INTRODUCCION
El pénfigo vulgar es una enfermedad autoinmunitaria órgano específica caracterizada histopatológicamente por ampollas acantolíticas intraepidérmicas suprabasales. Existen pocas publicaciones de casos de pénfigo vulgar asociados con fenómeno de Koebner. Describimos una paciente con enfermedad de Graves en la cual, el fenómeno de Koebner constituyó tanto la forma de inicio como la de presentación de una recidiva.
DESCRIPCION DEL CASO CLINICO
Una mujer de 51 años, con una historia personal de hipertiroidismo por enfermedad de Graves de 15 años de evolución con oftalmopatía tiroidea asociada fue diagnosticada en enero de 1997 de pénfigo vulgar en nuestro servicio al sufrir un brote de ampollas sobre las cicatrices quirúrgicas de una operación de varices en piernas.
Con la finalidad de corregir su exoftalmos, la paciente fue sometida en los últimos años a un total de ocho intervenciones quirúrgicas oftalmológicas; la última, en octubre de 2003 consistió en un descenso del párpado superior derecho mediante un injerto de piel procedente de la región retroauricular izquierda. Las zonas dadora y receptora del injerto presentaron desde el postoperatorio una mala cicatrización con eritema, edema y formación de escamocostras. La paciente consultó 5 meses después de la intervención quirúrgica por empeoramiento de las lesiones en las áreas intervenidas y aparición progresiva de ampollas en el tronco, sin ningún síntoma sistémico.
En la exploración dermatológica se apreciaba una placa bien delimitada en la región retroauricular izquierda, ovalada, de alrededor de 3 x 5 cm, con erosiones, zonas escamocostrosas (fig. 1) y signo de Nikolsky positivo en los bordes de la lesión. Los párpados superior e inferior derechos se encontraban eritematosos, edematosos y con extensas escamocostras (fig. 2). En el tronco se observaban pequeñas ampollas flácidas sobre una base eritematosa.
Fig. 1.--Lesión erosiva bien circunscrita con formación de costras en la región retroauricular izquierda.
Fig. 2.--Lesiones eritematoedematosas con formación de costras en el párpado superior derecho.
La analítica sanguínea sólo mostró una ligera leucocitosis con fórmula normal y niveles alterados de hormonas tiroideas. Los anticuerpos antisustancia intercelular fueron positivos a títulos 1/20.
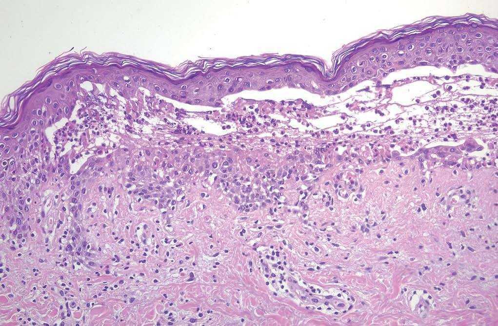
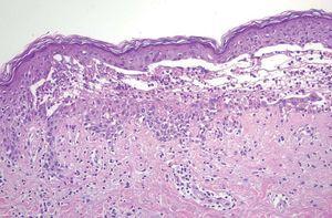
El estudio histopatológico de las lesiones de región retroauricular y del tronco confirmó la presencia de ampollas acantolíticas intraepidérmicas suprabasales y de un infiltrado inflamatorio constituido por abundantes polimorfonucleares neutrófilos, eosinófilos y linfocitos (fig. 3). La inmunofluorescencia directa fue positiva para IgG y C3, con distribución epidérmica intercelular (fig. 4).
Fig. 3.--Estudio histológico de lesión del tronco que presenta una ampolla intraepidérmica suprabasal con infiltrado inflamatorio dérmico. (Hematoxilina-eosina, x100.)
Fig. 4.--Inmunofluorescencia directa positiva para IgG.
El tratamiento con prednisona (60 mg/día, por vía oral) consiguió la estabilización y progresiva remisión de las lesiones.
DISCUSION
El fenómeno isomórfico de Koebner consiste en la aparición de lesiones típicas de una determinada dermatosis en áreas de piel sana que han sido previamente estimuladas mediante diversas clases de traumatismos.
El prototipo de este fenómeno ocurre en la psoriasis, y es en esta enfermedad en la que ha sido más ampliamente descrito y estudiado. Existen, sin embargo, numerosas entidades dermatológicas vinculadas a la aparición del mencionado fenómeno, de las cuales únicamente la psoriasis, el vitíligo y el liquen plano parecen presentar un fenómeno de Koebner verdadero (p. ej., refleja la patogenia de la enfermedad y es reproducible en todos los pacientes) 1. En otras ocasiones la aparición de las lesiones responde más bien a la siembra en los tejidos circundantes de agentes infecciosos asociados con la aparición de la lesión primaria, como es el caso del molusco contagioso o de las verrugas (fenómeno pseudoisomórfico de Koebner). Además, en diversas entidades las lesiones se localizan, en ocasiones, en zonas de traumatismo 1.
