INTRODUCCION
Las manifestaciones cutáneas de la sarcoidosis son muy variables. Se ha afirmado que los pacientes de origen africano, tanto afroamericanos como los que viven en África, presentan lesiones cutáneas más generalizadas e incluso sorprendentes1,2. En un reciente estudio en Sudáfrica, una cuarta parte de los pacientes africanos tenían lesiones cutáneas atípicas, a saber, lesiones hipopigmentadas, ictiosiformes, linfedematosas, ulcerosas, mutilantes y verrugosas3. Presentamos un caso de sarcoidosis en una mujer africana que clínicamente presentaba una piel laxa granulomatosa.
PRESENTACION DEL CASO
Una mujer africana de 47 años de edad, con buena salud, acudió a consulta por presentar numerosas placas atróficas situadas en el tronco y las extremidades. Estas lesiones aparecieron 8 años atrás, pero con el tiempo, los nódulos y placas flácidas se hicieron atróficos, y algunos de ellos formaban grandes bolsas colgantes (figs. 1 y 2). También presentaba otras lesiones, como placas ligeramente induradas, que tenían unos bordes hiperpigmentados bien definidos. Las lesiones más recientes, de menor tamaño y de color eritematovioláceo, se localizaban principalmente en los miembros. No había lesiones mucosas ni adenopatías. En base a los rasgos morfológicos de las lesiones cutáneas, se consideró una piel laxa granulomatosa. Los estudios de laboratorio mostraron una anemia (hemoglobina, 10,5 g/dl), leucopenia (3.800 leucocitos/ml), aumento de la velocidad de sedimentación globular (VSG) (64 mm/h), proteína C reactiva (PCR) elevada (49 mg/l), elevación de la enzima conversora de la angiotensina (258 U/ml) y elevación policlonal de inmunoglobulinas (IgG, IgA e IgM), más marcada para la IgG. Otros estudios de laboratorio, incluyendo pruebas de función hepática, urea, electrolitos, concentraciones séricas de cobre y ceruloplasmina, niveles de a1-antitripsina, anticuerpos antinucleares (ANA) y complemento fueron normales. La paciente era negativa para el virus de la inmunodeficiencia humana (VIH) y tenía evidencias serológicas de sífilis inactiva. Los valores de linfocitos totales, CD4 y cociente CD4/CD8 fueron normales. Una radiografía de tórax mostró adenopatías paratraqueales e hiliares izquierdas con fibrosis intersticial. Las radiografías de manos y pies mostraron cambios líticos en varios dedos. La prueba de PPD fue negativa, y el examen ocular no mostró anomalías.
Fig. 1.--Lesiones del tronco y muslos que forman pliegues pendulantes de la piel.
Fig. 2.--Detalle de las lesiones colgantes en los muslos.
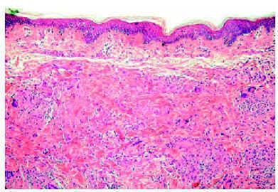
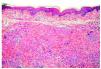
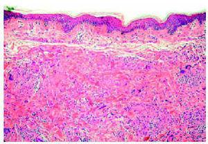
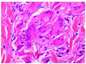
Se tomaron varias biopsias de diferentes lesiones cutáneas del tronco y las extremidades, que mostraron un cuadro similar en todas ellas de granulomas en la dermias superior y media (fig. 3). La extensión de los granulomas varió según las piezas. Los granulomas eran principalmente pequeños y bien definidos, y contenían células epitelioides y células gigantes multinucleadas. Había pocos linfocitos, de aspecto normal. Algunos granulomas estaban formados principalmente por células gigantes con numerosos núcleos (fig. 4), y algunas células gigantes contenían cuerpos asteroides. La epidermis estaba adelgazada y aplanada, y no había inflamación granulomatosa en la zona subepidérmica ni epidermotropismo. Se observaban muy pocas fibras elásticas, así como fagocitosis de las fibras elásticas por las células gigantes. No se observó fagocitosis de linfocitos.
Fig. 3.--Biopsia del muslo que no muestra todavía signos de cutis laxa. Se aprecian granulomas sarcoides en la dermis media con células epitelioides, células gigantes y un rociado de linfocitos. (Hematoxilina-eosina, x25.)
Fig. 4.--Detalle de un granuloma con numerosas células gigantes multinucleadas. (Hematoxilina-eosina, x200.)
Se realizó el diagnóstico de sarcoidosis, y se trató a la paciente con 30 mg/día de prednisolona. El resultado el tratamiento es difícil de determinar debido a un seguimiento errático de la paciente.
