INTRODUCCION
La malformación vascular verrugosa es un tipo infrecuente de malformación vascular, por lo general congénita y localizada en áreas distales de extremidades inferiores. Está presente desde el nacimiento como una mácula rojiza o rojo-azulada, la cual, de forma característica, con el tiempo adquiere un aspecto verrugoso, que es en realidad lo que define el cuadro 1.
Según los conocimientos actuales y la clasificación vigente de las lesiones vasculares 2, pensamos que el término malformación vascular hiperqueratósica es más adecuado que el de hemangioma verrugoso, nomenclatura mucho más extendida en la literatura científica.
A continuación, exponemos nuestra experiencia con 3 casos de malformaciones vasculares verrugosas.
DESCRIPCION DE CASOS CLINICOS
Caso 1
Un varón de 45 años con antecedentes patológicos de hiperglucemia, sin alergias medicamentosas conocidas, consultó por una lesión congénita localizada por debajo de la rodilla izquierda que había sufrido leve crecimiento, aunque refería que era estable en cuanto a color y aspecto. Presentaba prurito ocasional, que, sin embargo, le producía episodios de sangrado tras rascado.
A la exploración se observaba una placa sobreelevada de 4 x 2,2 cm, abollonada, de aspecto vascular que presentaba una superficie queratósica de aspecto verrugoso. Dicha placa se extendía más allá de los límites visibles hasta ocupar un área de 4,9 x 4,5 cm de diámetro (fig. 1). Era elástica y tras la presión se deshinchaba parcialmente, para recuperar poco a poco su estado original. Se observaba además una lesión satélite, del mismo aspecto pero de tamaño mucho menor.
Fig. 1.--Caso 1. Placa de aspecto vascular con una superficie queratósica y áreas de coloración negruzca. Por debajo de la placa principal se aprecia una lesión satélite del mismo aspecto pero de menor tamaño.
Tras una biopsia diagnóstica, se extirpó en su totalidad sin que haya mostrado signos de recidiva tras 4 años de seguimiento.
Caso 2
Una mujer de 30 años con antecedentes de apendicectomía, reducción mamaria por motivos estéticos y epilepsia, y sin alergias medicamentosas conocidas, refería que había nacido con un angioma en dorso de pie que fue extirpado parcialmente durante la infancia. Consultaba por una lesión residual de ese angioma congénito, localizada en la cara interna del pie izquierdo y de tamaño estable. Refería que era asintomática, aunque la exposición al sol le producía molestias. Así mismo, refería sangrado profuso con el roce y episodios de infección.
A la exploración presentaba una placa triangular de 1,9 x 1,2 cm de diámetro de superficie queratósica abollonada. La lesión mostraba una coloración negruzca mezclada, con áreas más queratósicas que adquirían un color amarillento (fig. 2). La vitropresión era negativa.
Fig. 2.--Caso 2. Placa de superficie queratósica y forma triangular. Adopta una coloración negruzca entremezclada con la coloración amarillenta de las áreas más queratósicas.
Se extirpó la lesión, sin que haya mostrado signos de recidiva tras un año de seguimiento.
Caso 3
Un varón de 62 años, con antecedentes patológicos de psoriasis, apendicectomía, amigdalectomía, colecistectomía e hipertensión arterial y sin alergias medicamentosas conocidas, consultó por un cuadro de pápulas amarillentas, confluentes y pruriginosas, distribuidas por la cara anterior de piernas de 4 años de evolución y que correspondían a un liquen amiloideo.
En la exploración se descubrió, en cara interna de la rodilla derecha, una pápula de superficie queratósica y aspecto vascular. Refería tenerla desde el nacimiento, con un leve crecimiento desde entonces. Era pruriginosa, dolorosa y presentaba episodios de sangrado. Se realizó extirpación de la lesión, sin signos de recidiva tras 6 años de seguimiento.
HISTOPATOLOGIA
Los 3 casos presentaban unos hallazgos histopatológicos similares. En la córnea presentaban una marcada hiperqueratosis ortoqueratósica, los casos 1 y 3 mostraban además áreas de paraqueratosis. Todos los casos mostraban exudados de sangre trombosada mezclada con la capa córnea.
