INTRODUCCION
Desde que en el año 1917 Blaschko1 describiera la aparición de lesiones comedonianas sobre cicatrices de herpes zóster, se han publicado numerosos trabajos de entidades clínicas que se desarrollan después de la infección por herpes zóster2. Las más comunes han sido las enfermedades granulomatosas y de manera especial el granuloma anular2, 3.
DESCRIPCION DEL CASO
Se trata de un hombre de 27 años de edad, sin antecedentes de interés, que presentó un mes antes de acudir a nuestra consulta unas lesiones vesiculosas de distribución zosteriforme en flanco torácico derecho. Las lesiones se vieron precedidas y acompañadas de parestesias locales dolorosas. El paciente fue diagnosticado por su médico de cabecera de herpes zóster, pero no le prescribió ningún tratamiento antivírico específico. Las lesiones evolucionaron lentamente hacia la mejoría, con el desarrollo de lesiones costrosas. Un mes después del inicio del cuadro el paciente consultó por empeoramiento de las lesiones cutáneas, ahora referidas como asintomáticas.
En la exploración dermatológica en ese momento el paciente presentaba placas eritematoedematosas, de límites poco precisos y distribución metamérica en flanco torácico derecho (fig. 1). Las placas estaban cons- tituidas por la confluencia de pápulas eritematosas, de consistencia elástica y algunas con ligera descamación en superficie. No se apreciaba vesiculación, pustulación o ulceración. Las lesiones eran completamente asintomáticas a la palpación. La exploración física general y por aparatos se encontraba dentro de la normalidad. Se realizó un hemograma y bioquímica rutinario que resultaron normales.
Fig. 1.--Lesiones eritematoedematosas de disposición metamérica en flanco torácico derecho.
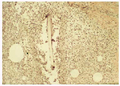
El estudio histopatológico de una de las lesiones mostró la presencia de una epidermis normal y un infiltrado granulomatoso de predominio perifolicular (fig. 2), constituido por linfocitos y polimorfonucleares con multitud de células gigantes de cuerpo extraño. Muchos de los folículos pilosos se encontraban destruidos (fig. 3). La tinción con PAS no evidenció la presencia de hongos. Mediante término de reacción en cadena de la polimerasa (PCR) se detectó ADN del virus varicela zóster (VVZ). Las lesiones involucionaron espontáneamente en aproximadamente 20 días, sin desarrollarse lesiones residuales.
Fig. 2.--Infiltrado granulomatoso perifolicular con linfocitos, polimorfonucleares y células gigantes a cuerpo extraño (hematoxilina-eosina, 40x).
Fig. 3.--Infiltrado granulomatoso alrededor de un folículo (hematoxilina-eosina, 100x).
DISCUSION
Las reacciones cutáneas descritas sobre cicatrices de herpes zóster constituyen un amplio espectro de procesoso dermatológicos. Los más comunes son las enfermedades granulomatosas, que incluyen: granuloma anular, sarcoideo y tuberculoide, vasculitis granulomatosa y foliculitis granulomatosa. De todos ellos, el granuloma anular es, sin duda, la lesión que con más frecuencia se ha descrito2, 3.
El intervalo de aparición de las lesiones cutáneas que se desarrollan sobre cicatrices de herpes zóster es muy variable y oscila entre las pocas semanas a incluso años4.
La patogenia de las reacciones cutáneas postherpéticas se relaciona con el concepto de la respuesta isotópica de Wolf5, que consiste en la aparición de una nueva dermatosis en el lugar donde previamente se desarrolló otra. El trastorno primario estaría producido por el VVZ y el secundario puede tratarse de una reacción granulomatosa o neoplásica6. En este sentido, se ha postulado que la respuesta isotópica postherpética sea consecuencia de un locus minoris resistentiae adquirido7.
A pesar de todo, la causa de la formación de las lesiones granulomatosas continúa siendo desconocida. La mayor parte de los autores coinciden en pensar que se trata de una reacción de hipersensibilidad al virus o a las glucoproteínas de la envoltura vírica que actuarían como estímulo antigénico responsable del desarrollo de las diversas reacciones cutáneas3, 8. Posiblemente tengan también un papel importante en su desarrollo otros factores de carácter inmunológico, neurológico o vascular todavía no demostrados2-4, 9. En este sentido la infección vírica induciría una alteración en el sistema inmune local; esta alteración puede corresponder a una hiperreactividad antigénica, que determinaría la formación de granulomas, pseudolinfomas, eccemas, etc., o a una inmunodeficiencia local que justificaría el desarrollo de neoplasias o procesos infecciosos6, 10.
Las lesiones acaecidas tras la infección herpética aparecen siguiendo la misma o mismas metámeras que la infección herpética previa. La demostración mediante PCR del ADN del VVZ en las lesiones cutáneas no debe ser considerada como diagnóstica, en tanto que, por norma general, sólo es posible su determinación en aquellas lesiones que aparecen poco tiempo después de la infección herpética3, 6, 9. Esto podría justificarse porque las lesiones tardías estarían inducidas por las glucoproteínas de la envoltura vírica del VVz que no pueden detectarse mediante PCR8.
La foliculitis granulomatosa postherpética es una enfermedad muy infrecuente, ya que, a nuestro saber, solamente se han descrito tres casos de ella3, 6, 11.





