HISTORIA CLINICA
Un varón de 13 años, sin antecedentes personales ni familiares de interés, con un desarrollo ponderoestatural dentro de los límites de la normalidad fue remitido al servicio de Dermatología para evaluación de diversas lesiones quísticas escrotales, asintomáticas, con distribución lineal, presentes desde los primeros años de vida.
EXPLORACION FISICA
La exploración física evidenciaba diversas lesiones quísticas, bien delimitadas, de tamaño variable (entre 3 y 15 mm de diámetro), de coloración blanco-amarillenta y de consistencia blanda, distribuidas linealmente siguiendo el rafe medio perineoescrotal (fig. 1).
Fig. 1.--Lesiones quísticas bien delimitadas de coloración blanco-amarillenta.
El resto de la exploración física no reveló la existencia de ninguna otra lesión cutánea de características similares en otras localizaciones.
EXPLORACIONES COMPLEMENTARIAS
Se realizó una ecografía testicular que evidenció unos testes, epidídimos, plexos pampiniformes, túnicas y bolsa escrotal de características normales. No se evidenció conexión entre las lesiones cutáneas y estructuras profundas. Se practicó la exéresis quirúrgica completa de dichas lesiones (figs. 2 y 3).
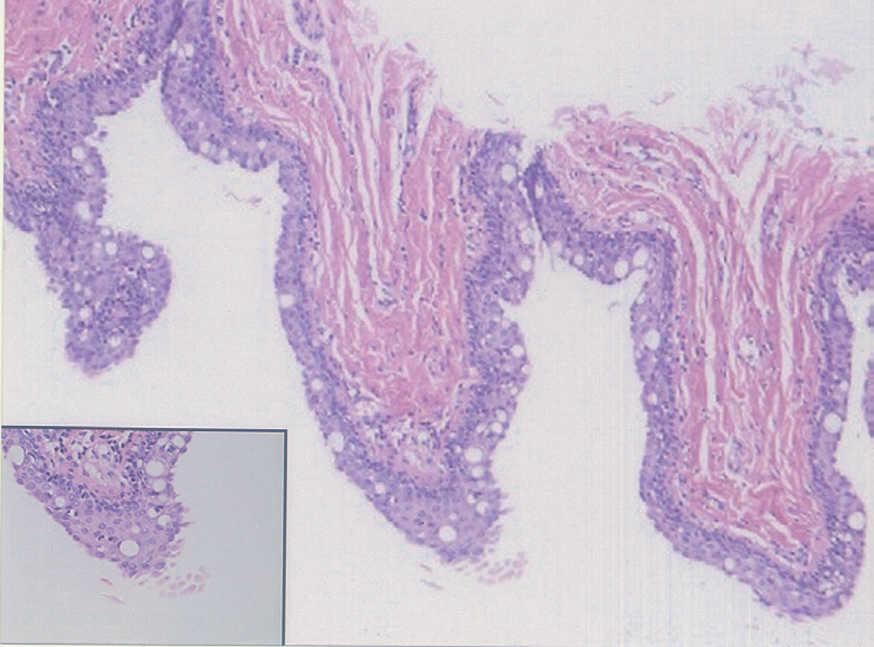
Fig. 2.--Alternancia de epitelio escamoso estratificado con queratinización infundibular, mucoso no queratinizante y glandular. (Hematoxilina-eosina, x100.)
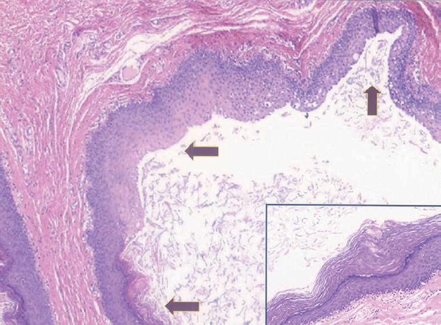
Fig. 3.--Área de diferenciación glandular con zonas de secreción por decapitación. (Hematoxilina-eosina, x200.)
DIAGNOSTICO
Quiste híbrido del rafe medio perineoescrotal.
HISTOPATOLOGIA
El estudio histopatológico de una de las lesiones evidenció la presencia de una cavidad quística unilocular, localizada en la dermis profunda, sin conexión epidérmica. El epitelio de revestimiento de la cavidad estaba formado por una doble capa celular. Presentaba en algunas zonas distintos patrones de diferenciación, que se observaban en continuidad unos de otros (figs. 2 y 3).
