Un varón de 41 años, ex-adicto a drogas por vía parenteral, con serologías para el virus de la inmunodeficiencia humana, virus de la hepatitis B y C (VHC) negativas hacía un año, consulta por la aparición progresiva desde hacía 6 meses de lesiones persistentes, asintomáticas, en la región pectoral izquierda, sin clínica extracutánea acompañante. El paciente negaba haber padecido herpes zoster previamente.
Exploración físicaSe evidenciaron múltiples pápulas y placas eritematovioláceas, induradas, fibrosas, agrupadas en la unión de los cuadrantes superiores de la región mamaria izquierda (fig. 1). Alguna lesión presentaba signos de sangrado profundo. La palpación mamaria resultó normal y no existían adenopatías ni visceromegalias.
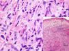
Anatomía patológicaEl estudio histológico mostró en la dermis una proliferación de histiocitos con núcleo vesicular y amplio citoplasma claro, rodeados por bandas de colágeno hialinizado, con una respuesta inflamatoria mixta acompañante de linfocitos, células plasmáticas y neutrófilos, asociada a dilatación vascular y ocasionales depósitos de hemosiderina (fig. 2). Las células histiocitarias mostraban positividad para S100 (fig. 3) y CD68 y negatividad para CD1a y CD34, así como fenómeno de emperipolesis (fig. 3, flechas).
Pruebas complementariasLa analítica, incluyendo ionograma, función hepática, función renal, proteinograma, calcio, lactato deshidrogenasa, beta2-microglobulina, velocidad de sedimentación globular (VSG), hemograma y sedimento de orina no mostró alteraciones. El estudio serológico evidenció infección por el VHC (RIBA) e incremento de citomegalovirus (CMV)-IgG y virus de Epstein Barr (VEB) -IgG (IgM normales). La tomografía axial computarizada toraco-abdominal resultó normal.
DiagnósticoEnfermedad de Rosai-Dorfman cutánea.
Evolución y tratamientoLas lesiones involucionaron lentamente hacia la cicatrización sin tratamiento, con la aparición de alguna lesión nueva en la misma zona. Después de año y medio el enfermo dejó de acudir a la consulta.
ComentarioLa enfermedad de Rosai-Dorfman es una proliferación histiocitaria de etiología desconocida y curso benigno1. En su presentación clásica se caracteriza por la aparición de adenopatías de predominio cervical, fiebre, leucocitosis, VSG elevada e hipergammaglobulinemia. Puede existir afectación extraglandular, siendo la piel el órgano más frecuentemente involucrado (43%).
La presentación exclusivamente cutánea (enfermedad de Rosai-Dorfman cutánea) es muy rara, y a diferencia de las formas clásicas es más prevalente en mujeres de raza blanca2. Las manifestaciones clínicas son variadas, reconociéndose tres tipos principales: papulonodular (79,5%) con lesiones habitualmente múltiples; placa indurada (12,8%) y tumoral (7,7%)3,4. Algunas lesiones tienden a la ulceración y cicatrización. El estudio histológico resulta imprescindible para el diagnóstico, basado en la presencia de células de Rosai-Dorfman (95% de los casos), S-100+ (100%), CD68+ (40–50%) y CD1a- (100%) con emperipolesis (86%)3–6. En casos de emperipolesis aislada la positividad para S-100 puede facilitar su identificación, al contrastar la línea externa marcada por los histiocitos individuales y la imagen no marcada de las células «fagocitadas»3 (fig. 3, flechas). En el 76% de los casos el patrón del infiltrado es nodular/difuso, siendo en el resto parcheado/intersticial, granulomatoso/supurativo o xantomatoide6. La proporción de células acompañantes es variable, resultando la presencia de células plasmáticas una pista útil en el diagnóstico diferencial histológico6. Así, el hallazgo histopatológico clave para el diagnóstico es la presencia de histiocitos grandes y poligonales con emperipolesis, que inmunohistoquímicamente son S100+ y CD1a-, acompañados de abundantes células plasmáticas.
Aunque algunas lesiones pueden remitir espontáneamente (32%), la mayoría persisten durante años3. El tratamiento más efectivo, si el número y localización lo permite, es la exéresis quirúrgica, aunque se han descrito casos de recidiva3,6. También se ha utilizado radioterapia, crioterapia, corticoterapia tópica o sistémica y talidomida.
Se ha sugerido la participación de diversas infecciones, principalmente víricas (VEB, Human Herpes Virus-6 (HHV-6), herpes simple virus (HSV), CMV y varicela-zoster virus (VZV) en la etiopatogenia de esta enfermedad caracterizada por la activación y proliferación de macrófagos y linfocitos T2,6,7. Hasta el momento no se ha relacionado al VHC con la enfermedad de Rosai-Dorfman y únicamente se han descrito casos aislados de infección por VHC asociados a síndromes hemofagocíticos reactivos de evolución fatal. La coincidencia temporal de la infección por VHC y el desarrollo de lesiones cutáneas de Rosai-Dorfman en nuestro caso apoyaría una posible relación entre ambos procesos.
Conflicto de interesesLos autores declaran no tener ningún conflicto de intereses.
A la Dra. Maite Fernández (Dermatopatología, Hospital Germans Trias i Pujol de Badalona), por su inestimable colaboración en el diagnóstico inmunohistoquímico.





