INTRODUCCIÓN
Los leiomiosarcomas son neoplasias mesenquimatosas que, según su origen, pueden clasificarse en tumores superficiales, retroperitoneales y mesentéricos y, por último, en tumores de la pared de los grandes vasos. Las formas superficiales representan entre el 2 y el 3 % de los sarcomas de partes blandas y se subdividen en leiomiosarcomas dérmicos y subcutáneos, con peor pronóstico cuanto más profunda sea su localización.
Desde el punto de vista histológico son tumores de células fusiformes dispuestas en fascículos entrecruzados con positividad para marcadores específicos de músculo liso. Los leiomiosarcomas escrotales representan una localización infrecuente y probablemente se originan a partir del músculo dartros escrotal.
DESCRIPCIÓN DEL CASO
Un varón de 78 años de edad, sin antecedentes de tratamiento radioterápico ni traumatismo genital, consultó por presentar una lesión cutánea exofítica, asintomática y de rápido crecimiento localizada en piel de escroto, de aproximadamente 3 meses de evolución. En la exploración clínica se encontró un tumor exofítico, sésil e indurado, cubierto por piel erosionada de 2 × 2,5 cm de diámetro, localizado en piel del hemiescroto izquierdo (fig. 1), no adherido a estructuras profundas. Asimismo no se palparon adenopatías inguinales.
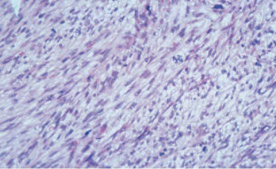
Histológicamente la tumoración estaba constituida por una proliferación fusocelular dispuesta en fascículos entrecruzados. Los núcleos de las células neoplásicas eran pleomórficos, alargados y de bordes romos, con marcada atipia y elevado índice mitótico (8 mitosis/10 campos de gran aumento). El tumor ulceraba extensamente la epidermis (fig. 1) y se extendía profundamente destruyendo la capa muscular lisa del escroto (figs. 2 y 3). El estudio inmunohistoquímico demostró una fuerte positividad para actina de músculo liso, desmina y vimentina, y negación para la proteína S-100, HMB-45 y citoqueratinas.
Fig. 1.—Tumor exofítico localizado en hemiescroto izquierdo.
Con el diagnóstico de leiomiosarcoma del escroto se le practicó estudio de extensión con tomografía computarizada (TC) de tórax y abdomen, ecografía abdominal, colonoscopia y cistoscopia, que descartaron la existencia de metástasis o de otro tumor primario. Finalmente, se realizó extirpación quirúrgica amplia de la lesión con bordes libres de tumor en el estudio histológico.
DISCUSIÓN
Los leiomiosarcomas superficiales son neoplasias derivadas de fibras musculares lisas que constituyen el 2-3 % de todos los sarcomas de partes blandas1 . Por su implicación clínica y pronóstica se dividen en formas dérmicas y subcutáneas2 , según su localización. Los leiomiosarcomas derivan de fibras musculares lisas del músculo erector del pelo, del músculo liso genital, como el dartoico o su equivalente vulvar, o a partir del músculo de la areola mamaria, mientras las formas subcutáneas se cree que se originan a partir del músculo liso de la capa media de la pared de los vasos. Los leiomiosarcomas escrotales que derivan del músculo dartoico son tumores raros, de los que existen menos de 30 casos descritos en la literatura médica. Se consideran formas superficiales y tienen, por lo tanto, un comportamiento similar a los tumores de otras localizaciones3,5-10 .
Los leiomiosarcomas superficiales aparecen especialmente entre la quinta y sexta década de la vida, y son más frecuentes en varones y en individuos de raza blanca. Generalmente se localizan en zonas pilosas sobre todo en las extremidades inferiores1,2 . Suelen ser lesiones únicas, dolorosas o asintomáticas, que aparecen como un nódulo profundo, una placa de consistencia firme o en forma de tumor exofítico11 . Normalmente se encuentran adheridos a planos profundos y pueden ulcerar la piel suprayacente.
Desde el punto de vista histológico típicamente a pequeño aumento aparecen como lesiones mal delimitadas, de bordes infiltrantes, constituidas por fascículos entrelazados de células fusiformes. Las células neoplásicas presentan un núcleo hipercromático y alargado, de bordes romos, en forma de «cigarropuro» característico, citoplasma eosinofílico y a veces un halo perinuclear. En las áreas más indiferenciadas se encuentra pleomorfismo y atipias celulares, junto a abundantes figuras mitóticas (más de una mito-sis/10 campos de gran aumento), elementos que permiten confirmar su malignidad. Las técnicas inmunohistoquímicas ayudan a reconocer su naturaleza muscular lisa, y muestran positividad para actina de músculo liso, desmina y vimentina.
Se han descrito dos patrones arquitecturales en los leiomiosarcomas cutáneos: el nodular y el difuso11 . Los leiomiosarcomas nodulares suelen mostrar claros signos histológicos de malignidad, como elevada densidad celular, numerosas figuras mitóticas y, a veces, elevado pleomorfismo nuclear. Los de patrón de crecimiento difuso tienen unos márgenes muy mal definidos y crecen principalmente ocupando la dermis de manera horizontal, por lo que clínicamente tienen aspecto de placa. En estas lesiones los signos histológicos de malignidad no son tan evidentes y las figuras mitóticas pueden ser escasas.
Fig. 2.—Porción periférica del tumor en la que se aprecia cómo infiltra y destruye parcialmente la capa muscular del músculo dartos. (Hematoxilina-eosina, ×10.)
Fig. 3.—Células fusiformes con núcleos alargados y con pleomorfismo. Abundantes figuras mitóticas. (Hematoxilina-eosina, ×100.)
Desde el punto de visto histológico, el diagnóstico diferencial debe plantearse con otros tumores fusocelulares como el fibroxantoma atípico, el carcinoma epidermoide de células fusiformes o el melanoma desmoplásico, siendo la inmunohistoquímica fundamental para esta diferenciación.
Desde el punto de vista evolutivo las formas subcutáneas tienen un peor pronóstico, con mayor porcentaje de recidivas (más del 70 %) y metástasis a distancia las que se calculan en el 30-40 %12,13 . Las formas dérmicas tienen una menor tasa de recurrencias (30-50 %) y las metástasis a distancia son infrecuentes13,14 . Asimismo se han identificado otros factores pronósticos en la literatura médica como el tamaño tumoral mayor de 5 cm12,15 , la presencia de aneuploidía, el alto grado histológico y la invasión vascular12,16 . Las alteraciones en el gen p53 aún están por determinarse.
El tratamiento de estos tumores es quirúrgico, mediante resección amplia con 3-5 cm de borde, e incluyendo tejido celular subcutáneo y fascia2,17,18 . En este sentido, la cirugía micrográfica de Mohs se ha utilizado con éxito en este tipo de tumores19 . En cuanto al seguimiento a largo plazo resulta importante realizar estudios de imagen pulmonar para detectar metástasis en esta localización, ya que es la más frecuente, sobre todo en los leiomiosarcomas subcutáneos.
Correspondencia:
Paulina Belmar. Zurbarán, 11. Galapagar-La Navata. 28420 Madrid. España. pbelmarf@hotmail.com
Recibido el 23 de abril de 2003. Aceptado el 6 de octubre de 2004.





