Sr. Director
El término «agminado» deriva de la palabra latina agmen que significa agregación, y no debe aplicarse a otras formas de distribución segmentaria 1.
En la literatura médica se han descrito con el término agminado lesiones hiperpigmentadas como nevo azul, lentigos, nevo de Spitz, nevo spilus, nevo melanocítico adquirido y nevo melanocítico congénito y no hiperpigmentadas como xantogranulomas, angiofibromas y neurilemomas 2.
Un varón de 76 años de edad, con el antecedente personal de úlcera gástrica, consultó por múltiples lesiones hiperpigmentadas localizadas en área lumbar. Las lesiones estaban presentes desde la adolescencia, sin cambios recientes de color, tamaño o textura.
A la exploración se apreciaron más de 100 lesiones hiperpigmentadas, ligeramente elevadas y bien delimitadas, agrupadas en el lado izquierdo de la región lumbar en un área de 17 x 11 cm (fig. 1). Cada una de las lesiones tenía un diámetro de entre 0,2-0,5 cm. La piel que las rodeaba era normal clínicamente como en la exploración con la luz de Wood. El paciente no tenía lesiones névicas en otra parte del cuerpo. El estudio histopatológico de dos de las lesiones fue similar, observándose un adelgazamiento de la epidermis con hiperpigmentación de la capa basal y presencia de nidos de células névicas en la unión dermoepidérmica. En la capa córnea se apreciaban acumulaciones de melanina y en la dermis papilar un infiltrado linfocitario y melanófagos (fig. 2).
Fig. 1.--Múltiples nevos agrupados en la región lumbar.
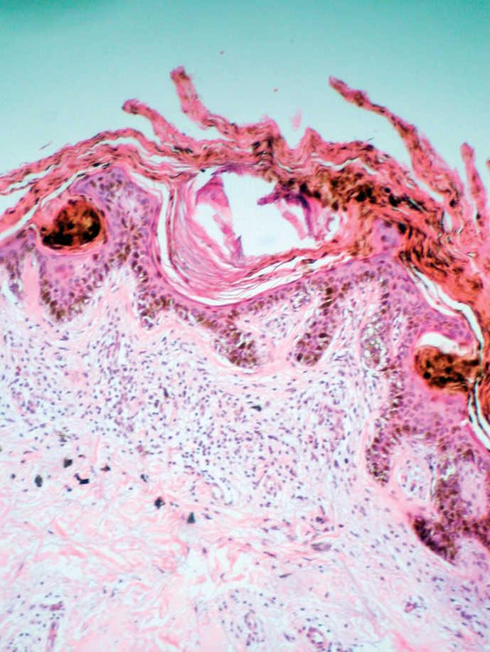
Fig. 2.--Nidos de células névicas en la unión dermoepidérmica, hiperpigmentación de la capa basal y acumulaciones de melanina en la capa córnea. (Hematoxilina-eosina, x20.)
Los nevos agminados son lesiones hiperpigmentadas infrecuentes. La mayoría de los casos descritos en la literatura médica corresponden a nevo de Spitz o nevo azul, y son muy pocos los casos de nevos melanocíticos agminados como el aquí descrito 3-5. Su principal diagnóstico diferencial es el nevo spilus, pero la falta de hiperpigmentación de fondo tanto clínicamente como con la luz de Wood lo descarta 6.
Existen otros casos de nevos melanocíticos adquiridos agminados, la mayoría en individuos con fenotipo del síndrome del nevo displásico 2,6. Esto se explica por el llamado mosaicismo somático o distribución segmentaria tipo 2, que ocurre cuando algunos pacientes con una enfermedad dermatológica sistémica presentan formas más graves de esta enfermedad en un área localizada. Este hecho se ha descrito en pacientes con enfermedades autosómicas dominantes como la neurofibromatosis y en otros con enfermedades poligénicas como la psoriasis 6,7. En nuestro caso no se observaban otros nevos en tronco, pero curiosamente sus dos hijos sí presentaban un síndrome del nevo displásico.




