HISTORIA CLÍNICA
Una mujer de 26 años, sin antecedentes familiares ni personales de interés, acudió a nuestra consulta por la aparición desde hacía aproximadamente 2 meses de una dermatosis discretamente pruriginosa de inicio en tobillos con posterior progresión de las lesiones a ambas piernas y raíz de muslos.
EXPLORACIÓN FÍSICA
En la exploración física se observaban en ambos miembros inferiores, con una distribución groseramente simétrica, numerosas lesiones maculosas, eritematosas, muchas de las cuales presentaban configuración anular. Morfológicamente estaban constituidas por la confluencia de lesiones puntiformes purpúricas que no desaparecían a la vitropresión (figs. 1 y 2).
Fig. 1.—Máculas eritematosas purpúricas en extremidades inferiores de una mujer joven.
Fig. 2.—Detalle en el que se puede apreciar la morfología anular de las lesiones y el componente petequial.
EXPLORACIONES COMPLEMENTARIAS
Los estudios complementarios incluían hematimetría, perfil bioquímico, pruebas de función hepática, función renal, velocidad de sedimentación globular, antiestreptolisina O, anticuerpos antinucleares y crioglobulinas, resultaron dentro de los límites de la normalidad. Se realizaron serologías frente a hepatitis virales, lúes y parvovirus B19 que fueron negativas.
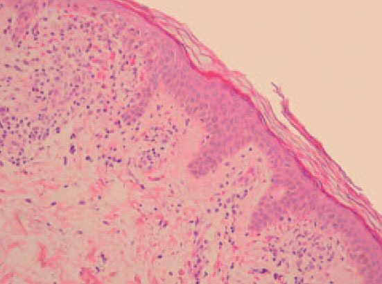
Se realizó biopsia en sacabocados (punch) de una de las lesiones anulares para estudio histológico (fig. 3).
Fig. 3.—Histología de una de las lesiones. (Hematoxilina-eosina, ×100.)
DIAGNÓSTICO
Dermatosis purpúrica pigmentaria, tipo púrpura anular telangiectoide de Majocchi.
HISTOPATOLOGÍA
Con microscopia óptica se observaba una dermatitis perivascular superficial de predominio linfocitario con daño liquenoide focal de la interfase dermoepidérmica, abundantes hematíes extravasados y presencia de algunos siderófagos.
EVOLUCIÓN Y TRATAMIENTO
Se explicó a la paciente la naturaleza de su patología, recomendándose medias de compresión y medidas posturales destinadas a mejorar el retorno venoso, con mejoría de las lesiones.
COMENTARIO
La púrpura anular telangiectoide es una forma de presentación, infrecuente y peculiar, de las denominadas dermatosis purpúricas pigmentarias, que fue descrita por primera vez en 1896 por Majocchi y que se caracteriza por la presencia de máculas de morfología anular sembradas de petequias.
Las dermatosis purpúricas pigmentarias comprenden un grupo de cuadros eruptivos crónicos, de etiología desconocida, caracterizados por lesiones purpúricas petequiales pigmentarias, de carácter prácticamente asintomático, y de localización electiva en miembros inferiores. Su sustrato histológico se ha definido previamente como capilaritis, caracterizada por infiltrados perivasculares linfocitarios con extravasación de hematíes seguida de depósito de hemosiderina en los macrófagos.
Existe una serie de entidades que se engloban bajo este epígrafe de erupciones purpúricas pigmentadas que probablemente tengan una patogenia común 1 y que se diferencian principalmente por la localización y la morfología de las lesiones. Dado que existe un acusado solapamiento clínico e histopatológico se justifica que se consideren en conjunto como un espectro de enfermedad. Así, en el síndrome de Gour-gerot-Blum (dermatitis liquenoide pigmentada purpúrica) se ven pápulas liquenoides, diminutas, de color herrumbroso, que tienden a fusionarse en placas que se localizan en piernas, caderas, zona inferior del tronco, que pueden llegar a ser muy pruriginosas. Esta dermatosis afecta de manera predominante a varones de 50 a 60 años.
