INTRODUCCIÓN
El hemangioendotelioma retiforme (HR) es una neoplasia vascular poco frecuente, descrita inicialmente por Calonje et al1 en 1994 como un angiosarcoma de bajo grado con rasgos morfológicos distintivos que muestra marcada tendencia a la recidiva local y escaso potencial metastásico. Desde entonces se han comunicado algunos casos más2-8, casi siempre en forma de descripción de casos únicos. En total existen 23 casos previamente publicados, 15 de ellos pertenecientes a la serie inicial de Calonje et al1. En el presente artículo describimos dos nuevos casos de HR y realizamos una revisión de la literatura, con especial énfasis en los aspectos morfológicos y de diagnóstico diferencial.
DESCRIPCION DE LOS CASOS
Historia clínica
El caso 1 se trata de una mujer de 82 años con induración subcutánea mal definida de 5 cm en cara dorsal de mano derecha, indolora, de varios meses de evolución y crecimiento lento. La resonancia magnética nuclear (RMN) mostró una tumoración subcutánea infiltrativa, mal definida, de 5 cm en el dorso de la mano derecha (fig. 1A). Se realizó biopsia excisional que comprendía un fragmento de tejido subcutáneo grisáceo, homogéneo y firme de 4 x 3 x 2 cm y una pequeña elipse de piel. Tras el diagnóstico anatomopatológico se ampliaron los márgenes quirúrgicos, y al año de seguimiento no se ha producido recidiva ni metástasis.
Fig. 1.--Resonancia magnética nuclear que muestra en A el caso 1: tumoración subcutánea infiltrativa, mal definida, de 5 cm en el dorso de mano. Y en B el caso 2: lesión plantar de 1,2 cm situada en hipodermis que contacta con fascia subyacente.
El caso 2 se trata de una mujer de 31 años con una placa indurada de 1,5 cm en la planta del pie, de varios años de evolución, que en el último año ha aumentado algo de tamaño y se ha vuelto dolorosa. La RMN mostró una lesión de 1,2 cm, situada en hipodermis que contactaba con la fascia subyacente (fig. 1B). Se realizó biopsia incisional. La paciente está a la espera del tratamiento definitivo.
Hallazgos anatomopatológicos
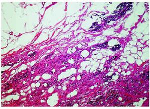
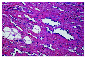
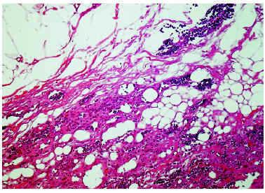
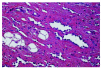
Ambos casos revelaron hallazgos microscópicos totalmente superponibles, consistentes en una proliferación irregular de canales vasculares dispuesta en un patrón infiltrativo que disecaba el tejido conectivo de la dermis profunda e invadía los lobulillos adiposos de la hipodermis (fig. 2). Los vasos, de paredes finas, presentaban una disposición rectilínea y a veces se advertían bifurcaciones que daban lugar a formaciones pseudopapilares intraluminales. Las células que tapizaban los vasos se disponían en monocapas de células monomorfas con núcleos prominentes a modo de tachuelas (fig. 3). Las luces vasculares aparecían vacías, sin hematíes y ocasionalmente contenían abundantes linfocitos. La atipia citológica era escasa y no se observaban estratificación ni figuras de mitosis. En el estroma existían ocasionales focos de linfocitos maduros (fig. 4). Con las técnicas inmunohistoquímicas, en el caso 1 se observó positividad difusa en las células endoteliales de los canales vasculares proliferados para CD31 y de manera focal para el factor VIII. La reacción para el CD34 fue débil e irregular. El índice de proliferación con el anticuerpo Ki-67 fue menor del 1%. En el caso 2 existía mayor tendencia a la formación de papilas y menor infiltrado linfocitario, y la inmunotinción de las células tumorales era más evidente con el CD34 (fig. 5) que con el CD31 y el factor VIII.
Fig. 2.--En A caso 2: situación del tumor en dermis profunda e hipodermis (H & E, 40x). En B caso 1: proliferación irregular de canales vasculares dispuesta en un patrón infiltrativo (H&E, 40x).
Fig. 3.--Caso 2: canales vasculares tapizados por monocapas de células monomorfas con núcleos prominentes a modo de tachuelas (H&E, 400x).
Fig. 4.--Caso 1: agregados linfoides estromales y endoluminales (H&E, 200x).
Fig. 5.--Caso 2: inmunotinción de células endoteliales tumorales para CD34 (inmunoperoxidasa, 200x).
DISCUSION
Actualmente se restringe el término hemangioendotelioma para aquellas neoplasias vasculares con malignidad intermedia, que se caracterizan por una tasa alta de recidivas locales o por mostrar un potencial metastásico bajo, pero bien definido. El término hemangioendotelioma retiforme, acuñado por Calonje et al1, hace referencia a una lesión vascular que crece formando canales rectilíneos y ramificados, semejante a como se disponen los conductos en la rete testis, que muestra marcada tendencia a la recidiva local y bajo potencial metastatizante.
