INTRODUCCION
Existen diversos procesos inflamatorios primarios del folículo piloso del cuero cabelludo que presentan como lesión clínica principal nódulos o abscesos supurativos, cicatrices hipertróficas o queloideas, pústulas y erosiones, o bien una combinación de varias de éstas, con evolución en muchos casos a una alopecia cicatrizal. Pese a su clasificación como enfermedades individuales (perifolliculitis capitis abscedens et suffodiens o foliculitis o celulitis disecante, foliculitis o acné queloideo, y foliculitis decalvans), todas presentan como lesión común primaria una inflamación del folículo piloso y de la región perifolicular, de causa desconocida, que puede producir una reacción granulomatosa y fibrosis en su evolución.
Se presentan 2 pacientes con una foliculitis grave del cuero cabelludo que desarrollaron una alopecia cicatrizal en su evolución; en uno de ellos destacaban múltiples abscesos y tractos supurativos, y en el otro masas cicatrizales queloideas.
DESCRIPCION DE LOS CASOS
Caso 1
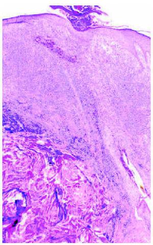
Un varón blanco sano de 16 años consultó por lesiones inflamatorias muy intensas en el cuero cabelludo de unos 4 meses de evolución, sin sintomatología sistémica asociada. En la exploración destacaban múltiples nódulos inflamatorios de 1 a 4 cm en el vértex y la región posterior del cuero cabelludo, con abundante supuración y tractos de drenaje interconectados (figs. 1 y 2). Presentaba además lesiones leves-moderadas de acné vulgar en cara y espalda. El estudio histopatológico mostró una foliculitis profunda aguda y crónica, con dilatación quística infundibular y reacción granulomatosa a cuerpo extraño (fig. 2). En el cultivo del aspirado se aisló flora mucocutánea grampositiva. La bioquímica general y el hemograma fueron normales. Ante la falta de respuesta a la doxiciclina y la rifampicina, iniciamos tratamiento oral con ácido 13-cis-retinoico (0,5 mg/kg/día) que fue efectivo; tras 7 meses sólo se apreciaban pequeñas lesiones residuales alopécicas (fig. 3). Se asoció prednisona oral (0,4 mg/kg/día) durante los primeros 2 meses de tratamiento.
Fig. 1.--Lesiones inflamatorias y supurativas de cuero cabelludo que producen áreas de alopecia.
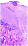
Fig. 2.--Foliculitis profunda y seudofoliculitis con dilatación quística infundibular. (Hematoxilina-eosina, x20.)
Fig. 3.--Mejoría de las lesiones tras tratamiento con retinoides.
Caso 2
Un varón colombiano sano de 24 años consultó por lesiones en cuero cabelludo y nuca de 5 años de evolución. Tenía la costumbre de afeitarse la región de la nuca cada 15 o 20 días. La exploración reveló múltiples pápulas y papulopústulas de aspecto fibrótico en la nuca, así como nódulos inflamatorios cicatrizales o queloideos, supurativos en ocasiones, que se extendían por la región occipital del cuero cabelludo (fig. 4). La histopatología de una de estas lesiones queloideas correspondió a una foliculitis profunda aguda y crónica, con abundantes células plasmáticas y algunas células gigantes de cuerpo extraño, que comenzaba a destruir la pared folicular (fig. 5). La analítica habitual fue normal. El proceso empeoró progresivamente, con extensión del componente inflamatorio-supurativo hacia la región parietal posterior y vértex. Diversos antibióticos orales (rifampicina, minociclina y ciprofloxacino) fueron ineficaces. El paciente rehusó tratamiento con retinoides orales.
Fig. 4.--Papulonódulos inflamatorios y queloideos en nuca y región occipital.
Fig. 5.--Foliculitis profunda con abundantes células plasmáticas que inicia la destrucción folicular. (Hematoxilina-eosina, x40.)
DISCUSION
Entre las alopecias cicatrizales se encuentran varias entidades en las que el proceso clave inicial es la inflamación de la zona profunda del folículo piloso y/o de la región perifolicular, por lo general de causa desconocida. Estas foliculitis presentan un curso crónico y evolucionan a lesiones fibróticas que producen una alopecia cicatrizal. Las lesiones iniciales son pústulas y papulopústulas que evolucionan más tarde a abscesos, nódulos inflamatorios y/o lesiones fibróticas o cicatrizales. Entre las denominadas «foliculitis cicatrizales» se incluyen la perifoliculitis capitis abscedens et suffodiens, la foliculitis queloidea y la foliculitis decalvans.
