INTRODUCCIÓN
Bajo el término de neurocristopatía se describen las lesiones secundarias a la alteración en la migración, el crecimiento y la diferenciación de las células de la cresta neural. Desde que Bolande1 propusiera en 1974 por primera vez el concepto de neurocristopatía ha habido un aumento considerable en el número y variedad de enfermedades que se incluyen en ella, debido a la investigación llevada a cabo sobre el desarrollo biológico de la cresta neural. Al contribuir en la formación de varios tipos de células, los trastornos en el desarrollo de la cresta neural pueden afectar a una gran variedad de estructuras como piel, pelo, cara, ojos, sistema nervioso periférico, timo, glándulas paratiroideas y tracto gastrointestinal2 . En una actualización del tema realizada por el mismo autor que las describió3 , se diferencian las neurocristopatías disgenéticas y neoplásicas. En el primer grupo, además de la enfermedad de Hirschsprung y múltiples malformaciones craneofaciales, se incluyen las alteraciones pigmentarias (nevos melanocíticos congénitos, melanosis neurocutánea, pielbaldismo, síndrome de Waardenburg, etc.). Por otro lado, se describen como neurocristopatías neoplásicas tumores como el neuroblastoma, feocromocitoma o el carcinoma medular de tiroides entre otros.
Se describe el caso de una niña con un trastorno pigmentario congénito compatible con una neurocristopatía.
DESCRIPCIÓN DEL CASO
Una niña de 3 años de edad, con antecedentes de embarazo y parto normales, presentaba desde el nacimiento un nevo pigmentario congénito gigante «en calzón». La lesión se extendía por la espalda desde el área subescapular hasta el área subglútea, y por el abdomen desde la línea inframamilar hasta la zona media de ambos muslos. Además de múltiples lesiones pigmentadas satélites, en la parte posterior del tronco se podían observar cinco tumoraciones nodulares. Se trataba de lesiones de consistencia blanda y de tamaño variable, desde 1 hasta 6 cm de diámetro (fig. 1).
Fig. 1.—Tumoraciones de consistencia blanda que se observaron en la cara posterior del tronco afectado por un nevo melanocítico gigante.
Fig. 2.—Banda de cartílago en dermis media. (Hematoxilinaeosina, ×4.)
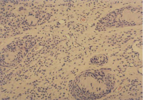
Fig. 3.—Porción profunda del nevo donde se aprecian estructuras con diferenciación neuroide que recuerdan a los corpúsculos de Meissner. (Hematoxilina-eosina, ×100.)
Se realizó un estudio completo que incluía analítica general, radiografía de tórax, ecografía cerebral y abdominal, electrocardiograma, ecocardiograma, fondo de ojo y resonancia magnética (RM) craneoabdominal. No se observaron alteraciones patológicas valorables en ninguna de las pruebas realizadas, salvo un aumento de partes blandas en la RM relacionado con las lesiones tumorales descritas.
Se extirparon las lesiones tumorales, mostrando todas ellas las mismas características histológicas. Se podían observar los rasgos habituales de un nevo melanocítico congénito gigante, consistentes en islotes de células névicas con actividad juntural en la dermis superficial y estructuras con diferenciación neuroide en la dermis profunda, que recordaban a los corpúsculos táctiles de Meissner. Sin embargo, el hallazgo histológico que más llamaba la atención era la existencia de grandes cantidades de tejido cartilaginoso maduro en la dermis (figs. 2 y 3). En ningún momento se encontró tejido inmaduro o de aspecto atípico.
DISCUSIÓN
La cresta neural es una acumulación de células que se sitúan a ambos lados del tubo neural4 . Se divide en cuatro porciones diferentes: cefálica o craneal, vagal, torácica y sacra y cada una de ellas origina una variedad de células. Las células de la cresta neural del tronco originan células de Schwann, células ganglionares, melanocitos y células neuroendocrinas. Sin embargo, la porción cefálica de la cresta neural tiene la capacidad adicional de diferenciarse en tejido mesenquimatoso y dar lugar a tejidos que previamente se consideraban puramente mesodérmicos en su origen, como el músculo, la grasa o el cartílago. De hecho, la porción cefálica de la cresta neural contribuye a la formación de parte del cráneo, huesos de la cara y dientes, además de tejido conjuntivo que forma parte de diversas estructuras de cabeza y cuello5,6 . Esta capacidad adicional de transformación en tejido mesodérmico explicaría la presencia de cartílago en el seno de un nevo congénito gigante.
La presencia de tejido cartilaginoso en el nevo congénito se ha descrito excepcionalmente en la literatura médica. Reed et al7 , en un estudio realizado en 55 pacientes con nevo congénito gigante, documentaron por primera vez la presencia de tejido cartilaginoso en tres de sus pacientes. Uno de los nevos afectaba al cuello y a la espalda y otro era un nevo «en calzón» que se extendía desde el cuello hasta los muslos. La extensión del nevo del tercer caso no se especifica. Wahlström y Saxen8 , en un estudio sobre tumores cutáneos originados de la cresta neural, describen 4 casos de melanoma maligno desarrollado sobre nevo congénito, en cuyos correspondientes estudios histológicos se observó tejido cartilaginoso.
Es conocido el riesgo de malignización de las neurocristopatías. En cuanto a las que afectan a la piel, la neoplasia asociada con más frecuencia es el melanoma y difiere del melanoma común en su origen en la dermis profunda o el tejido subcutáneo sin componente epidérmico, la tendencia a ser multinodular y bien circunscritos y un curso más indolente9 . Pero además de la degeneración melanocítica se ha descrito el desarrollo de otros tumores en el seno de estas lesiones, como rabdomiosarcoma, schwannoma maligno o liposarcoma10,11 .
Toda lesión pigmentada en la piel compuesta por una compleja proliferación de nevomelanocitos, células de Schwann y de células pigmentadas fusiformes se englobarían bajo este tipo de lesiones, que pueden asociar también la presencia de tejido mesenquimatoso. Por último, sería conveniente realizar un seguimiento continuado a estos pacientes debido al riesgo de degeneración maligna que asocian.
Correspondencia:
Olatz Lasa. Servicio de Dermatología. Hospital de Cruces. Pl. de Cruces, s/n. 48903 Baracaldo. Vizcaya. España. olatzlasa@hotmail.com
Recibido el 4 de marzo de 2004. Aceptado el 27 de septiembre de 2004.