Aunque en algunos artículos se menciona que afecta por igual a ambos sexos1, 7, existe un claro predominio en el sexo femenino: en la serie original1, 9 de 15 pacientes eran mujeres y la mayoría de los casos descritos con posterioridad, incluyendo los dos nuestros, afectan a mujeres2, 3, 5-7. La mayoría de los pacientes se encontraban entre la segunda y cuarta décadas de la vida, aunque el rango de edad es amplio (9 a 82 años). La localización más frecuente son las extremidades, en especial las inferiores, aunque también se ha descrito en el tronco1, 3, 6, y de forma más infrecuente en otras localizaciones. Clínicamente son lesiones de tamaño variable, rara vez mayores de 3 cm9, de crecimiento lento y larga evolución, que se manifiestan en forma de placa o induración mal definida1 y en las que no suele ser evidente la naturaleza vascular del tumor1, 7. El tratamiento de elección es la resección quirúrgica con márgenes amplios6. En tres casos se ha aplicado radioterapia post-operatoria aparentemente con buenos resultados1, 6.
Los rasgos histológicos más distintivos del HR incluyen los siguientes: localización dérmica profunda con extensión hipodérmica, crecimiento difuso infiltrativo pero no destructivo y patrón arquitectural retiforme a expensas de vasos elongados de paredes finas, arborescentes, tapizados por células en tachuelas, cuyas luces carecen de hematíes y de linfa. Las células en tachuela se disponen en monocapas de células monomorfas y pequeñas con atipia citológica leve y ausentes o escasas figuras de mitosis. Con frecuencia, aunque no invariablemente, se pueden encontrar áreas sólidas con células similares a las anteriores en las que el carácter vascular del tumor se hace menos evidente, así como un infiltrado inflamatorio de linfocitos maduros B y T (estromales, intraluminales o en relación con células endoteliales). Otros hallazgos más inconstantes y focales son la presencia de proyecciones papilares intraluminales con ejes hialinizados, un estroma esclerótico, focos de hemorragia y depósito de hemosiderina, presencia ocasional de vacuolas intracitoplásmicas, cambios epidérmicos secundarios y un componente fusocelular prominente1. El estudio inmunohistoquímico es positivo en células tumorales para los marcadores vasculares habituales, generalmente de forma más evidente con el CD34 que con el CD31 o el factor VIII1, 9.
La morfología en tachuela de las células endoteliales no es exclusiva ni específica del HR y puede observarse en otras lesiones vasculares, tales como el hemangioma de células en tachuela (hemangioma hemosiderótico en diana), el tumor de Dabska, el angiosarcoma convencional, el hemangioendotelioma epitelioide y el hemangioendotelioma polimorfo1. El diagnóstico diferencial se plantea fundamentalmente con las tres primeras entidades. En la tabla 1 se resumen los principales rasgos diferenciales.
El tumor de Dabska (angioendotelioma maligno papilar endovascular) fue descrito en 196910 como una neoplasia vascular localmente invasiva y con potencial metastásico escaso, que afectaba preferentemente a niños y que mostraba predilección por la cabeza y el cuello. Probablemente bajo la denominación de tumor de Dabska se ha conformado un grupo heterogéneo de neoplasias vasculares1, 9, 11. En una serie reciente12, más homogénea desde el punto de vista morfológico, se propone un cambio de denominación (angioendotelioma papilar endolinfático) por la peculiar expresión de marcadores endoteliales linfáticos (receptor para el factor de crecimiento celular endotelial vascular tipo 3). Aunque existen ciertas similitudes de comportamiento biológico y en la histología (patrón infiltrativo, citología, infiltrado linfocitario) entre el tumor de Dabska y el HR, existen diferencias que permiten su individualización en la edad de presentación, localización, morfología de los vasos y frecuencia de las papilas intraluminales (tabla 1)1, 4. No obstante, y a pesar de las diferencias, las semejanzas citológicas y biológicas han llevado a algunos autores a sugerir una relación histogenética entre ambas neoplasias1, 4, 7, llegándose a postular, incluso, que el HR representa la contrapartida en el adulto del tumor de Dabska1.
El hemangioma de células en tachuela es una lesión propia de niños y adultos jóvenes que se manifiesta como una pápula superficial en un amplio rango de localizaciones anatómicas1. Al igual que el HR, puede mostrar proyecciones papilares luminales focales y células endoteliales en tachuela1; sin embargo, se trata de una lesión superficial y circunscrita cuyos vasos suelen contener abundantes hematíes1. Por último, el angiosarcoma también presenta un patrón infiltrativo, pero los canales vasculares son más irregulares y con disección de haces de colágeno aislados. Además, incluso en las formas bien diferenciadas, y aunque sólo sea de manera focal, las células endoteliales del angiosarcoma presentan atipia, estratificación y figuras de mitosis13, 14, hechos morfológicos impropios del HR.
El HR es una neoplasia con alta tendencia a la recidiva local, a menos que se realice una extirpación amplia, pero con un bajo potencial metastásico. Hasta la fecha sólo se ha descrito un caso con metástasis en un ganglio linfático regional1. Mentzel5 menciona un caso de posible metástasis en tejidos blandos de la pierna contralateral, aunque no es descartable un fenómeno de multicentricidad tal y como ya ha sido descrito por otros autores3. Hasta la fecha no se han comunicado fallecimientos a causa del HR. La etiología del HR es desconocida, aunque se citan asociaciones con irradiaciones, linfedema crónico e infecciones víricas. En dos pacientes las lesiones se desarrollaron en campos de irradiación previa por neoplasias ginecológicas1, 6 y en uno en una zona de linfedema crónico idiopático1. En los casos que presentamos no existe asociación con estos factores. En otro de los casos se detectaron secuencias del genoma del virus del herpes humano tipo 86.
AGRADECIMIENTOS
Agradecemos a don Juan Pérez Serrano su colaboración en la elaboración de las figuras y a doña Francisca Estévez Bueno su contribución en la preparación de las secciones histológicas.