La lesión quística se hallaba revestida por un epitelio escamoso estratificado con queratinización infundibular y, ocasionalmente, por un epitelio seudoestratificado de aspecto glandular, formado por células cilíndricas de citoplasma claro, proteínas amiloides séricas positivas, con imágenes ocasionales sugestivas de secreción por decapitación.
Ocasionalmente se podía observar la presencia de un epitelio escamoso sin queratina ni capa granulosa, sugestivo de erosión mecánica (cercano a zonas de laceración), con presencia de reacción gigantocelular a cuerpo extraño.
El estudio inmunohistoquímico reveló que en las áreas de diferenciación glandular las células del epitelio de revestimiento expresaban el antígeno epitelial de membrana (EMA), así como queratinas de bajo peso molecular (CAM 5,2), queratina 7 (K7) y el antígeno carcinoembrionario (CEA), y eran negativas para queratina 20 (K20). El epitelio escamoso era débilmente positivo para K7, y negativo para EMA, CAM 5,2, CEA y K20.
EVOLUCION
A los 2 años de la extirpación quirúrgica, el paciente no presentaba ninguna lesión quística escrotal y en controles posteriores no se ha evidenciado recidiva.
COMENTARIO
El concepto de quiste híbrido fue descrito por primera vez por McGravan y Binnington 1 en 1966, como un lesión quística tumoral en la que coexisten hallazgos de un quiste tricolémico y de un quiste infundibular, con una separación neta entre los dos tipos de epitelios. Más tarde Requena y Sánchez 2 perfilaron la definición refiriéndose a quiste híbrido como aquella lesión que combina dos de los tipos de quistes que pueden originarse a partir de la unidad folículo pilosebácea.
La observación de lesiones quísticas en la cara ventral del prepucio o del glande, en el rafe medio, ha recibido según distintos autores las denominaciones de quiste del rafe medio, quistes mucoides del pene, quistes parauretrales, cistadenomas apocrinos o quistes uretroides. La patogenia de estas lesiones ha sido motivo de controversia, aunque la opinión más generalizada es que representarían defectos del desarrollo embrionario de los genitales externos masculinos.
Clínicamente, los quistes del rafe medio del pene son lesiones únicas o múltiples, de tamaño variable (de 2 a 25 mm), de consistencia blanda y fácilmente desplazables. Se sitúan en la cara anterior del glande o prepucio, en el rafe medio del pene. Suelen distribuirse entre el meato uretral externo y el ano, a menudo, en la cara ventral del pene, junto al glande 3. Ocasionalmente, pueden dar lugar a la formación de una estructura alargada denominada canal longitudinal del rafe medio 4. Se hallan presentes desde el nacimiento, o aparecen durante los primeros años de vida, y tienden a persistir indefinidamente (sólo en casos excepcionales se ha observado una regresión espontánea). No suelen ocasionar ninguna sintomatología, a menos que exista una sobreinfección bacteriana, o que su tamaño dificulte una actividad sexual normal. De forma excepcional pueden dar lugar a disuria 5.
Los quistes del rafe medio se localizan en la submucosa del glande, en la dermis profunda o en el tejido celular subcutáneo de la piel prepucial. Suelen estar revestidos de epitelio columnar seudoestratificado, de grosor variable, según el tamaño del quiste (de 1 a 6 células). En ocasiones se han descrito células mucosas intraepiteliales, glándulas tubuloalveolares bien formadas en la pared quística o adyacentes a la misma, y raramente áreas de metaplasia escamosa. Este espectro variable de cambios morfológicos ha originado una cierta controversia con respecto a la interrelación histopatológica de esta entidad.
Se considera que los quistes del rafe medio se originan por una alteración del desarrollo de los genitales externos masculinos. Al final de la sexta semana del desarrollo, al fusionarse el tabique urorrectal con la membrana cloacal, se forma el surco uretral en la superficie ventral del falo. A medida que el falo se alarga, tira de los pliegues urogenitales hacia delante, formando las paredes laterales del surco uretral. Dicho surco se halla revestido por una extensión intradérmica que proviene de la porción cefálica del seno urogenital. Al final del tercer mes, los pliegues urogenitales se fusionan entre sí, a lo largo de la superficie ventral del falo, para formar la uretra peneana. La porción distal de la uretra proviene de una invaginación ectodérmica, que forma un cordón celular denominado placa glandular. Tras formar en su interior un surco, se fusiona con la uretra peneana 6,7.