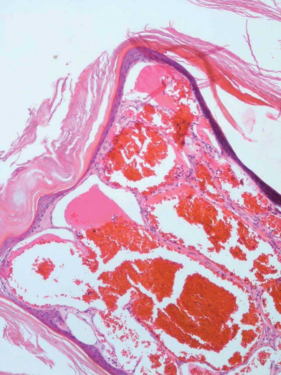
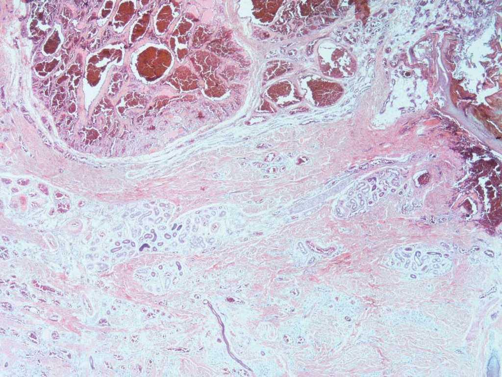
En epidermis destacaba en el centro de la lesión una papilomatosis con un adelgazamiento de la epidermis suprapapilar, con elongación filiforme de las crestas epidérmicas, que podían unirse unas con otras y que le conferían un aspecto reticular. En los bordes de las lesiones la epidermis era acantósica, con una marcada hipergranulosis. En la dermis papilar presentaban luces vasculares dilatadas de pared fina unicelular, aunque también existían pequeñas zonas con luces pequeñas y gran número de células endoteliales. Muchas de las luces vasculares dilatadas estaban rodeadas de epidermis sin que se observara tejido conjuntivo entre ambos, lo que ha dado en llamarse quistes vasculares (fig. 3). Esta proliferación vascular se extendía de forma lateral más allá de los cambios epidérmicos suprayacentes (fig. 4).
Fig. 3.--Caso 2. Detalle en el que se observa una marcada hiperqueratosis ortoqueratósica sobre una epidermis adelgazada que presenta proyecciones filiformes que forman una red. En dermis papilar se observan luces vasculares de gran tamaño, de pared fina unicelular en íntimo contacto con las proyecciones epidérmicas. (Hematoxilina-eosina, x100.)
Fig. 4.--Caso 2. Panorámica de la lesión en la que se aprecia la papilomatosis y la hiperqueratosis. Los vasos que ocupan la dermis papilar presentan unas luces dilatadas con paredes finas, mientras que las que se encuentran en dermis reticular se agrupan el lobulillos con estroma propio, sus luces son más pequeñas y sus paredes más gruesas. (Hematoxilina-eosina, x100.)
La dermis reticular y, en los casos 1 y 2, el tejido subcutáneo, también presentaban agrupaciones vasculares. Éstas algunas veces se entremezclaban con el colágeno, glándulas ecrinas y otras estructuras preexistentes, mientras que otras estaban formando verdaderos lóbulos, pero siempre mostraban un estroma propio. Los vasos mostraban una pared de mayor grosor que en la dermis papilar (fig. 4). El caso 1 mostraba espacios vasculares de gran tamaño con trombos y proyecciones papilares en su interior, interpretados como un trombo recanalizado (fig. 5).
Fig. 5.--Caso 1. Detalle en el que se aprecian vasos trombosados localizados entre dermis y subcutis, con signos de revascularización. (Hematoxilina-eosina, x200.)
DISCUSION
Imperial y Helwig publicaron en 1967 una serie de 21 casos de malformaciones vasculares queratósicas, diferenciándolas definitivamente de los angioqueratomas, con los que existía gran confusión 3. A lo largo del tiempo las malformaciones vasculares hiperqueratósicas (MVH) han recibido múltiples y distintas denominaciones entre las que destacamos las de angioqueratoma circunscrito neviforme o angioqueratoma papuloso, que crearon mayor confusión a la hora de distinguirlas de los angioqueratomas, y la de hemangioma verrugoso, término muy extendido en la literatura especializada. Sin embargo, como esta lesión corresponde a una malformación y no a un verdadero tumor, debería eliminarse el término hemangioma. Por ello, consideramos adecuada la denominación malformación vascular hiperqueratósica.
