INTRODUCCION
La infección por el virus del papiloma humano (VPH) se ha relacionado con diferentes enfermedades de la mucosa oral, tanto benignas (verrugas vulgares, papilomas, condilomas acuminados, hiperplasia epitelial focal), como premalignas o malignas (leucoplasia, carcinoma de células escamosas) 1. La hiperplasia epitelial focal, también llamada enfermedad de Heck, es una enfermedad poco frecuente que consiste en una proliferación epitelial benigna de la mucosa oral que suele aparecer en la infancia, con una mayor incidencia en determinadas razas y que tiene unas características clínicas e histológicas distintivas 2.
Se presenta el caso de un niño ecuatoriano que consultó por unas lesiones en la mucosa oral compatibles con el diagnóstico de hiperplasia epitelial focal, que fueron confirmadas en el estudio histológico y en las que se identificó ADN del virus del papiloma humano tipo 13.
DESCRIPCION DEL CASO
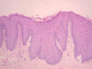
Un niño de 12 años, natural de Ecuador, sin antecedentes personales ni familiares de interés, acudió a la consulta por presentar, desde hacía 2 años, placas sobreelevadas en la mucosa oral, asintomáticas, que se iban extendiendo de forma lenta y progresiva. En la exploración física se observaron pápulas de bordes regulares y bien definidos, de superficie lisa y color similar al de la mucosa de alrededor, que en algunas zonas tendían a confluir. De este modo, la mucosa oral adoptaba un característico patrón en empedrado. Estas placas afectaban a la mucosa del labio inferior (fig. 1) y a la mucosa yugal (fig. 2). No se objetivaron otras lesiones en la piel ni en la mucosa genital. La biopsia de una de las lesiones mostró hiperplasia de la epidermis, acantosis, elongación de las crestas interpapilares, disqueratosis, mitosis suprabasales y grupos de células claras de citoplasma amplio vacuolado (coilocitos) (fig. 3). Mediante reacción en cadena de la polimerasa (PCR) se demostró la presencia de ADN de VPH tipo 13. Con el diagnóstico de hiperplasia epitelial focal se instauró tratamiento con cimetidina 20 mg/kg/día durante 3 meses, sin que el paciente experimentara ninguna mejoría. Las lesiones se mantienen estables 11 meses después de la primera visita.
Fig. 1.--Lesiones de la mucosa labial con aspecto en empedrado.
Fig. 2.--Lesiones similares en la mucosa yugal.
Fig. 3.--Biopsia de una de las lesiones, que muestra hiperplasia epidérmica, disqueratosis, mitosis suprabasales y grupos de coilocitos. (Hematoxilina-eosina, x40.)
DISCUSION
La hiperplasia epitelial focal (HEF) es una enfermedad poco frecuente. Se trata de una proliferación benigna de la mucosa oral debida a la infección por el virus del papiloma humano (VPH). Suele aparecer en la infancia y tiene una mayor incidencia en determinadas razas, como los esquimales y los sudamericanos 2-5, aunque también se han descrito casos aislados en individuos de raza blanca 6-9.
Desde el punto de vista clínico se presenta en forma de múltiples pápulas, bien delimitadas, sésiles, ligeramente sobreelevadas, del color de la mucosa normal o blanquecinas, que tienden a confluir formando placas. Pueden afectar a cualquier parte de la mucosa oral, aunque la zona afectada con más frecuencia es la mucosa del labio inferior 4-6. Las lesiones suelen ser asintomáticas. En el estudio histológico se aprecia hiperqueratosis, acantosis, elongación de las crestas interpapilares que establecen anastomosis horizontales entre sí y presencia de coilocitos 1. Mediante PCR o hibridación in situ se puede identificar ADN de VPH. En más del 90 % de las lesiones se han identificado los tipos 13 y 32 7. Excepcionalmente se han encontrado estos dos tipos en otras lesiones de la mucosa oral, pero nunca se ha observado fuera de ésta 1. Con menor frecuencia, se han encontrado otros tipos de VPH como el 1 y el 11. Estos, VPH productores de HEF no han mostrado hasta la fecha potencial maligno; sólo se ha descrito un caso de HEF asociado a VPH 24 en el que se observó transformación maligna de las lesiones 10, pero es probable que este caso no represente una verdadera HEF 11.
La mayor incidencia de HEF en determinadas razas, junto con la aparición de casos familiares 5,7, hizo pensar que la predisposición genética podría estar implicada en la patogenia de esta enfermedad. En una serie de 22 pacientes con HEF se analizaron los haplotipos HLA (antígeno de histocompatibilidad) y se encontró una frecuencia bastante elevada de HLA-DR4, por lo que los autores concluyeron que este tipo de HLA confiere una especial susceptibilidad a padecer esta enfermedad 2. Es probable que, en los casos de HEF, exista una anomalía inmunológica específica para los VPH productores de la enfermedad. Se han descrito casos de hiperplasia epitelial focal en pacientes infectados por el virus de la inmunodeficiencia humana 12-14. Estos casos tienen una evolución clínica similar a los observados en pacientes sin inmunodeficiencia y se asocian a los mismos tipos de VPH. Aún está por aclarar si la aparición de hiperplasia epitelial focal en esta población es consecuencia de la inmunosupresión o de la mayor incidencia de infecciones por VPH.
El curso de la HEF es muy variable. Con frecuencia las lesiones permanecen durante meses o años, pero también se han visto casos de desaparición espontánea, y otros de persistencia prolongada. Se han ensayado múltiples tratamientos como electrocoagulación 4,14, crioterapia 5, retinoides 9,14, interferón-alfa sistémico 7,15, interferón-beta tópico 6 y láser de CO2 8,12,15. Todas estas modalidades han proporcionado resultados variables. Dada la benignidad del proceso, la posibilidad de remisión espontánea y la poca consistencia en la respuesta con los diferentes tratamientos, la abstinencia terapéutica y observación son una opción válida.





