INTRODUCCION
El lupus eritematoso neonatal (LEN) es una enfermedad poco común del recién nacido causada por el paso transplacentario de autoanticuerpos maternos contra el complejo de proteínas Ro/SSA y más raramente La/SSB y U1-RNP, cuyas manifestaciones clínicas más frecuentes son las lesiones cutáneas y el bloqueo cardiaco. Las manifestaciones cutáneas de este cuadro son variadas, y la mayor parte de las descripciones se basan en casos aislados, con pocas series extensas publicadas 1-3. En este estudio revisamos las manifestaciones clínicas de 4 casos documentados en el Hospital Universitario Insular de Las Palmas de Gran Canaria en los últimos 10 años.
DESCRIPCION DE LOS CASOS CLINICOS
Los embarazos fueron seguidos en la consulta de alto riesgo fetal del Hospital Materno-Infantil con un control ecocardiográfico riguroso. Un total de 3 pacientes presentaron negativización de los anticuerpos antes del primer año de edad. Además de las exploraciones complementarias particulares realizadas tras los hallazgos clínicos, a todos los pacientes se les realizó biopsia cutánea, bioquímica, hemograma, estudio de anticuerpos antinucleares y concentraciones de complemento y ecocardiograma y se reflejaron sólo los datos patológicos. Excepto el caso 1, todas las madres presentaban anticuerpos anti-Ro circulantes durante el embarazo (tabla 1).
Caso 1
Un varón de 4 semanas de edad, presentaba lesiones eritematosas en cara y exudativas en cuello y área perianal de 3 semanas de evolución. Su madre, primigesta de 21 años padecía una enfermedad mixta del tejido conjuntivo con anticuerpos antinucleares (ANA) (+) y anti-RNP (+), diagnosticada 2 años antes. El niño nació por cesárea de forma prematura a las 28 semanas con bajo peso para la edad gestacional (849 g). El Apgar era 4/9 y precisó reanimación mediante intubación. Durante su ingreso padeció sepsis nosocomial por estafilococo coagulasa negativo, estrés respiratorio por pulmón inmaduro, anemia tardía y plaquetopenia que requirieron transfusión. En la exploración física presentó en la cara máculas anulares eritematosas de centro atrófico e hipopigmentado (fig. 1) y en cuello, placas exudativas y ulceradas de bordes inflamatorios (fig. 2). En el resto de la exploración destacó una leve hepatomegalia. La analítica era la siguiente: Hb: 8,6 g/dl; Hto: 26 %; leucocitos: 7.400 (N, 20 %; L, 72 %; M, 2 %); plaquetas: 79.000 μl; GGT, 848 U/l; FA, 318 U/l. Los estudios de laboratorio revelaron ANA (+) con patrón moteado, anti-RNP (+), anti-Ro () y anti-La (), medidos mediante análisis de inmunoabsorción ligado a enzimas (ELISA), con hipocomplementemia a expensas de C44 mg/dl (VN: 20-50 mg/dl).
Fig. 1.--Caso 1. Eritema periorbitario en antifaz o mapache.
Fig. 2.--Caso 1. Úlceras en el cuello.
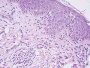
La primera biopsia realizada mostró un infiltrado linfocitario inespecífico. Las lesiones se trataron con antibióticos tópicos sin clara mejoría de las mismas. Al mes y medio del brote de nuevas lesiones más inflamatorias que las anteriores (fig. 3), se practicó una segunda biopsia que mostró degeneración vacuolar de células basales, edema dérmico moderado y escaso infiltrado inflamatorio linfocitario. Se pautó tratamiento con antibiótico tópico y fomentos secantes en las lesiones exudativas. A los 5 meses los anticuerpos eran negativos y sólo presentaba máculas atróficas y cicatrices en tronco y extremidades.
Fig. 3.--Caso 1. Placas eritematosas anulares de bordes elevados, bien delimitadas.
Caso 2
Una niña de 3 semanas comenzó 4 días antes de la evaluación, con lesiones cutáneas eritematosas generalizadas. Su madre padecía lupus eritematoso sistémico (LES) desde los 13 años. Durante el embarazo y el parto no hubo incidencias.