Aunque la serie De Dulanto et al 4 indicaría un predominio del sexo femenino, una serie más amplia 5 y la incidencia acumulada tras la revisión bibliográfica 1,3-13 demuestran que no hay diferencias entre sexos. La mayoría de MVH son congénitas, aunque también pueden aparecer en los primeros años de vida 1,3. De forma excepcional se manifiestan en la adolescencia 3 o en la vida adulta 6.
Clínicamente, son lesiones unilaterales 1, que en más del 80 % de los casos se distribuyen por extremidades inferiores 5. Suelen manifestarse como una placa única de 0,4 a 7 cm de diámetro 7, con frecuencia acompañada de lesiones satélites de menor tamaño 4,8, pero en ocasiones presentan múltiples placas agrupadas en una disposición lineal 9,12. En un primer momento, presentan un aspecto aplanado azulado o rojizo 14, aunque también pueden adoptar la apariencia de un hemangioma infantil 8. Con el tiempo crecen y se tornan verrugosas 1,3,14. Esta transición quizá se debe a la sobreinfección y, sobre todo, a los traumatismos, incluyendo el rascado 1,3, ya que suelen resultar pruriginosas 8. Por estas mismas razones son frecuentes los episodios de sangrado. En ocasiones, los pacientes se quejan de dolor.
Mención aparte merece el caso de Cruces y De la Torre 15, que presentaba múltiples lesiones distribuidas por toda la superficie corporal. Para algunos autores, los casos descritos por Kohda y Narisawa 16 bajo el nombre fibroangioma verrugoso digital, representan una variante de MVH que se caracterizaría por su localización en los dedos de las manos y la presencia de fibras de colágeno engrosadas que acompañan a los cambios histopatológicos típicos de las MVH 9. Sin embargo, Sangüeza y Requena 14 consideran el fibroangioma verrugoso digital una entidad aparte.
Histopatológicamente, se caracterizan por un grado variable de hiperqueratosis, papilomatosis y acantosis 3,14. La dermis papilar está ocupada por luces vasculares que a veces se ven rodeadas de cordones de epidermis y que da el aspecto de un quiste epidérmico que contiene hematíes, lo que se ha denominado quistes vasculares. Es habitual los vasos sanguíneos se extiendan, de forma lateral, más allá de los cambios epidérmicos 3. En ocasiones existe un infiltrado inflamatorio asociado, y también depósitos de hemosiderina. De forma característica, las alteraciones vasculares se extienden a dermis reticular y, en ocasiones, a subcutis 3,10. Estos cambios, algunas veces están en continuidad con las alteraciones superficiales, mientras que otras están separados de las mismas.
Debido al aspecto verrugoso, clínicamente pueden confundirse con verrugas vulgares 3, queratosis seborreicas e incluso melanomas 4. Sin embargo, el diagnóstico diferencial clínico-patológico debe establecerse principalmente con los angioqueratomas, que son telangiectasias de vasos de la dermis papilar, sin afectación profunda 2. Además, suelen aparecer a una edad más avanzada y ser de menor tamaño 8. También deben distinguirse de los linfangiomas circunscritos con los que comparte la afectación superficial y profunda, y la reacción epidérmica histopatológica, aunque en este caso los vasos alterados sean los linfáticos 14. Además, el aspecto clínico con vesículas agrupadas en huevo de rana, es claramente distinto del aspecto de las MVH 14. Aunque se ha descrito una variante hiperqueratósica de hamartoma angiomatoso ecrino 17, su distinción suele ser sencilla, ya que en éste los cambios epidérmicos, incluyendo las dilataciones vasculares no suelen ser tan llamativas como en las MVH. Además, la presencia de gran número de glándulas ecrinas más allá de lo esperable para la zona también orientará hacia el diagnóstico correcto.
Las MVH pueden representar la alteración vascular cutánea en algunos casos de síndrome de Cobb 18, o de síndrome de Kippel-Trenaunay 5.
El tratamiento de las MVH es quirúrgico. La exéresis debe realizarse con un margen amplio y en profundidad, pues las recidivas son frecuentes, de hasta el 30 % 1,6. Otras técnicas como la crioterapia 1,7, el láser 1,18, la electrocoagulación 9 o la corticoterapia 1 se acompañan inexorablemente de recidiva de la lesión, al no incidir en el componente profundo de las MVH 5.







