INTRODUCCIÓN
El adenoma tubular apocrino (ATA) es un hamartoma con diferenciación apocrina descrito por vez primera en 1972 por Landry y Winkelmann1. Presenta unas controvertidas relaciones con el siringocistoadenoma papilífero (SCAP) y con el adenoma papilar ecrino (APE). El ATA puede ser difícil de diferenciar de un SCAP y en ocasiones ambos tipos de lesiones pueden aparecer en estrecha relación2-5. A menos que se descarte un componente ecrino (para lo cual es necesario recurrir a técnicas inmunohistoquímicas o de ultraestructura), es virtualmente imposible diferenciar un ATA de un APE, por lo que diversos autores han planteado el término de hidradenoma tubulopapilar o adenoma tubular papilar para englobar estos dos procesos6-9.
DESCRIPCION DEL CASO
Se trata de un hombre de 26 años de edad que consultó por una lesión localizada en su axila izquierda, que no producía ningún síntoma salvo la molestia inducida por el roce, de unos 8 meses de evolución. En la exploración dermatológica se observó una tumoración eritematosa, excrecente, blanda, bien delimitada y que asentaba sobre una piel de aspecto normal (fig. 1). La lesión fue extirpada quirúrgicamente y sometida a estudio dermatopatológico. Se observó un tumor bien delimitado, con un collarete epidérmico, compuesto por múltiples estructuras tubulares, algunas de las cuales se encontraban aisladas en el seno del tumor, pero otras estaban en relación con invaginaciones epidérmicas en una zona de la lesión (fig. 2). Los túbulos se encontraban embebidos en un estroma marcadamente fibroso y tenían un diámetro muy variable, llegando a adoptar los más dilatados un aspecto quístico (fig. 3). A mayor detalle se observaba que la pared de los túbulos estaba compuesta al menos por dos capas celulares (la externa de morfología cúbica y la interna columnar); en la luz tubular existían proyecciones papilares intraluminales y secreción por decapitación y el estroma tumoral presentaba un rico infiltrado de linfocitos y células plasmáticas (figs. 4 y 5). Este cuadro clinicopatológico fue diagnosticado como ATA, aunque focalmente las imágenes histopatológicas eran indistinguibles de las de un SCAP.
Fig. 1.--Imagen clínica de la lesión.
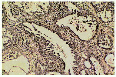
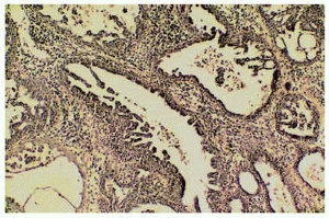
Fig. 2.--Tumor exofítico compuesto por múltiples luces tubulares, algunas de las cuales contactan con invaginaciones epidérmicas remedando un siringocistoadenoma papilífero (H&E x20).
Fig. 3.--Los túbulos estaban rodeados por un estroma denso, lo cual ha inducido a plantear el término de fibroadenoma tubular apocrino para denominar esta entidad (H&E x20).
Fig. 4.--Los túbulos presentaban diámetros muy dispares y los más dilatados recordaban estructuras quísticas (H&E x40).
Fig. 5.--Detalle en el que se aprecian las características de la pared tubular, las proyecciones intraluminares, la secreción por decapitación y el denso infiltrado estromal de células plasmáticas (H&E x100).
DISCUSION
Más de la mitad de los casos de ATA asientan en el cuero cabelludo y la tercera parte están en relación con un nevus organoide5. Histopatológicamente se caracteriza por ser un tumor bien delimitado, localizado en dermis, compuesto por túbulos de diferentes tamaños embebidos en un estroma fibroso. Ocasionalmente esos túbulos aparecen muy dilatados, adoptando un aspecto quístico10. La pared de los úbulos tiene dos o más filas de células: las externas son cúbicas y las internas cilíndricas. Éstas muestran secreción por decapitación. El estroma conjuntivo carece de células plasmáticas (o son muy escasas) y alrededor de los túbulos existe una llamativa condensación del colágeno, por lo que se ha planteado denominar a esta entidad como fibroadenoma tubular apocrino3. La epidermis está intacta o puede presentar una hiperplasia pseudoepitelimatosa, incluso ocasionalmente con zonas que simulan un carcinoma basocelular. El tumor puede estar comunicado con la epidermis por medio de estructuras de aspecto comedoniano. Aunque se trata de un tumor benigno, algunos casos presentan invasión perineural, lo que para algunos autores indica agresividad local y, por tanto, necesidad de realizar una amplia excisión local11. El ATA es histopatológicamente similar al adenoma apocrino perianal, del que sólo se diferencia por la ausencia de unos espacios quísticos típicos de este último12. Los casos con lóbulos poco definidos pueden presentar problemas de diagnóstico diferencial con carcinomas apocrinos o adenocarcinomas metastásicos5, 13.
No obstante, las relaciones más controvertidas del ATA son con el SCAP y el APE. El SCAP se diferencia del ATA en que muestra invaginaciones epidérmicas originadas en la superficie y proliferación de gruesas papilas dérmicas cubiertas por un epitelio apocrino, además de tener un intenso infiltrado de células plasmáticas en el estroma. Sin embargo, hay casos en que estas características no resultan lo suficientemente evidentes como para realizar un claro diagnóstico diferencial entre las dos entidades. De hecho, para Fisher14 el ATA no es más que una variante de SCAP. Además, se han descrito pacientes que presentan en una misma lesión un SCAP y un ATA, casi siempre en el seno de un nevus organoide2-5. Piqué et al10 sugieren que esta asociación puede ser tan sólo el resultado de la conexión del ATA con infundíbulos foliculares preexistentes que simularán focalmente la imagen de un SCAP.
El APE fue descrito por primera vez en 1977 por Rulon y Helwig15 y se cree que representa la contrapartida ecrina del ATA, aunque existe controversia sobre su histogénesis y la relación entre estas dos neoplasias. Esta lesión suele localizarse predominantemente en tronco o miembros y tiene un aspecto histopatológico similar al del ATA, pero sin secreción apocrina6. Para diagnosticar un APE se debe demostrar diferenciación ecrina (mediante histoquímica o microscopia electrónica), lo que a veces no es fácil, pues el mismo tumor puede tener simultáneamente diferenciación ecrina y apocrina6-9. Estos tumores mixtos podrían derivar de las glándulas apocrinas y localizarse preferentemente en las zonas donde ese tipo de glándulas están presentes; es decir, las axilas7, 16 y nevus organoides17. Por todo esto, algunos autores han propuesto el término de hidradenoma tubulopapilar o adenoma tubular papilar para englobar el ATA y el APE6-9.
Debido a estas estrechas relaciones entre ATA, SCAP y APE, Ishiko et al5 sugieren que estas tres entidades no son más que diferentes manifestaciones del espectro de una misma enfermedad, que incluso pueden representarse de una manera gráfica. Este concepto englobador tienen la ventaja de explicar los casos mixtos o dudosos, ofreciendo una visión integradora de los tres procesos.