En la exploración física observamos en el abdomen, tronco, espalda y cara pápulas eritematoedematosas de hasta 1 cm de diámetro, algunas de morfología anular, sin afectación epidérmica. La analítica era la siguiente: Hb: 10,9 g/dl; Hto: 32,1 %; VCM: 97,5 fl; leucocitos: 12.200 μl (N, 14 %; L, 76 %; M, 10 %); ALT/ GPT: 88 U/l; AST/GOT: 116 U/l; FA: 338 U/l; LDH: 734 U/l; GGT: 79 U/l. ANA (+) > 1/640 patrón moteado; anti-ADNds (); anti-RNP (+); anti-Ro (+); anti-La (+), detectados con ELISA. La biopsia reveló vacuolización de la unión dermoepidérmica, cuerpos coloides aislados, depósitos de mucina y edema en dermis con inmunofluorescencia directa negativa.
Se pautó tratamiento con hidrocortisona 2,5 % tópica 2 veces al día y fotoprotección. Al cuarto mes presentaba un ligero livedo reticularis en los miembros inferiores. Los anticuerpos eran negativos al séptimo mes.
Caso 3
Una niña de 1.730 g (adecuado peso para la edad gestacional), nació a las 30 semanas mediante cesárea, con un Apgar de 6/8. La madre padecía vasculitis leucocitoclástica anti-Ro (+) diagnosticada 2 años antes, tratada hasta el embarazo con prednisona y colchicina. Antes, durante y después del embarazo presentaba ANA (+) 1/160, anti-Ro (+) y anti-RNP (+). A las 18 semanas de embarazo, a la vez que se detectaba un brote de lesiones de vasculitis en la madre, se objetivó bradicardia fetal. La ecocardiografía fetal reveló una frecuencia cardiaca de 75 lat./min y una alteración de la contractibilidad de la pared posterior del ventrículo derecho que se trató con teofilina. Al prescribir 45 mg de prednisona a la madre, se normalizó la frecuencia cardiaca, aunque el defecto de contractibilidad persistió y se corrigió al pautar dexametasona 2 mg/día asociado a teofilina.
Al nacimiento, la niña no presentó lesiones cutáneas y el ecocardiograma de control fue normal. El estudio Holter reveló extrasístoles ventriculares las primeras 24 h. Durante las siguientes 2 semanas, desarrolló un bloqueo auriculoventricular (AV) de primer grado, que progresó a un bloqueo AV de tercer grado. Se precisó la implantación de un marcapasos permanente.
A las 8 semanas del nacimiento, aparecieron en mejillas lesiones anulares eritematoedematosas de bordes no descamativos y en las extremidades se desarrollaron lesiones similares (figs. 4-5). Éstas desaparecieron sin tratamiento en una semana. La histología de los bordes activos reveló una epidermis normal con un infiltrado mononuclear en dermis con aislados eosinófilos (fig. 6). Durante el periodo de resolución de las primeras lesiones, una nueva erupción reticulada apareció en el área del pañal, ingles, hombros, espalda y extremidades proximales. Eran placas anulares atróficas ligeramente descamativas en el borde. La biopsia de estas nuevas lesiones reveló edema en dermis superficial con un infiltrado linfocitario perivascular y perifolicular, con una intensa degeneración vacuolar de la capa basal (fig. 7). Los análisis mostraron AST 75 U/L; ALT 60 U/L; ANA (+) 1/640; anti-Ro (+); anti-ADNds (); anti-U1-RNP (;anti-La (); anti-Sm (), medidos con ELISA. El único tratamiento que se recomendó fue la fotoprotección solar. Las lesiones cutáneas desaparecieron en 2 semanas. A los 10 meses los anticuerpos eran negativos.
Fig. 4.--Caso 3. Lesiones anulares en las piernas.
Fig. 5.--Caso 4. Lesiones anulares periorbitarias y en la frente.
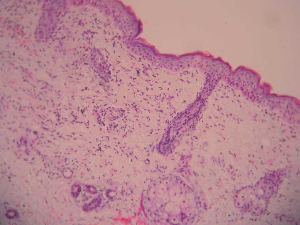
Fig. 6.--Caso 1. LEN sin afectación epidérmica. Infiltrado inflamatorio mononuclear en la dermis perivascular y perianexial. (Hematoxilina-eosina, x10.)
