INTRODUCCION
El escorbuto es un cuadro clínico caracterizado por debilidad general, anemia, gingivitis y hemorragias cutáneas, resultante de una carencia de ácido ascórbico (vitamina C) en la dieta 1. Fue descrito por primera vez en los papiros de Ebers en el 1500 a.C. 2 y la última gran epidemia se produjo en 1845 en Irlanda a raíz de la devastación de los cultivos de patatas.
CASO CLINICO
Un paciente de 45 años de edad, con antecedentes patológicos de atrofia olivopontocerebelosa (enfermedad de Machado-Joseph) y anemia conocida de 3 años de evolución, fue remitido a nuestro Servicio por la presencia de púrpura folicular y edema en extremidades inferiores de un mes y medio de evolución, con la sospecha clínica de vasculitis. Refería astenia de larga evolución junto con poliartralgias. En las últimas semanas había sufrido varios episodios de gingivorragias.
A la exploración se apreciaba edema con fóvea en extremidades inferiores, que se acompañaba de púrpura perifolicular con queratosis infundibular, y pelos retorcidos «en sacacorchos» (fig. 1). Asimismo presentaba equimosis en el hipogastrio y en la raíz del pene.
Fig. 1.--Imagen clínica de púrpura perifolicular con queratosis infundibular y pelos «en sacacorchos» en extremidades inferiores.
En la anamnesis el paciente reconoció un déficit de vegetales frescos en la dieta.
Como exploraciones complementarias se realizaron una biopsia cutánea y una analítica sanguínea. El estudio anatomopatológico (fig. 2) reveló una hemorragia perifolicular y en la analítica se objetivó una anemia normocítica (hemoglobina 95 g/l y velocidad corpuscular media [VCM] 82 fl). No pudieron determinarse las concentraciones de ácido ascórbico en plasma.
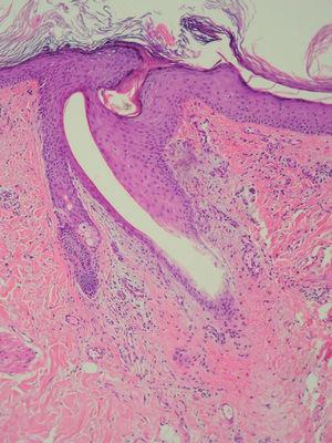
Fig. 2.--Extravasación hemática en la dermis, con focos de infiltrado perivascular de predominio linfomononuclear y pelo enroscado, con adelgazamiento focal del epitelio anexial. (Hematoxilina-eosina, x200.)
Con la sospecha diagnóstica de escorbuto se inició tratamiento con ácido ascórbico oral, 500 mg/12 h, con mejoría significativa del cuadro a partir del tercer día. A las 2 semanas presentaba resolución completa del cuadro por lo que se decidió tratamiento de mantenimiento (500 mg/semana) y consejo dietético.
Tras 9 meses de seguimiento el paciente continúa asintomático y ha adquirido unos hábitos dietéticos más equilibrados.
DISCUSION
A diferencia de la mayoría de animales, que sintetizan ácido ascórbico metabolizando glucosa, los humanos requieren una fuente exógena. Los cítricos constituyen la fuente natural principal de la vitamina C, por lo que la ingestión de naranjas, mandarinas, kiwis y otros vegetales y frutas como fresas y tomates previenen la aparición del escorbuto 1. Los requerimientos diarios de vitamina C recomendados por la Organización Mundial de la Salud (OMS) son de entre 30 y 60 mg, aunque con 10 mg puede evitarse el escorbuto. En caso de que la persona tome anticonceptivos orales o sea fumadora se debe incrementar la ingestión, ya que los requerimientos aumentan. También se recomienda un aumento del aporte durante el embarazo y la lactancia 1,3.
La vitamina C o ácido ascórbico actúa como cofactor de la propil-lisil hidroxilasa, que es de vital importancia para la biosíntesis del colágeno en los distintos tejidos del cuerpo (vasos sanguíneos, huesos, dientes) y en la recuperación y cicatrización de las heridas y de las quemaduras. Asimismo, interviene en la producción de hormonas (corticoides y aldosterona) y en la biosíntesis de carnitina y promueve la absorción del hierro 3,4.
El síntoma más precoz del escorbuto suele ser la fatiga. Las manifestaciones cutáneas más frecuentes son hiperqueratosis folicular, púrpura folicular, equimosis, xerosis, edemas en extremidades inferiores, lenta curación de las heridas y pelos «en sacacorchos». Estos últimos, cuando emergen de folículos hiperqueratósicos, son prácticamente patognomónicos de escorbuto. Las anomalías en las encías incluyen edema, coloración purpúrea y hemorragias. Estas últimas sólo aparecen en pacientes que conservan la dentadura. Las manifestaciones perifoliculares y hemorrágicas del escorbuto se deben al déficit de hidroxilación de los residuos de prolina y lisina que provoca la formación de un polipéptido inestable que no es capaz de formar la triple hélice característica del colágeno. Esto afecta a la estructura de los vasos sanguíneos, con falta de integridad de su lámina basal, media y adventicia y del colágeno que rodea a los vasos. Como consecuencia se produce un edema perivascular, con protrusión de células endoteliales en el lumen del vaso y extravasación de eritrocitos, provocando la púrpura perifolicular 1,4. Los pelos «en sacacorchos» o en cuello de cisne son probablemente secundarios al aumento de los enlaces disulfuro entre las queratinas del pelo 1. La lumbalgia y las artralgias también son frecuentes, y algunas veces se encuentran hemartros. En el estudio analítico puede observarse una moderada anemia. La progresión natural de la enfermedad sin tratamiento es hacia la muerte, que puede acontecer por infecciones o en forma de muerte súbita 1,3,5.
El diagnóstico del escorbuto se basa en la sintomatología, la historia dietética y la rápida resolución con la instauración de suplementos de vitamina C. Los estudios de laboratorio habitualmente no son necesarios. Sólo son útiles para confirmar los casos de presentación atípica. Además, las concentraciones plasmáticas de ácido ascórbico se modifican con la ingesta reciente de vitamina C y pueden ser normales a pesar de existir un déficit. Los niveles en leucocitos sufren una modificación más lenta con lo que pueden ser más representativos de los depósitos reales del organismo 1,4.
El principal diagnóstico diferencial debe establecerse con otras entidades que cursen con púrpura no palpable (tabla 1) 6 o hiperqueratosis folicular (principalmente el déficit de vitamina A).
Existen varias pautas de tratamiento recomendadas. Algunos autores sugieren la administración de 200 mg/día hasta la resolución de los síntomas 3,7; otros autores prefieren utilizar mayores dosis al inicio (1 g/día de vitamina C durante 3-5 días) y continuar con una dosis de 500 mg/día una semana más, consiguiendo una mejoría sintomática rápida 3,8,9.
El escorbuto constituye en la actualidad una rareza clínica, que se observa generalmente en el contexto de desnutrición asociada a alcoholismo o carencias dietéticas, sobre todo en la infancia y la senectud. No obstante, en un ensayo clínico, se ha observado una prevalencia de hipovitaminosis C del 47,3 % en pacientes hospitalizados 10. Los factores de riesgo significativos para el déficit de ácido ascórbico observados en el estudio fueron el sexo masculino, las enfermedades infecciosas y el estar jubilado 10.