DISCUSION
La piel se afecta hasta en el 35 % de pacientes con sarcoidosis y enfermedad sistémica4. Las lesiones atróficas son muy raras, y la extensión de la atrofia varía en los casos publicados, desde localizada en las piernas5 a una atrofia casi generalizada6-8. Dos pacientes publicados, en la literatura especializada francesa7,8 tenían una atrofodermia difusa sugerente de enfermedad de Pick-Herxheimer. En todos estos pacientes, las lesiones atróficas se asociaban a ulceraciones cutáneas. Bazex et al9 describieron como enfermedad de Besnier-Boeck-Schaumann chalazodérmica a un varón de 24 años que tenía grandes pliegues de piel péndula. El diagnóstico de sarcoidosis en este paciente se basó en el resultado de una biopsia cutánea, una prueba de Kveim positiva y una anergia a la tuberculina. Tanto el paciente de Bazex et al9 como la nuestra tenían lesiones sugerentes de piel laxa granulomatosa, una enfermedad caracterizada por bolsas colgantes laxas de piel que, histológicamente, muestran una reacción granulomatosa. La piel laxa granulomatosa se considera actualmente una enfermedad linfoproliferativa. El primer paciente con piel laxa granulomatosa, descrito por Convit et al10 como «dermohipodermitis granulomatosa atrofiante progresiva» desarrolló posteriormente un linfoma de Hodgkin. La clonalidad de la población de células T, demostrada por primera vez por LeBoit et al11, se demostró posteriormente en todos los casos de piel laxa granulomatosa estudiados. Van Haselen et al12 han revisado los casos publicados de piel laxa granulomatosa, y observaron que en más del 50 % de los casos, la piel laxa granulomatosa precedía, seguía o aparecía concomitantemente a enfermedades linfoproliferativas.
Entre los pacientes con piel laxa granulomatosa en los que no se ha observado enfermedad linfoproliferativa sin clonalidad de las células T se encuentran el paciente de Bazex et al9 con sarcoidosis chalazodérmica y un caso clínicamente similar publicado por Babin et al13. Este paciente descrito como «anetodermia chalazodérmica gigantocelular» no tenía evidencias de sarcoidosis.
En nuestra paciente, el diagnóstico de sarcoidosis se basó en la histología de las lesiones cutáneas y los hallazgos radiológicos en pulmones y huesos. La paciente era anérgica a tuberculina. Las biopsias de las lesiones cutáneas precoces mostraban típicos granulomas sarcoides bien definidos situadas principalmente en la dermis media y que estaban formados predominantemente por células epitelioides. En las lesiones más antiguas, ya anetodérmicas, los granulomas se localizaban también principalmente es la dermis media, y eran más grandes y contenían muchas células gigantes, algunas de ellas con numerosos núcleos. Las fibras elásticas estaban muy reducidas en número, y se observó fagocitosis de las fibras elásticas por las células gigantes. En ninguna biopsia, con independencia de la duración de la lesión, había evidencias histológicas de linfoma. En la piel laxa granulomatosa el infiltrado es principalmente linfocitario, denso y difuso, y característicamente se extiende hasta el tejido celular subcutáneo. El infiltrado a menudo afecta a la epidermis, con epidermotropismo y microabscesos de Pautrier. También hay histiocitos y células con muchos núcleos dispersas entre el infiltrado linfocitario y con frecuencia forman tubérculos granulomatosos.
Un mecanismo similar produce probablemente la típica laxitud de la piel afectada en la piel laxa granulomatosa asociada a enfermedades linfoproliferativas y en los pacientes con infiltrados granulomatosos que contienen células gigantes multinucleadas sin evidencias de linfoma. Algunos pacientes de este último grupo pueden tener sarcoidosis. La micosis fungoide granulomatosa, una variante histológica inusual de la micosis fungoide que a menudo simula una sarcoidosis14,15, no se caracteriza clínicamente por pliegues cutáneos, y muestra varias diferencias histopatológicas con la piel laxa granulomatosa16.
Los raros casos que se manifiestan clínicamente como piel laxa granulomatosa no asociada a linfomas deben diferenciarse de otras enfermedades granulomatosas cutáneas como la reticulohistiocitosis multicéntrica, la enfermedad de Rosai-Dorfman cutánea y la lepra tuberculoide. Todas estas enfermedades quedaron descartadas en nuestra paciente.






