INTRODUCCION
El síndrome de Buschke-Ollendorf es una entidad rara, descrita en 1928, que se caracteriza por la asociación de nevos del tejido conjuntivo y osteopoiquilia1. Presentamos el caso de un niño de 6 años de edad que presentaba múltiples nevos elásticos junto con lesiones óseas de osteopoiquilia como características típicas del síndrome.
DESCRIPCION DEL CASO
Un niño de 6 años de edad presentaba desde los 2 años unas lesiones blancas, asintomáticas, localizadas en la cadera izquierda. Con los años habían ido apareciendo nuevas lesiones en tronco, hombros y extremidades inferiores. Los padres no referían antecedentes de enfermedades inflamatorias de la piel en el área afectada y no había recibido tratamientos. Presentaba un desarrollo físico normal para su edad y como único dato de interés refería desde hace un año varios episodios de dolor nocturno en las plantas de los pies de aproximadamente un día de duración que cedía de forma espontánea sin tratamiento.
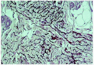
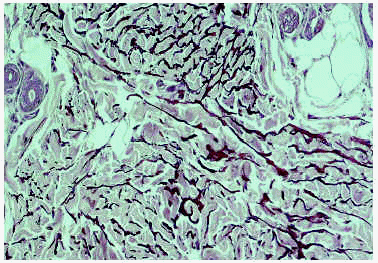
En la exploración física presentaba varias placas de color blanco-amarillento, de varios centímetros de diámetro, localizadas en la cadera izquierda (fig. 1), brazo izquierdo, muslos derecho e izquierdo, tobillo izquierdo y cara posterior de tórax. El resto de la exploración física fue normal, sin observarse datos de inflamación, deformidad, ni limitación de la movilidad articular. El estudio histológico con hematoxilina-eosina de una lesión cutánea no mostró alteraciones histológicas relevantes. En el estudio de fibras elásticas con tinción de orcenía se observó un incremento en el número y en el grosor de las fibras elásticas en la dermis reticular compatible con nevo elástico (fig. 2).
Fig. 1.--Placas de color blanco-amarillento en cadera izquierda.
Fig. 2.--Aumento del grosor de las fibras elásticas en la dermis reticular. (Tinción con orceína, x100.)
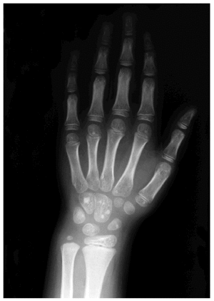
Un estudio radiológico de serie ósea identificó numerosas lesiones esclerosas redondeadas, de bordes bien definidos, localizadas en metatarso, metacarpo, falanges (fig. 3) y epífisis de tibia y peroné, sin afectación cortical, compatibles con lesiones de osteopoiquilia. Los padres del paciente no mostraban alteraciones cutáneas y no se han realizado estudios radiológicos.
Fig. 3.--Lesiones osteoscleróticas en el carpo, metacarpo y falanges.
DISCUSION
El síndrome de Buschke-Ollendorf es una enfermedad hereditaria, autosómica dominante con expresividad variable, cuya incidencia se estima2 en torno a 1/20.000. El síndrome asocia lesiones cutáneas del tipo nevos elásticos diseminados y osteopoiquilia. Existen dos formas de presentación clínica cutánea; bien como múltiples pápulas liquenoides, milimétricas, asintomáticas, distribuidas simétricamente, conocida como «dermatofibrosis lenticularis disseminata», o bien a modo de nódulos, color piel o amarillentos, solitarios o agrupados formando placas3-6, de distribución generalmente asimétrica, en tronco y extremidades. Las lesiones suelen aparecer en las primeras décadas de la vida, aunque pueden estar presentes desde el nacimiento7. Una vez aparecidas tienden a permanecer estables8. Desde el punto de vista histológico se observa una piel prácticamente normal con hematoxilina-eosina, pero con tinciones específicas para las fibras elásticas se observan en la mayoría de los casos unas fibras elásticas alargadas, engrosadas y entrelazadas en dermis reticular9.
Las lesiones de osteopoiquilia son osteoscleróticas que se revelan desde el punto de vista radiológico como unas condensaciones esféricas en epífisis y metáfisis de los huesos largos, pelvis, manos y pies10. Representan una alteración estructural sin limitación funcional y por lo tanto sin repercusión clínica11. La osteopoiquilia se descubre en muchos casos como un hallazgo casual en el examen radiológico tras un traumatismo. Se desarrolla lentamente y no se suele detectar hasta la adolescencia, aunque en algunas ocasiones, como en nuestro caso, las manifestaciones óseas se pueden observar a edad temprana11. Se han descrito otras manifestaciones óseas asociadas como exostosis, encondromas y osteofibromas12. Se han descrito casos en familiares de pacientes con síndrome de Buschke-Ollendorf que presentaban lesiones de osteopoiquilia sin lesiones cutáneas o viceversa7.
La etiopatogenia del síndrome es desconocida. Se cree que existe una alteración en la síntesis o del metabolismo de los principales componentes del tejido conjuntivo. Existe evidencia ultraestructural de que las fibras elásticas y colágenas están alteradas en la piel lesional de los pacientes con síndrome de Buschke-Ollendorf1. Se sabe que los fibroblastos lesionales producen de 2 a 8 veces más de trofoelastina (precursor de la elastina) que los fibroblastos controles y además se ha postulado que puede existir una regulación anormal del metabolismo de la matriz extracelular que conduzca a un incremento en la acumulación de elastina13. Sin embargo, la naturaleza focal de las lesiones sugiere que deben estar implicados más factores. Además, debe existir alguna alteración en genes próximos, aunque no relacionados, que lleve a la asociación entre las lesiones cutáneas y las óseas.
El diagnóstico diferencial se debe establecer con el seudoxantoma elástico, la elastorrexis papular, la papulosis fibroelastolítica del cuello, con el colagenoma cutáneo familiar, la fibromatosis hialina juvenil y la mucinosis papular11.
Aunque se ha descrito su asociación con enfermedades internas como úlcera péptica14, enfermedades del tejido conjuntivo, enfermedad mixta del tejido conjuntivo, artritis reumatoide y lupus eritematoso sistémico13, no existe una evidencia clara de un aumento de la incidencia de estas enfermedades11. En cuanto al tratamiento, dado que son lesiones asintomáticas y en la mayoría de los casos no causan problemas estéticos, se aconseja seguimiento durante la infancia y adolescencia11 e información sobre el modo de transmisión de esta enfermedad.