De este modo, la porción terminal de la uretra es de origen ectodérmico, y está revestida por epitelio escamoso, mientras que la porción proximal, de origen endodérmico, se halla revestida por epitelio columnar seudoestratificado. El rafe medio representa en el período posnatal el estigma del cierre ventral de la uretra peneana.
Para diversos autores representarían restos endodérmicos, que quedarían tras un cierre defectuoso de los pliegues urogenitales con la formación posterior de quistes. Palsin 8 propone el término de quiste uretroide, ya que considera que su origen no reside en un defecto de cierre, sino en un desarrollo intradérmico o ectodérmico excesivo del epitelio columnar uretral tras un cierre normal del rafe. Estas teorías están apoyadas, por un lado, por la observación de Epstein y Kligman 9, que demostraron que fragmentos de epidermis implantados en áreas ectópicas crecen y se engloban a sí mismos, dando lugar a estructuras quísticas, y, por otra parte, por la presencia, en el glande, de quistes revestidos por epitelio escamoso.
Cole y Helwing 10 sugieren que los quistes que muestran glándulas tubuloalveolares o células mucosas intraepiteliales poseerían un origen distinto, derivando de las glándulas periuretrales de Littré, en localización ectópica. Finalmente, otros autores han postulado que los quistes del rafe medio del pene representan cistadenomas apocrinos en localización peneana. Aunque el revestimiento de estos quistes puede ser muy similar al observado en los cistadenomas apocrinos, no existe verdadera evidencia de secreción por decapitación. Excepcionalmente, se han descrito verdaderos cistadenomas originados en glándulas apocrinas ectópicas en el glande, confirmados mediante estudio ultraestructural.
Como se desprende de estas teorías, el origen de los quistes del rafe medio puede ser tanto intradérmico como ectodérmico, esto explica el espectro de patrones histológico observado (epitelio seudoestratificado o columnar, con glándulas mucosas ocasionales, o bien un epitelio escamoso estratificado habitualmente en lesiones próximas al meato uretral). Ocasionalmente se han descrito, así mismo, áreas de diferenciación apocrina 11, un epitelio ciliado 12 o un epitelio escamoso/epidermoide 13. Estos últimos hallazgos se consideran consecuencia de una metaplasia secundaria a procesos irritativos o a una estimulación local 11-14.
El diagnóstico diferencial debe plantearse con cualquier formación quística o tumoral localizada en el pene: esteatocistomas, quistes epidérmicos, quistes dermoides, quistes pilonidales, divertículos uretrales, siringomas, molluscum contagiosum, tumores glómicos, etc. El quiste epidermoide es el quiste cutáneo más frecuente (80-90 %). Histológicamente, se caracteriza por un epitelio poliestratificado de revestimiento, con capa granulosa y queratinización infundibular idéntica al observado en la epidermis normal. El esteatocitoma y el quiste dermoide presentan unas características histopatológicas totalmente distintas a los quistes del rafe medio. Los divertículos uretrales son de carácter congénito, se cree que son consecuencia de la dilatación de las glándulas y conductos de Cowper. Se diagnostican mediante una cistouretrografía de micción, generalmente realizada durante el estudio de una hematuria o infección del tracto urinario. El quiste pilonidal es una formación quística localizada en el pliegue interglúteo y que contiene formaciones pilosas en su interior. Suelen ser asintomáticos y diagnosticarse cuando presentan cambios inflamatorios como consecuencia de la formación de un absceso consecuencia de una infección secundaria.
Sin embargo, sus características clínicas y localización suelen permitir establecer la sospecha diagnóstica del quiste del rafe medio del pene. El estudio histopatológico acostumbra a establecer el diagnóstico definitivo. El tratamiento de elección es la extirpación quirúrgica.
Declaración de conflicto de intereses
Declaramos no tener ningún conflicto de intereses.
Correspondencia:
Mireia Yébenes. Servicio de Dermatología. Hospital del Mar.
P.º Marítimo, 25-29. 08003. Barcelona. España.
myebenes@imas.imim.es
Recibido el 30 de noviembre de 2004.
Aceptado el 7 de diciembre de 2005.