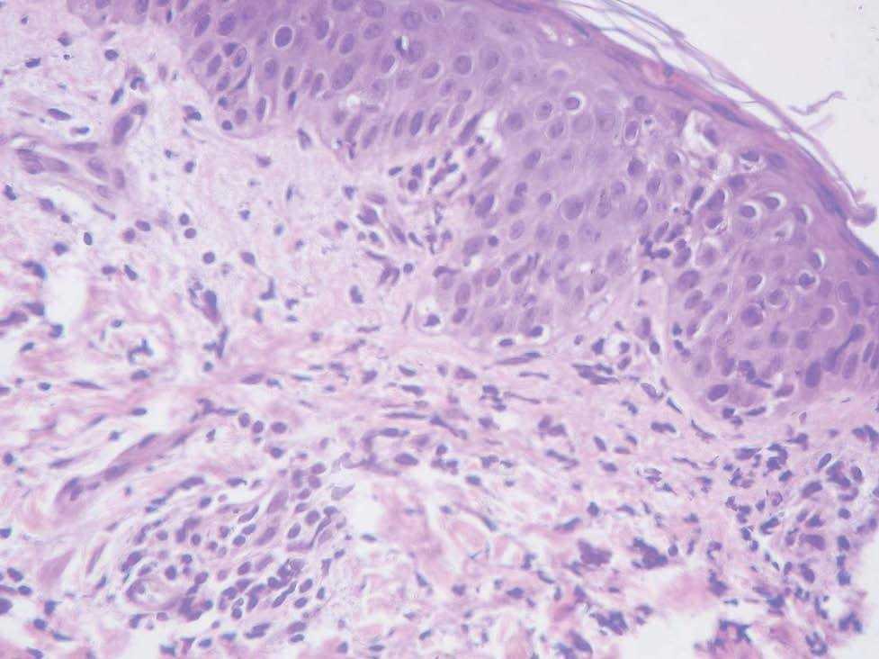
Fig. 7.--Caso 3. LEN con afectación epidérmica. Degeneración vacuolar de la capa basal e infiltrado inflamatorio mononuclear en la dermis. (Hematoxilina-eosina, x40.)
Caso 4
Un varón de 4 semanas fue visitado en consulta con lesiones eritematosas en la cara de 2 semanas de evolución. Su madre padecía lupus eritematoso sistémico y precisó corticoterapia durante el embarazo.
El niño había presentado mes y medio antes una lesión similar tratada por su pediatra con corticoides tópicos hasta su desaparición. A la exploración física, presentaba en la frente, zona periorbicular y mejillas placas anulares eritematosas de centro atrófico (fig. 7). La analítica fue la siguiente: Hb: 10,5 g/dl; Hto: 30,3 %; C3: 74,8 mg/dl (VN: 79-152 mg/dl); C4: 12 mg/dl (VN: 16-38 mg/dl); ANA (+) 1/640; anti-ADN (); anti-Sm (); anti-RNP (); anti-Ro (+); anti-La (+), detectados con immunoblot. La biopsia de la piel reveló una epidermis ligeramente adelgazada con paraqueratosis, vacuolización de la membrana basal y edema en dermis con ligero infiltrado mononuclear. La membrana basal no presentó engrosamiento y con hierro coloidal se apreciaron abundantes depósitos de mucina.
Se volvió a examinar al niño 2 semanas más tarde. Presentaba candidiasis en mucosa oral y persistencia de las lesiones cutáneas, por lo que se pautó tratamiento con antifúngicos tópicos. Tras confirmar la negatividad del hidróxido potásico (KOH) y del cultivo para hongos, se instauró tratamiento tópico con hidrocortisona dos veces al día. Al mes y medio el niño estaba asintomático. Los anticuerpos se negativizaron a los 14 meses.
DISCUSION
McCuistion y Schoch 4 publicaron en 1954 el caso de un recién nacido con lesiones cutáneas que consideraron de lupus discoide y fueron ellos quienes sugirieron que la enfermedad podría deberse a un factor transplacentario de madre a hijo. Desde entonces, el LEN se considera una enfermedad del recién nacido con una incidencia estimada según la afectación cardiaca de uno por 10.000-20.000 recién nacidos 5,6. Las manifestaciones clínicas se producen por el paso transplacentario de autoanticuerpos maternos dirigidos frente a los tejidos que presentan antígenos asociados a ARN como Ro/SSA y muy raramente La/SSB o U1 RNP. Si bien es una enfermedad autoinmunitaria, son necesarios otros factores para desarrollarla, ya que no todos los niños con serología positiva la padecen. El 50 % de los pacientes sintomáticos presentan manifestaciones cutáneas y el otro 50 %, manifestaciones cardiacas; ambos coexisten en el 10 % de los casos 5. Otras manifestaciones clínicas descritas incluyen alteraciones hepáticas, hematológicas, neumonitis, esplenomegalia, diarrea hemorrágica, prematuridad y bajo peso al nacer 7.
