INTRODUCCION
El liquen plano folicular tumidus retroauricular (LPFTR) fue inicialmente descrito por Belaïch et al1 tras la observación de 3 casos personales caracterizados por lesiones prominentes, túmidas (término propuesto por el aspecto de hinchazón), seudotumorales, de color violáceo, en cuya superficie se apreciaban lesiones tipo millium, localizadas típicamente en la región retroauricular. El examen histológico de los tres fue idéntico, mostrando una imagen de liquen plano pilaris con la presencia en la dermis de numerosos folículos pilosos dilatados o quistes foliculares rodeados de un infiltrado inflamatorio linfohistiocitario.
Desde entonces se han descrito solamente alrededor de unos 15 casos de esta entidad2-9. Se presenta un caso de LPFTR recientemente estudiado en nuestro hospital.
DESCRIPCION DEL CASO
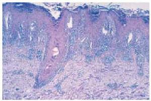
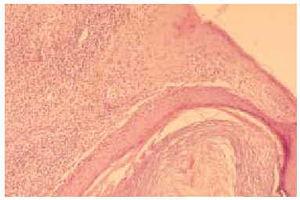
Una mujer de 53 años, con antecedentes personales de una diabetes mellitus tipo 2 y síndrome depresivo, acudió a nuestra consulta por presentar unas lesiones en la región retroauricular, de forma bilateral, que le ocasionaban picor. En la exploración se observaron unas placas de aspecto seudotumoral y coloración rojo-violácea, apreciándose en su superficie lesiones quísticas blancoamarillentas tipo millium, con mayor afectación del lado izquierdo (fig. 1). Además presentaba placas eritematosas y violáceas de aspecto hipertrófico localizadas de forma aislada en las axilas, espalda (fig. 2) y extremidades inferiores, así como unas lesiones hiperqueratósicas de morfología reticular en la mucosa yugal. Analíticamente destacaba una glucemia de 212 mg/dl; colesterol, 296 mg/dl, y triglicéridos, 202 mg/dl. El resto del estudio bioquímico, así como el hemograma, proteinograma, inmunoglobulinas, hormona tirostimulante (TSH), tiroxina, serología de lúes y serología de hepatitis C fueron normales o negativos. La serología de hepatitis B resultó positiva para anti-HBs y anti-Hbc. El estudio histológico de la zona retroauricular puso de manifiesto un infiltrado inflamatorio crónico en la dermis con afectación de la capa basal epidérmica y presencia de cuerpos de Civatte, así como la presencia de quistes infundibulares dérmicos también rodeados de infiltrado inflamatorio (fig. 3). Se realizó una biopsia de una lesión localizada en la espalda con resultado compatible con liquen plano hipertrófico (fig. 4). En el transcurso evolutivo la paciente desarrolló una placa alopécica en la región frontoparietal que histológicamente se informó como compatible con liquen plano pilaris.
Fig. 1.--Placas de aspecto seudotumoral y coloración violácea en cuya superficie se aprecian lesiones quísticas de tipo millium en localización retroauricular izquierda.
Fig. 2.--Placas eritematovioláceas localizadas en la espalda y la región posterior de la axila derecha.
Fig. 3.--Quiste de tipo millium rodeado de infiltrado inflamatorio crónico adherido a la vaina epitelial externa en placa retroauricular izquierda. (Hematoxilina-eosina, x80.)
Fig. 4.--Hiperqueratosis, acantosis e infiltrado liquenoide en el estudio histológico de una lesión de la espalda. (Hematoxilina-eosina, x60.)
No se evidenció ninguna respuesta al tratamiento con corticoides tópicos y muy escasa al tratamiento con corticoterapia oral, que se suspendió por el mal control de la glucemia. Se observó la regresión espontánea de las lesiones al cabo de 3 años de evolución.
DISCUSION
El LPFTR, también denominado liquen folicular agminado con quistes y comedones7, es considerado por algunos una variedad de liquen plano pilaris. Es una entidad poco frecuente que predomina ligeramente en el sexo femenino, con edades que oscilan entre los 20 y 76 años, caracterizada por la localización selectiva de las lesiones en la región retroauricular de forma unilateral o bilateral (excepcionalmente casos localizados en la cara) con asociación ocasional a lesiones típicas de liquen plano en la piel o mucosas (tabla 1).
La imagen histológica del LPFTR es la de un liquen plano pilaris caracterizado por la presencia en la dermis de numerosos folículos pilosos, a veces dilatados y quísticos, y quistes foliculares llenos de láminas de queratina ortoqueratósica. Estas formaciones están rodeadas de un infiltrado inflamatorio, habitualmente linfocitario denso o linfohistiocitario a veces con plasmocitos y eosinófilos, que se encuentra pegado a la vaina epitelial externa de los folículos pilosos y a la pared de los quistes foliculares con exocitosis y, ocasionalmente, formación de hendiduras. El infiltrado celular dérmico puede igualmente alcanzar la epidermis, tomando una disposición en banda. Raramente se encuentran el pigmento melánico y cuerpos de Civatte. La epidermis de superficie puede ser normal, adelgazada o, con más frecuencia, hiperplásica. La capa córnea presenta una hiperqueratosis ortoqueratósica que forma tapones córneos que contienen raramente focos de paraqueratosis. La capa granulosa suele ser frecuentemente hiperplásica así como el cuerpo mucoso. Puede encontrarse una vacuolización de la capa basal1-8.
Desde el punto de vista clínico, el diagnóstico diferencial se plantea con el millium en placa retroauricular, los quistes de retención, el esteatocitoma múltiple, la micosis fungoide folicular y la micosis fungoide con quistes y comedones.
El tratamiento de LPTRF es decepcionante. La aplicación local de corticoides consigue una discreta o franca mejoría1,5. El tratamiento local con vitamina A ácida no ha resultado eficaz3. La corticoterapia general se sigue de una atenuación de las lesiones (prednisona 0,5 mg/kg/día) pero la disminución de la dosis se acompaña de recidiva2,7. La isotretinoína en dosis de 40 mg/día es eficaz aunque se ha observado un rebrote al suspender el fármaco7. Se ha descrito la recidiva de las lesiones después de realizar una exéresis quirúrgica1. La curación espontánea se ha observado en 3 casos tras un período de 8 meses, 3 años y 10 años, respectivamente3,17.
En conclusión, el LPFTR es una entidad muy poco frecuente. Las lesiones no siempre se localizan en la región retroauricular y cuando lo hacen pueden asociarse a placas de liquen plano situadas en otras áreas de piel o mucosas. Podría considerarse el LPFTR como una forma de liquen plano hipertrófico o bien como el desarrollo de un millium en placa sobre lesiones de un liquen plano folicular. El manejo terapéutico es complicado, aunque parece que la tendencia sería hacia una curación espontánea tras varios años de evolución.