El liquen aéreo se caracteriza por la aparición súbita de una o varias placas de color dorado formadas por pápulas agrupadas, de 2 a 30 cm de diámetro, en cualquier parte del cuerpo. Estas lesiones pueden ser muy dolorosas y aunque suelen afectar a adultos, también se han descrito en niños. La púrpura pigmentaria progresiva de Schamberg consiste en pequeños puntos eritematosos agrupados en placas en tobillos y zona pretibial, que se extienden proximalmente de forma progresiva y pueden ser pruriginosos. Es característica de edades medias de la vida, aunque en ocasiones aparece en niños 2 . La púrpura pigmentada de Doucas y Kapetanekis se caracteriza por ser papulosa y descamativa, con presencia histológica de espongiosis.
En la denominada púrpura anular telangiectoide de Majocchi se observan lesiones maculosas eritema-tosas por denso agrupamiento de lesiones petequiales, con tamaños entre 2 y 20 mm, simétricas, con tendencia a la disposición anular y a la atrofia central, que aparecen más frecuentemente en las extremidades inferiores de adultos jóvenes y que pueden extenderse por el tronco y brazos 3 . Las lesiones son asintomáticas. La involución ocurre en el transcurso de un año, aunque la recidiva es la norma, por lo que puede prolongarse de forma indefinida.
Se desconoce la etiología de este grupo de procesos. Se ha relacionado con el efecto de la presión venosa y la gravedad que soportan las piernas; de ahí la tendencia a aparecer en las extremidades inferiores 4 . También se ha sugerido como posible mecanismo etiopatogénico un proceso inmunológico localizado mediado por células de Langerhans con extravasación de los capilares producida por el depósito de inmunocomplejos 5 . Asimismo se han relacionado casos de dermatosis purpúrica pigmentaria con diversos fármacos como los antiinflamatorios no esteroideos (AINE), diuréticos, meprobamato, ampicilina y zomepirac.
El diagnóstico diferencial incluye otras dermatosis purpúricas como puede ser la vasculitis leucocitoclástica, y se ha descrito algún caso de sintomatología y evolución semejante a estas púrpuras anulares 6 . También deben diferenciarse de las erupciones purpúricas medicamentosas, que suelen manifestarse como lesiones hemorrágicas múltiples de tamaño variable, planas, simétricas y localizadas principalmente en las extremidades inferiores. Su estudio histológico muestra extravasación de hematíes y macrófagos cargados con hemosiderina sin inflamación perivascular ni necrosis 7 . Las púrpuras pigmentarias crónicas deben distinguirse de fases iniciales de micosis fungoide, en las que se presenta como máculas eritematosas persistentes y descamativas que suelen localizarse preferentemente en zonas no expuestas 8 . Otros diagnósticos diferenciales incluyen la dermatitis purpúrica de contacto, una forma poco frecuente de dermatitis alérgica relacionados con productos químicos como el IPPD, tintes para tejidos y fármacos 9 y la púrpura solar, rara variante de la erupción polimorfa solar que se caracteriza por la aparición de máculas o púrpura palpable en las piernas en los primeros días de exposición solar, desencadenada no sólo por la radiación UVA, sino también por el efecto de la presión hidrostática 10 .
En cuanto al tratamiento se basa fundamentalmente en medidas dirigidas a disminuir la estasis venosa en las extremidades, como el reposo con las piernas elevadas y el uso de medias de compresión; en el caso de que se asocie a prurito o eczema, los corticoides tópicos pueden ser de utilidad. También se han empleado de forma ocasional pentoxifilina, rutósido, griseofulvina, ácido ascórbico e isoflavonas, con resultados variables 11 .
Correspondencia:
Eugenia Mayo-Pampín. Servicio de Dermatología. Hospital Provincial. CHOPO. Loureiro Crespo, 2. 00000 Pontevedra. España. emaypam@aedv.es
Recibido el 19 de julio de 2004. Aceptado el 6 de octubre de 2004.





