HISTORIA CLINICA
Varón de 56 años, sin antecedentes personales de interés, que acudió a nuestra consulta refiriendo la aparición progresiva, desde hacía varios años, de pequeñas lesiones cutáneas rojo-violáceas, que no eran pruriginosas ni se modificaban con los cambios de temperatura. Las lesiones eran totalmente asintomáticas y que afectaban a la extremidad superior izquierda, siguiendo una morfología lineal. El paciente no refería ningún otro tipo de síntomas.
EXPLORACION FISICA
Clínicamente se apreciaban múltiples lesiones maculares, de aspecto puntiforme, de pocos milímetros de tamaño y de coloración rojo-violácea con una distribución lineal, que se iniciaban en la raíz de la extremidad superior izquierda y se extendían a lo largo de la misma. No existían lesiones en mucosas, pelo, uñas y dientes (figs. 1 y 2).
Fig. 1.--Máculas rojo-violáceas de distribución lineal en la extremidad superior izquierda.
Fig. 2.--Múltiples máculas rojo-violáceas puntiformes a mayor detalle.
EXPLORACIONES COMPLEMENTARIAS
Se realizó una biopsia cutánea de una lesión en el brazo izquierdo.
HISTOLOGIA
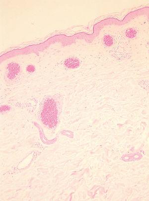
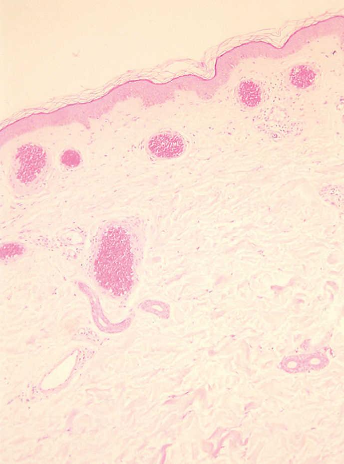
A nivel histológico se observa una epidermis normal junto con una dilatación y proliferación de los capilares en la dermis superficial (fig. 3).
Fig. 3.--Numerosos capilares dilatados y con paredes engrosadas en la dermis superficial.
DIAGNOSTICO
Angioma serpiginoso.
COMENTARIO
El angioma serpiginoso se considera actualmente una neoplasia vascular benigna adquirida 1 por la proliferación de células endoteliales, formación y dilatación de capilares; es una entidad rara que afecta de manera esporádica y en su gran mayoría al sexo femenino durante la primera y segunda décadas de la vida. Clínicamente se caracteriza por la aparición de múltiples lesiones maculares de coloración rojo-violácea, asintomáticas, de un tamaño aproximado al de una cabeza de alfiler 2, que desaparecen a la vitropresión, agrupadas en placas o líneas, con extensión periférica y regresión central 3; localizadas principalmente en las extremidades de forma unilateral, aunque se han descrito casos con afectación bilateral y extensa 4. Las lesiones aumentan durante la infancia, se estabilizan en la edad adulta y muy rara vez regresan parcial o completamente 5.
El estudio anatomopatológico revela la existencia de numerosos capilares dilatados y con las paredes engrosadas en la dermis superficial sin la presencia de inflamación, hemorragia ni hemosiderina 6,7.
No existe ningún tipo de sintomatología asociada, aunque se ha descrito un caso asociado con afectación ocular (aneurismas retinianos) y del sistema nervioso 8.
El diagnóstico diferencial debe realizarse con tres entidades fundamentales:
1. Dermatosis purpúricas pigmentarias, en este grupo de enfermedades existe púrpura, inflamación y pigmentación por depósito de hemosiderina.
2. Telangiectasia nevoide unilateral, entidad en la que se aprecian múltiples telangiectasias localizadas de forma unilateral en los dermatomas cervicodorsales.
3. Angioqueratomas, lesiones congénitas de coloración rojo-violácea con una superficie queratósica, que no desaparecen a la vitropresión y que histológicamente presentan capilares dilatados en dermis y tejido celular subcutáneo y una hiper-paraqueratosis epidérmica.
En cuanto al tratamiento pueden utilizarse la electrocoagulación o el láser de colorante pulsado con buenos resultados cosméticos 9,10.








 
 
		