La perifoliculitis capitis abscedens et suffodiens, también denominada foliculitis o celulitis disecante del cuero cabelludo, es una enfermedad rara que afecta principalmente al vértex y la región occipital de varones jóvenes de raza negra, que presentan nódulos inflamatorios crónicos y abscesos, generalmente conectados entre sí por tractos de drenaje supurativos, que si son numerosos pueden coalescer formando imágenes «cerebriformes». Esta enfermedad puede en ocasiones asociarse a los otros procesos de «oclusión folicular» (hidradenitis supurativa y acné conglobata)1.
La foliculitis queloidea de la nuca, o acné queloideo, es también una entidad crónica rara que afecta fundamentalmente la nuca y región occipital de varones negros, con pápulas acneiformes y pústulas que evolucionan a pápulas y placas cicatrizales hipertróficas. Estas lesiones se extienden en ocasiones hacia regiones superiores del cuero cabelludo.
La foliculitis decalvans afecta a ambos sexos, en adolescentes o adultos, sin diferencia de razas. Puede afectar cualquier región del cuero cabelludo2 y también otras áreas pilosas del cuerpo. Clínicamente se caracteriza por pústulas foliculares recurrentes que evolucionan formando áreas irregulares de alopecia cicatrizal que presentan en la periferia un borde de avance pustuloso, en ocasiones con costras y erosiones. La dermatosis pustulosa erosiva de cuero cabelludo, que aparece típicamente en ancianos, tiene una sintomatología similar. La denominada foliculitis en penacho no debería considerarse una entidad independiente o como una variante de la foliculitis decalvans, sino como un fenómeno secundario que puede aparecer en cualquiera de los procesos anteriores de cuero cabelludo3.
Todas estas enfermedades del cuero cabelludo, a pesar de sus características clínicas particulares, comparten un patrón histopatológico similar: una foliculitis intensa de la parte profunda del folículo piloso (que con frecuencia afecta también a la porción superficial folicular), de curso crónico, que rompe la pared folicular y libera el contenido del folículo a la dermis, con la consiguiente reacción granulomatosa y formación de fibrosis variable. Las variaciones histológicas de este patrón común pueden relacionarse con algunas características clínicas específicas. La foliculitis disecante se caracteriza por la inflamación grave con supuración, con predominio de un infiltrado neutrofílico intenso que forma abscesos en la biopsia4. La foliculitis queloidea puede presentar más fibrosis (con fibras queloideas en algunos casos) y más células plasmáticas, aunque la gravedad del proceso cicatrizal puede ser muy variable según los casos5. De cualquier forma, pueden no existir diferencias histológicas entre lesiones clínicamente distintas, en especial en las fases iniciales del proceso.
No se conoce la causa de estas enfermedades. Puede demostrarse, en muchos casos, una infección por Staphylococcus aureus, en particular en la foliculitis decalvans6, pero la respuesta a antibióticos es a menudo pobre o nula. No parece que el denominado «estado seborreico» tenga relación con estos procesos7. Es frecuente su asociación con el acné vulgar. Muchos pacientes con acné queloideo tienen la costumbre de afeitarse la zona de la nuca, e incluso algunos autores han considerado el acné queloideo como una forma de liquen simple crónico con fibrosis cicatrizal8, pero al mismo tiempo otros muchos pacientes no refieren esta costumbre9. También se han incriminado como mecanismo causal los pelos incurvados como los de la seudofoliculitis de la barba10, pero un estudio reciente no halla relación entre la foliculitis queloidea y la seudofoliculitis de la barba11. Existen casos familiares de foliculitis disecante12, foliculitis decalvans13 y foliculitis queloidea14.
El tratamiento debe incluir antibióticos orales si se cultiva S. aureus, pero muchos casos no responderán. La combinación de rifampicina y clindamicina por vía oral durante 10 semanas parece eficaz en los casos de foliculitis decalvans6. Pueden utilizarse también tetraciclinas, oxacilinas y ácido fusídico. Los corticoides intralesionales y sistémicos son eficaces en la reducción de la inflamación y la fibrosis cicatrizal15. La isotretinoína oral se considera hoy el tratamiento de elección en la perifoliculitis capitis abscedens et suffodiens12,16-20. Existe todavía poca experiencia respecto al tratamiento con retinoides en las otras foliculitis cicatrizales de cuero cabelludo. Nuestro primer caso, una foliculitis disecante, curó casi totalmente tras 7 meses de isotretinoína oral (a dosis de 0,5 mg/kg/día). El segundo paciente rehusó este tratamiento, pero los retinoides parecen tener poca eficacia en la foliculitis queloidea21.
Como conclusión, queremos destacar que un mismo patrón histopatológico de foliculitis/perifoliculitis crónica de cuero cabelludo puede traducirse en cuadros clínicos diferentes, que han recibido denominaciones variadas, aunque probablemente relacionados etiopatogénicamente, y en los que el predominio de un tipo definido de lesión (pústula, absceso o cicatriz-queloide) parece depender de la intensidad, la localización y el grado de fibrosis del proceso inflamatorio folicular.







