INTRODUCCION
El nevo azul fue descrito por primera vez por Tieche en 19061, 2. Es una lesión de pigmentación azulada formada por agregados de melanocitos dérmicos. Suelen ser lesiones únicas, generalmente adquiridas, frecuentemente localizadas a nivel de dorso de manos y pies, nalgas, cabeza y cuello. Muy raramente se distribuyen en forma de múltiples lesiones agrupadas en un área bien delimitada, normalmente no mayor de 10 cm, denominándose nevo azul en placa (nevo azul agminado).
DESCRIPCION DEL CASO
Paciente de 22 años que consultó por presentar desde el nacimiento una lesión pigmentada en el hombro derecho. En la exploración física se observó un acúmulo de máculas y pápulas azuladas, de 1 a 3 mm de diámetro, agrupadas en un área de 7 x 4 cm (fig. 1). En el centro de la lesión había tres nódulos profundos que, según el paciente, le habían aparecido hacía 2 años. El resto de la exploración fue normal.
Fig. 1.--Imagen clínica de la lesión en hombro derecho.
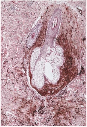
Se practicó una biopsia de la lesión, incluyendo uno de los nódulos profundos, en la que se halló la dermis salpicada por numerosos acúmulos irregulares de melanocitos fusiformes ricos en pigmento y melanófagos, tanto entre los haces colágenos esclerosos de la dermis reticular como en la dermis adventicial perifolicular (figs. 2 y 3).
Fig. 2.--Aspecto histológico a pequeño aumento (hematoxilina-eosina, 20x).
Fig. 3.--Detalle histológico de la lesión que muestra afectación perifolicular (hematoxilina-eosina, 80x).
DISCUSION
El nevo azul, junto con la mancha mongólica, el nevo de Ota y el nevo de Ito, se consideran acúmulos ectópicos de melanocitos que han quedado secuestrados a nivel de dermis durante el proceso de migración desde la cresta neural a la epidermis3, 4. Mientras que en la mancha mongólica, en el nevo de Ota y en el nevo de Ito los melanocitos dérmicos son escasos y están espaciados en una dermis por lo demás normal, en el nevo azul se encuentran densamente agrupados y la dermis muestra grados variables de esclerosis5. El nevo azul es una lesión predominantemente cutánea, pero también se ha descrito en otras localizaciones como en mucosa bucal, conjuntiva, vagina y ganglios linfáticos1. Existen cuatro tipos de nevo azul: común, celular, epitelioide y combinado2. Los tres primeros tipos se caracterizan por sus peculiaridades citológicas mientras que el cuarto por la combinación de nevo azul con nevo melanocítico.
El nevo azul en placa es poco frecuente y consiste en la agrupación de numerosas máculas y pápulas azuladas en una área circunscrita.
Dichas lesiones pueden aparecer sobre piel normal, o bien sobre una mácula lentiginosa8 (tabla 1). El diagnóstico diferencial se debe realizar con los tumores vasculares múltiples en placa, el nevo moteado lentiginoso en placa o zosteriforme, el nevo de Spitz agminado, las metástasis satélite de melanoma maligno y con el nevo azul maligno9.
Durante la evolución del nevo azul en placa, tal como hemos descrito en nuestro caso, es posible que se desarrollen nódulos dérmicos profundos. Dichos nódulos en la mayoría de los casos son de naturaleza benigna7, pero se ha descrito un caso de malignización10, por ello es necesario biopsiar cualquier lesión clínicamente atípica o sospechosa para descartar la degeneración maligna de un nevo azul.






