INTRODUCCION
El acantoma de células grandes es una neoplasia epitelial benigna, caracterizada clínicamente por máculas marronáceas, frecuentemente queratósicas, redondeadas u ovaladas, bien delimitadas, que se localizan preferentemente en áreas expuestas al sol. Las lesiones son asintomáticas y generalmente solitarias1,2, aunque se han descrito casos de lesiones múltiples3-5. Ambos tipos de lesiones comparten las mismas características clínico-histológicas3.
Clínicamente, esta lesión es diagnosticada como queratosis actínica, queratosis seborreica o lentigo senil, entre otras entidades, y es la imagen histológica la que nos conduce al diagnóstico definitivo.
DESCRIPCION DEL CASO
Caso 1
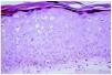
Una mujer de 54 años de edad, sin antecedentes familiares ni personales de interés, consultó por la aparición de una lesión de color marrón oscuro bien delimitada, asintomática, localizada en mejilla izquierda, que refiere haber tenido desde siempre. La lesión se oscurecía y se hacía más evidente en el verano después de la exposición solar, por lo que la paciente evitaba exponerse al sol. No refería historia familiar de lesiones similares. A la exploración física se apreciaba una placa oval hiperpigmentada, de superficie lisa, ligeramente hiperqueratósica, de límites nítidos, de 1,5 x 2 cm de diámetro, sobre un fondo de piel normal, localizada en mejilla izquierda (fig. 1). Asimismo presentaba varias lesiones similares, pero de menor tamaño, localizadas en mejilla izquierda y abdomen. No se observaron otros signos clínicos a la exploración. La biopsia cutánea de dos de las lesiones mostró una transición brusca en el borde de la lesión entre la piel normal y la placa acantósica, con hiperplasia de los queratinocitos, así como hiperqueratosis, hipergranulosis y paraqueratosis focal (fig. 2). Se realizó crioterapia con nitrógeno líquido de la lesión y se aconsejó fotoprotección.
Fig. 1.--Placa hiperpigmentada, de superficie lisa, ligeramente hiperqueratósica en mejilla izquierda.
Fig. 2.--Transición brusca en el borde de la lesión entre la piel normal y el acantoma de células grandes. (Hematoxilina-eosina, x100.)
Caso 2
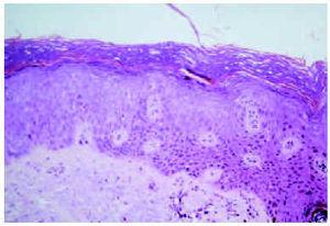
Una mujer de 65 años acudió por presentar una lesión hiperpigmentada, marronácea, asintomática. A la exploración se apreciaba una mácula marronácea de coloración homogénea, levemente sobreelevada, localizada en el dorso del antebrazo izquierdo (fig. 3). No se apreciaban lesiones similares en otras localizaciones, ni existía afectación ungueal ni de mucosas.
Fig. 3.--Acantoma de células grandes en antebrazo izquierdo.
En la biopsia de la lesión se apreció una delimitación lateral brusca de la lesión con queratinocitos grandes uniformes, con citoplasmas amplios, en ocasiones vacuolizados en el estrato espinoso de Malpighio, así como un epitelio con ligera hiperqueratosis, acantosis y aumento de pigmento melánico de la capa basal (fig. 4). En la dermis superficial se observaron algunos melanófagos y amplias áreas de elastosis. Se aconsejó fotoprotección y se aplicó crioterapia en la lesión.
Fig. 4.--Lesión epidérmica caracterizada por queratinocitos grandes uniformes, con citoplasmas amplios e hiperqueratosis, acantosis y aumento de pigmento melánico en la capa basal. (Hematoxilina-eosina, x200.)
Caso 3
Una mujer de 58 años de edad consultó por presentar una lesión maculosa oscura, bien delimitada uniformemente pigmentada, localizada en el labio superior. La lesión había aparecido en los 2 años previos a la consulta.
Histológicamente, la lesión mostraba un límite neto entre la epidermis normal y las células del acantoma, con la presencia de hiperqueratosis, acantosis y alguna zona con papilomatosis. En la dermis se observó una amplia banda de degeneración elastósica y una ligera reacción inflamatoria linfohistiocitaria.
