, acné queloideo 6 , foliculitis 7 y pseudofoliculitis de la barba 8 , a la formación de tejido de granulación periungueal 9 y a la aparición de tumores como carcinomas basocelulares y espinocelulares 10-12 . También se ha descrito un caso de melanoma nodular amelanótico 13 .
La hiperplasia de glándulas sebáceas, asociada o no a alteración del folículo piloso, también se considera un efecto adverso en el tratamiento con ciclospori- 10,14 . La hiperplasia de glándulas sebáceas en trasplantados renales es más frecuente en varones adultos y muy infrecuente en niños, por la inmadurez de la unidad foliculosebácea. Aparece con dosis de 5-10 mg/kg/día, y tras 3 o 4 años de iniciar el tratamiento con ciclosporina A 15,16 . Esta relación dosis-efec-to, y la asociación entre la duración del tratamiento y desarrollo del efecto, varía en los casos más recientemente publicados, y a partir de 2-2,5 mg/kg/día, y con un tiempo de inmunodepresión entre 9 y 19 años según Boschnakow 17 , y de 8,8 años según Pérez-Espa-ña et al 18 . En este último estudio se incluyen 162 pacientes trasplantados renales, y destaca la prevalencia más alta encontrada, del 25,9 %, y la presencia en mujeres, aunque aparece más significativamente en varones.
El origen de las hiperplasias sebáceas como efecto directo de la ciclosporina A se ve apoyado porque existe una relación dosis-efecto, y una asociación temporal, porque no se haya descrito asociada al uso de otros inmunosupresores, como es la azatioprina y porque la ciclosporina puede inducir cambios en la unidad foliculosebácea que explicaría tanto la hiperplasia sebácea como la hipertricosis, foliculitis o el acné queloideo. La ciclosporina A, además, produce hiperplasia gingival, una proliferación epitelial que podría darse de igual forma a nivel sebáceo. Finalmente, la ciclosporina tiene efecto carcinogenético directo demostrado, además de provocar inmunosupresión, a través de una interacción con los receptores del factor de crecimiento beta en la superficie celular 11 .
Correspondencia:
Salvio Serrano-Ortega. Departamento de Dermatología. Facultad de Medicina. Avda. Madrid, 9. 18012 Granada. España. salvio@ugr.es
Recibido el 3 de mayo de 2004. Aceptado el 6 de octubre de 2004.