El fenómeno de Koebner ha sido atribuido a una amplia variedad de desencadenantes, que incluyen mordeduras de animales, picaduras de insectos, heridas quirúrgicas, injertos, vacunaciones, prueba de Mantoux, tintes de pelo y lacas, tatuajes, afeitado, quemaduras y radiación ultravioleta e ionizante. En el pénfigo vulgar, el fenómeno de Koebner se ha asociado al estímulo de radiación ultravioleta 2, radiación ionizante 3-5, quemaduras 6, heridas quirúrgicas y accidentales 7-12, electrocirugía y cosméticos 13 y prueba de Mantoux 14.
El fenómeno de Koebner puede constituir la primera manifestación de pénfigo vulgar. Las lesiones, en este caso, tienden a aparecen sobre el área de piel estimulada y pueden generalizarse simultánea o posteriormente. El periodo de latencia entre la acción del agente desencadenante y la aparición de las lesiones es muy variable, en algunos casos años después del trauma causal.
La paciente que describimos sufrió dos brotes de pénfigo vulgar entre 1997 y 2004, en ambos casos con aparición inicial de las lesiones en las áreas de cicatriz quirúrgica y extensión posterior a otras regiones, principalmente al tronco. El periodo de latencia entre el trauma inicial y la aparición de las lesiones fue de 3 meses en el primer brote, mientras que en el segundo las áreas afectadas durante la cirugía presentaron precozmente erosiones y alteraciones de la cicatrización que se acompañaron 5 meses después de lesiones ampollosas en el tronco.
La etiopatogenia del fenómeno de Koebner en el pénfigo vulgar continúa siendo incierta, aunque es probable que implique una compleja interacción multifactorial entre la constitución genética del individuo y uno o más desencadenantes ambientales.
Ruocco y Pisani 15 han sugerido que los desencadenantes del pénfigo pueden modificar los grupos sulfhidrilo de los antígenos del pénfigo y provocar acantolisis y modificación de la antigenicidad de la membrana celular. Probablemente la existencia de una solución de continuidad en la piel permita la exposición de una pequeña cantidad de antígenos del pénfigo, suficiente para reaccionar con títulos más bajos de anticuerpos circulantes que no causarían la enfermedad sin el antecedente traumático.
Por otra parte, el proceso de cicatrización puede, en sí mismo, constituir un obstáculo para la diferenciación normal de los queratinocitos, haciendo las células más vulnerables a títulos bajos de autoanticuerpos del pénfigo 12.
El interés de este caso radica además en la asociación en el mismo paciente de dos procesos autoinmunitarios, pénfigo vulgar y enfermedad de Graves. El pénfigo vulgar se ha asociado con la miastenia grave y el timoma, pero las referencias a la asociación con la enfermedad de Graves son escasas. Esta es una entidad autoinmune ocasionada por la acción de autoanticuerpos dirigidos contra los receptores de la hormona estimuladora del tiroide (TSH). Entre el 66 y el 80 % de los pacientes con enfermedad de Graves presentan autoanticuerpos microsomales o contra la tiroglobulina 16.
La concurrencia de dos o más enfermedades autoinmunitarias no es un hallazgo casual. Según Chan et al 17, el daño tisular ocasionado por un trastorno autoinmunitario o un proceso inflamatorio primario podría determinar la exposición de epitopos endógenos que hasta entonces permanecían ocultos (epitope spreading) desencadenando así una respuesta secundaria y específica de linfocitos B o T autorreactivos, dirigida contra aquéllos. Este mecanismo inmunológico de exposición antigénica podría explicar tanto la relación entre el fenómeno de Koebner y el pénfigo vulgar como la asociación de éste con la enfermedad de Graves, en la que se han descrito mecanismos similares 18,19. Hamlet et al 20 sugieren que el epitelio tiroideo podría expresar epitopos con reactividad cruzada que estimularían en el paciente la producción de autoanticuerpos del pénfigo.
La constitución genética del individuo parece desempeñar también un papel importante. De esta forma, el pénfigo vulgar se ha asociado con HLA-DR4 y HLA-DRw6, mientras que la enfermedad de Graves se asocia con HLA-DR3 20. Bartalena et al 21 describieron el caso de un paciente con pénfigo vulgar y enfermedad de Graves con positividad para HLA-DR3 y HLA-DR4.
Nuestro caso constituye un nuevo ejemplo de la coexistencia del fenómeno de Koebner y el pénfigo vulgar y de la interesante asociación de éste con la enfermedad de Graves. En esta ocasión, el fenómeno de Koebner constituyó la manifestación inicial del pénfigo. Los brotes posteriores estuvieron relacionados con intervenciones quirúrgicas previas en las zonas donde aparecieron las lesiones cutáneas y fueron controlados de manera favorable con la instauración de corticoterapia oral.