Tres meses después de la aplicación de crioterapia, la lesión mostraba una apariencia ligeramente rosada.
DISCUSION
El acantoma de células grandes, descrito por Pinkus en 1967, es una neoplasia epitelial benigna que aparece en la sexta o séptima década de la vida1,3,6. Existe un ligero predominio en mujeres3,4. Las lesiones se localizan en la piel fotoexpuesta de la cara (sobre todo mejillas), cuello, antebrazos, tronco o porción inferior de las piernas6; son asintomáticas y generalmente solitarias, aunque se han descrito lesiones múltiples localizadas en distintas zonas anatómicas3-5.
Clínicamente se caracteriza por una mácula o placa bien delimitada, aplanada o ligeramente sobreelevada, débilmente pigmentada y levemente queratósica, redondeada u ovalada, con base eritematosa, en zonas de piel dañada por el sol5. También se ha descrito la existencia de una variante hipocrómica de acantoma de células grandes7. Esta lesión tiene una gran semejanza clínica con otras lesiones, con las que hay que establecer un diagnóstico diferencial, como son la queratosis solar, queratosis seborreica, lentigo senil y en algunos casos la enfermedad de Bowen y el carcinoma basocelular.
Es preciso tener en cuenta esta entidad clínica, cuyo diagnóstico se basa en los hallazgos histológicos, que corresponden a una lesión epidérmica benigna caracterizada por una hiperplasia queratinocítica circunscrita en la que se observa una delimitación lateral brusca entre la epidermis normal y las células del acantoma de células grandes, con queratinocitos grandes uniformes, aproximadamente el doble del tamaño normal1,4,8, con núcleos y citoplasmas proporcionalmente grandes. La lesión muestra acantosis leve o moderada, con papilomatosis, hiperqueratosis e hipergranulosis y es frecuente la presencia de pigmento melánico en la capa basal. Asimismo, existe un infiltrado inflamatorio dérmico variable con escasa significación diagnóstica. Ocasionalmente, existe actividad mitótica junto a células disqueratósicas dispersas con un número aumentado de cuerpos de Civatte6. Para que esta lesión sea observada es preciso incluir un fragmento de piel normal adyacente a la lesión.
Las lesiones múltiples del acantoma de células grandes son clínica e histológicamente idénticas a las lesiones solitarias, sin embargo existen diferencias en cuanto a la localización6. Así las formas solitarias aparecen fundamentalmente en la cara, aunque también en miembros superiores, mientras que los casos múltiples se localizan preferentemente en tronco y en extremidades3-5.
La verdadera naturaleza del acantoma de células grandes ha sido motivo de controversia. Esta entidad ha sido descrita como una variante de la queratosis actínica sin tendencia a la malignización1. Otros autores opinan que se trata de un lentigo senil o solar modificado, compuesto por queratinocitos de núcleos grandes9,10. Finalmente, Sánchez-Yus et al6 proponen que pueda tratarse de una variante de la enfermedad de Bowen, debido al hecho de que se observa una alteración de las células del estrato espinoso de Malpighio con núcleos pleomórficos y células disqueratósicas ocasionales, así como mitosis suprabasales y compromiso de los apéndices dérmicos. Posteriormente, estos autores han sugerido que el acantoma de células grandes es una entidad específica que presenta varios estadios y que, probablemente, se relaciona con la estucoqueratosis por lo que debe ser claramente diferenciada del lentigo solar y de la queratosis actínica11. En nuestra opinión, esta lesión bien pudiera tratarse de un lentigo solar debido a sus similitudes clínicas, histológicas e inmunohistoquímicas. Aunque las lesiones de acantoma de células grandes se localizan en áreas expuestas al sol, no se ha descrito, hasta el momento, su transformación maligna.
Debido a su semejanza clínica con otras entidades, es probable que se trate de una entidad clínica frecuente. Posiblemente, esta lesión no ha sido diagnosticada y ha sido tratada con otros diagnósticos, sin haberse realizado una biopsia para el estudio de la zona de transición entre la lesión y la piel normal. El tratamiento propuesto es el uso de fotoprotectores, aplicando crioterapia con nieve carbónica o nitrógeno líquido. En nuestras 3 pacientes la crioterapia con nitrógeno líquido ha aportado resultados satisfactorios.