El 50 % de las madres están asintomáticas en el momento del diagnóstico del LEN y el resto presenta una enfermedad del tejido conjuntivo. Según una serie estudiada por McCune et al 3, la mayoría de este porcentaje de madres presentaba el síndrome de Sjögren, y según Waltuck y Buyon 8, LES. También se han descrito casos de madres con vasculitis leucocitoclástica anti-Ro (+) 9.
El LEN cutáneo es tres veces más frecuente en recién nacidas mujeres, es asintomático y presenta fotosensibilidad, aunque no es un prerrequisito, como demuestra el hecho de que se hayan descrito lesiones presentes en el momento del parto 10. Suele desaparecer a los 6-8 meses de edad, coincidiendo con el aclaramiento de los anticuerpos maternos y en ocasiones puede dejar despigmentación residual o telangiectasias. Hay casos de niños con cicatrices faciales y atrofia permanente 11. Las lesiones cutáneas suelen presentarse antes de los 2 meses del nacimiento, sobre todo en la cara, y es característica la lesión periorbitaria en máscara. No son raras las lesiones localizadas en cuero cabelludo (también en tronco, extremidades y área del pañal). Aunque el diagnóstico del LEN es principalmente clínico y serológico, la biopsia cutánea puede confirmar el diagnóstico antes del resultado de las pruebas analíticas y, en ocasiones, es necesaria en casos en los que haya que hacer un diagnóstico diferencial más amplio, bien por no haber historia de patología materna o bien porque las lesiones cutáneas no sean tan características. Las lesiones cutáneas de la erupción pueden separarse principalmente en dos grupos: lesiones eritematoedematosas descamativas semejantes al LECS y lesiones urticariformes. La histología de las primeras sería semejante a la de un lupus cutáneo, con vacuolización de los queratinocitos basales, mientras que las del segundo grupo serían inespecíficas. Se ha descrito que la inmunofluorescencia es positiva en el 50 % de los casos para IgG y/o IgM y C en la membrana basal 5, aunque esta no es nuestra experiencia. Aparte de las comentadas, también se han descrito casos con livedo reticularis, angiomas, púrpura (trombocitopénica), telangiectasias, hipopigmentación/hiperpigmentación, alopecia, cutis marmorata telangiectásica congénita y lupus eritematoso discoide, sin conocerse la frecuencia relativa de estas lesiones 12,13. Uno de nuestros pacientes (caso 1) presentaba ulceración, dato que no hemos encontrado descrito en la revisión realizada. Parece que los niños con patología cutánea, están más predispuestos a padecer enfermedad hepatobiliar o hematológica que los que padecen afectación cardiaca. 14
La afectación cardiaca se presenta con la misma frecuencia en varones que en mujeres, consiste principalmente en un bloqueo AV de tercer grado que puede manifestarse ya en el útero entre las semanas 18-24 de gestación 10. Es la manifestación clínica que marca el pronóstico de la enfermedad y, según el Research Registry NLE, el 63 % precisaron marcapasos y el 20 % fallecieron 14. Otras alteraciones son la miocardiopatía como secuela del bloqueo cardiaco congénito (BCC), pericarditis, ductus persistente o insuficiencia cardiaca congestiva 5,15,16.
La enfermedad hepatobiliar se ha descrito como único síntoma; se cree que está infradiagnosticada, que la prevalencia es mayor del 10 % y cuya manifestación más frecuente es un aumento transitorio de transaminasas a los 2-3 meses de vida 14. La alteración hematológica más frecuente es una trombocitopenia transitoria y benigna descrita en el 40 % del LEN. La neutropenia es poco frecuente y la anemia hemolítica, ocasional 14.
Los anticuerpos anti-Ro/SSA están dirigidos contra un complejo antigénico ribonucleproteico formado por varios polipéptidos (60-kDa, 52-kDa, 46-kDa) y pequeñas moléculas de ARN. Independientemente de que tengan manifestaciones clínicas, este anticuerpo se encuentra en 1 de cada 200 mujeres 14 y afecta al 1 % de los hijos de éstas y se han encontrado anticuerpos anti-Ro fijados en la piel, corazón, hígado, intestino, pulmón y células sanguíneas. El riesgo de tener hijos afectados por LEN en futuras gestaciones se incrementa el 25 % 14. Casi todas las mujeres con hijos afectados presentan anti-Ro y aquellas que no lo presentan suelen ser positivas para anticuerpos anti-Ul RNP. Este último grupo suele estar sintomático en el momento del diagnóstico del LEN 17. Muchos investigadores se muestran reacios a pensar en la existencia de LEN con serología para anti-Ro/SSA negativa y lo asocian a fijación total de dichos anticuerpos o a la poca sensibilidad de la técnica, ya que se han descrito casos de negatividad para anti-Ro/SSA y anti-La/SSB con inmunodifusión y ELISA, que después se han detectado mediante inmunoblot18. Aunque no hay un perfil específico de anticuerpos responsables para padecer LEN, el riesgo de padecer la enfermedad, especialmente la patología cardiaca 19, parece aumentar si existe asociación de anti-Ro dirigido a la proteína de 52-kDa con anti-La.
