INTRODUCCION
Endometriosis es la presencia de tejido endometrial fuera del útero; es un proceso relativamente común, con una prevalencia aproximada del 10% de las mujeres en edad fértil y un pico de incidencia entre la tercera y cuarta década1. Se ha identificado en estructuras tan dispares como órganos genitales, apéndice, intestino, vejiga, uréteres, riñón, peritoneo pélvico, sacos herniarios, ganglios linfáticos, piel, músculo esquelético, nervios periféricos, pleura, pulmón y cavidad nasal2.
El tejido endometrial ectópico conserva su funcionalidad, con cambios proliferativos, secretores y menstruales cíclicos. Estudios morfológicos con técnicas convencionales y con marcadores de proliferación han demostrado que las lesiones de endometriosis son incluso más proliferativas que el endometrio ortotópico, tanto durante la vida fértil como en el período postmenopaúsico3, 4. El hallazgo del citocromo P450 aromatasa en el tejido enfermo y no en el endometrio normal ha llevado a postular la posibilidad de que las glándulas de la endometriosis posean la capacidad de sintetizar sus propios estrógenos mediante esta enzima5.
A menudo, los nódulos cutáneos endometriósicos se hacen dolorosos y sangran coincidiendo con la fase menstrual del ciclo, lo que demuestra la funcionalidad tisular y es responsable de su clínica más característica. Presentamos un caso de endometriosis dérmica umbilical que se asociaba a un saco herniario.
PRESENTACIÓN DEL CASO
Se trata de una mujer de 35 años, con historia obstétrica de dos embarazos previos sin alteraciones, que desde hace un año presentaba una lesión nodular, violácea y a menudo dolorosa, de localización umbilical. Este nódulo experimentaba aumento de tamaño y producía dolor coincidiendo con el período menstrual. La exploración física reveló una hernia umbilical, por lo que se programó intervención quirúrgica para herniorrafia. A la apertura del saco herniario se observó un nódulo irregular, de 3,5 cm de diámetro, adherido al mismo, que fue extirpado.
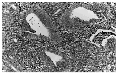
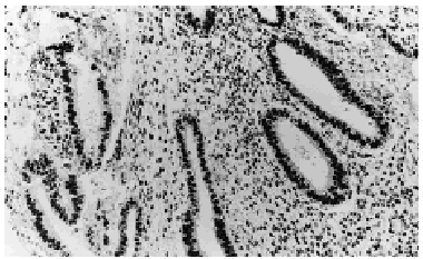
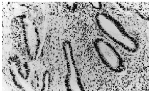
El estudio histológico del nódulo demostró la presencia de glándulas endometriales con un estroma densamente celular, localizadas en el espesor del tejido colágeno dérmico, sin alcanzar la epidermis ni el tejido adiposo subyacente (fig. 1). Dichas glándulas mostraban luces irregulares, pseudoestratificación de los núcleos y figuras de mitosis, características típicas de un endometrio de tipo proliferativo (fig. 2). El estudio inmunohistoquímico reveló positividad para receptores de estrógenos (6F11) (fig. 3) y progesterona (1A6).
Fig. 1.--Glándulas de aspecto endometrial, rodeadas de estroma en el seno del tejido conjuntivo dérmico.
Fig. 2.--Las glándulas mostraban estratificación de los núcleos y mitosis, características del endometrio en fase proliferativa.
Fig. 3.--Positividad nuclear difusa, preferentemente glandular, para receptores de estrógenos (6F11 de Dako®).
La sintomatología desapareció tras la intervención y la exploración ginecológica no demostró la existencia de endometriosis en otras localizaciones. Un año después la paciente no refería sintomatología de ningún tipo.
DISCUSIÓN
La endometriosis es un proceso relativamente común que se presenta en aproximadamente el 10% de las mujeres en edad fértil, habitualmente durante la tercera-cuarta década de la vida. Suele ser causa de infertilidad, dismenorrea, dolor pélvico u otros síntomas en relación con el órgano en que asienta1. Se observa más frecuentemente dentro de la cavidad pélvica, aunque hasta en un 34% de los casos se localiza fuera de la misma6. La piel constituye el segundo órgano en frecuencia de la endometriosis extrapélvica (después del intestino), distinguiéndose procesos primarios y secundarios. El ombligo es la localización más común de la endometriosis cutánea primaria7 y repre- senta del 0,5% al 1% de todas las endometriosis8.
Se considera endometriosis cutánea secundaria cuando la enfermedad surge sobre cicatrices de procedimientos quirúrgicos abdominales o pélvicos, incluyendo histerectomía, cesárea, episiotomía y laparoscopia. Nuestro caso constituye un ejemplo de forma primaria, ya que no asienta sobre un área cicatricial. Además es de localización exclusivamente umbilical, pues no hay evidencia de afectación de ningún otro órgano, ni en el momento del diagnóstico ni en su seguimiento posterior.
Desde un punto de vista clínico, el diagnóstico diferencial de la endometriosis cutánea umbilical debe hacerse, en primer lugar, con tumores benignos primarios del tipo granuloma piógeno, pólipo umbilical, nevo melanocítico, queratosis seborreica, lipoma, quiste epidermoide, tumor desmoide o hemangioma y con otros procesos como onfalitis, queloide, absceso o granuloma a cuerpo extraño7. La existencia de sangrado o aumento en el tamaño de la lesión coincidiendo con el período menstrual, como ocurría en nuestro caso, hace altamente sospechoso el diagnóstico de endometriosis.
Histológicamente se han observado en ocasiones cambios mixoides, metaplasia mucinosa o decidualización prominente del tejido endometrial ectópico que pueden inducir un error diagnóstico, de forma que debemos incluir en el diagnóstico diferencial morfológico cuadros como el pseudomixoma peritoneal, el adenocarcinoma mucinoso bien diferenciado o el carcinoma metastásico (nódulo de la hermana Mary Joseph)9-12. Asimismo se debe tener en cuenta la posibilidad de transformación maligna de este proceso, más comúnmente en forma de adenocarcinoma endometrioide, pero también como carcinoma de células claras, sarcoma del estroma endometrial o tumor mülleriano mixto13.
El tratamiento de la endometriosis puede ser hormonal o quirúrgico, dependiendo de las circunstancias, considerándose tratamiento de elección la resección quirúrgica con terapia hormonal preoperatoria para disminuir la lesión en caso de que ésta fuese de gran tamaño. Nuestra paciente fue sometida a intervención quirúrgica sin tratamiento previo, siendo su evolución buena, sin observarse lesión residual tras un año de seguimiento.
Aunque se han descrito casos de tejido endometrial asociados a sacos herniarios, y con mayor frecuencia aún en relación con cicatrices postherniorrafias14, 15, el caso que aquí se presenta tiene la peculiaridad de relacionarse tanto con un saco herniario umbilical como con la piel suprayacente. El seguimiento ginecológico de la paciente hasta este momento no ha revelado hallazgos significativos, por lo que el ombligo constituiría la localización única de la enfermedad.





