INTRODUCCION
El granuloma piogénico, también llamado angioma capilar lobulillar, es una tumoración vascular benigna de crecimiento rápido que habitualmente aparece sobre un área de traumatismo reciente. Histológicamente está compuesto por capilares proliferantes. Un porcentaje considerable de lesiones recurre tras el curetaje, pero la aparición de granulomas piogénicos eruptivos tras la exéresis de una lesión solitaria previa es rara.
DESCRIPCION DEL CASO
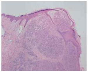
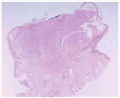
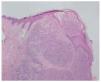
Un niño de 15 años de edad, con el único antecedente de exéresis un año antes de un histiocitoma fibroso benigno localizado en la ceja derecha, consultó por una lesión tumoral exofítica de 5 mm de diámetro, de color rojizo, superficie lisa y friable al tacto, localizada en la zona clavicular izquierda. La lesión había aparecido un mes antes y había crecido de manera progresiva. Se realizó curetaje y electrocoagulación de la lesión. El estudio histológico de la pieza mostró una proliferación lobular de capilares que confirmó el diagnóstico de granuloma piogénico. A los 5 meses notó la aparición de cuatro nuevas lesiones de hasta 7 mm de diámetro, clínicamente similares a la tumoración previa, agrupadas en un área de 3 cm alrededor de la lesión extirpada anteriormente (fig. 1). Se realizó de nuevo curetaje y electrocoagulación de las lesiones sin recidiva en los 2 años posteriores. El estudio anatomopatológico fue idéntico al previo (fig. 2), sin observarse vaso nutricio en la profundidad de la lesión (fig. 3).
Fig. 1.--Lesiones satélite de hasta 7 mm de diámetro alrededor de la lesión extirpada 5 meses antes.
Fig. 2.--El estudio histológico mostró una proliferación lobulillar de capilares. (Hematoxilina-eosina, x40.)
Fig. 3.--Imagen histopatológica a pequeño aumento, donde no se observa la presencia de vaso nutricio en la profundidad de la lesión. (Hematoxilina-eosina, x40)
DISCUSION
El granuloma piogénico es una tumoración vascular benigna de la piel o de las mucosas, que puede aparecer de manera espontánea o tras un traumatismo1. Además de la piel y las mucosas, se han descrito otras localizaciones, como la subcutánea2 o la intravenosa3. Pueden aparecer a cualquier edad, pero son más frecuentes en niños y en mujeres en edad reproductora1,4. En la clínica se presenta como un nódulo rojizo, sésil o pedunculado, de superficie lisa, que sangra con facilidad. Normalmente se trata de una lesión única de 5 a 10 mm de tamaño.
La recurrencia después del tratamiento es común, sobre todo en el tronco y en particular en la región escapular5, pero la aparición de lesiones satélites múltiples alrededor del tumor primario tras su exéresis o irritación, como el caso que se presenta, es rara6-8. Las lesiones satélites suelen desarrollarse en pacientes menores de 25 años de edad, se localizan sobre todo en el tronco y miden entre 1 mm y 1 cm de diámetro9. Se ha descrito la resolución espontánea de dichas lesiones satélite10. Raramente, el hemangioma capilar lobulillar puede manifestarse de forma eruptiva y diseminada11. Estos casos se han asociado a tratamientos con etretinato e isotretinoína12,13, traumatismos14 o quemaduras15.
Microscópicamente se observan cúmulos bien delimitados de capilares proliferantes de patrón lobular dentro de una estroma edematosa relativamente rica en mucina1. En la parte superficial puede observarse edema, dilataciones capilares, inflamación y tejido de granulación. En algunos de los casos recidivantes se ha descrito la presencia de un vaso nutricio en la profundidad de la lesión que podría explicar la tendencia a la recurrencia16. Además, en la parte central del nódulo se han descrito áreas de proliferación vascular en forma de anastomosis de vasos dilatados y un incremento de células endoteliales, que semejan un angioendotelioma16. Estos hallazgos no se observaron en nuestro paciente.
La etiopatogenia de los granulomas piogénicos es desconocida, aunque el traumatismo es probablemente un factor desencadenante importante. La recidiva de la lesión con múltiples lesiones satélite suele ocurrir después del tratamiento quirúrgico de la lesión primaria. Se ha sugerido que la disrupción del sistema vascular tras la exéresis, podría conducir al desarrollo de los angiomas satélite. Es interesante destacar que mientras las lesiones satélite múltiples suelen aparecer en el tronco, las lesiones únicas de granuloma piogénico son más frecuentes en la cara y el cuero cabelludo. Se ha sugerido que esta diferencia en las localizaciones se debería a que en el tronco, la piel es relativamente pobre en anastomosis capilares, de modo que la destrucción de un solo vaso arterial podría conducir a la formación de angiomas satélites eruptivos en el área anexa a la lesión primaria del tronco17. Otra teoría sobre la patogenia de los angiomas satélites sería la liberación de una sustancia angiogénica por parte del tumor primario18. Es probable que sea la combinación de varios factores la responsable del fenómeno de aparición de múltiples granulomas piogénicos.
El tratamiento de las lesiones satélites puede realizarse mediante escisión quirúrgica, crioterapia o diatermia8,19,20, aunque en algunos casos las lesiones involucionan espontáneamente en 6 a 12 meses.