Los últimos estudios en modelos animales han identificado reactividad cruzada entre 52-kDa Ro/SSA y el receptor serotoninérgico 5-HT 20, antagonizando el anticuerpo el canal de calcio inducido por serotonina 21. También se ha observado que anti-Ro/La producen apoptosis de células cardiacas y que éstas incrementan la secreción de factor de necrosis tumoral a (TNF-α) por parte de los macrófagos cultivados que inducen la diferenciación de fibroblastos cardiacos hacia un fenotipo cicatrizal 22.
Anti-La/SSB es un anticuerpo dirigido frente a una proteína ARN polimerasa factor de transcripción terminal de 48-kDa, aunque Alexander et al no encontraron, mediante estudios experimentales en conejos, que dichos anticuerpos tuvieran algún efecto sinérgico o aditivo con anti-Ro/SSA para los trastornos cardiacos 23, y se asocia en el 60-85 % a dicho anticuerpo en el LEN. Anti-U1RNP es un anticuerpo dirigido frente a una proteína asociada a partículas del ARN encargadas del mecanismo de escisión durante el procesamiento del ARN. Como particularidad, se ha visto que los niños que padecen LEN únicamente con dicho anticuerpo son todos varones y tienen buen pronóstico, ya que no presentan enfermedad sistémica ni BCC 17.
Otros factores relacionados con la patogenia del LEN son el sexo, la radiación solar, los antigénicos de histocompatibilidad y las infecciones virales. Se ha demostrado que los estrógenos incrementan la expresión de los antígenos Ro/La en la superficie de los queratinocitos, la radiación solar induce translocación de Ro/SSA, La/SSB, U1RNP y Sm a la membrana plasmática 5 y se ha observado que las madres de los niños afectados por LEN por anti-Ro presentan con más frecuencia antígenos de histocompatibilidad (HLA) B8, DR3, DR2 y DQ2, e incluso anticuerpos anti-p57 12, sin encontrarse ninguna relación fenotípica en los hijos afectados 5. Las madres que presentan anticuerpos anti-U1RNP con fenotipo HLA DR2 suelen tener hijos sanos 17. Las infecciones virales parecen tener un papel en el desarrollo de la enfermedad. In vitro, se ha visto cómo los virus producen incremento de Ro/La en la superficie de células que sufren apoptosis. También se han detectado anticuerpos frente al retrovirus ERV-3 en el suero de las madres de los niños afectados de LEN 19.
El tratamiento de las lesiones cutáneas se realiza de manera conservadora con fotoprotección asociada en algunos casos a corticoides tópicos de baja potencia. Las telangiectasias persistentes pueden tratarse con láser de colorante pulsado 24. En España el 50 % de los BCC precisan de la implantación de un marcapasos 5. Existen casos de resolución de la miocardiopatía, derrame pericárdico e insuficiencia cardiaca, así como del bloqueo cardiaco in utero con el tratamiento esteroideo sistémico, en concreto con dexametasona 9,25,26. El tratamiento con inmunoglobulinas intravenosas intraútero podría ser una opción en determinados casos 20.
Aunque descrito de forma esporádica, es importante un seguimiento a largo plazo de los niños afectados por LEN cardiaco, ya que no están exentos de padecer miocardiopatía o insuficiencia cardiaca en un futuro 15. El LEN exclusivamente cutáneo parece tener buen pronóstico y, aunque hay casos descritos de BCC en la etapa escolar sin antecedentes de patología neonatal, no parece justificado en el momento actual un seguimiento cardiológico de los pacientes con LEN de estas características. Es importante el seguimiento de cualquier mujer asintomática con anti-Ro (+), no sólo por el riesgo de tener hijos afectados con LEN, sino por la posibilidad de que puedan desarrollar alguna enfermedad autoinmunitaria 7. Según Martin et al 27, los niños afectados de LEN también podrían tener más riesgo de padecer alguna enfermedad autoinmunitaria en el futuro.










