INTRODUCCION
La enfermedad de Dowling-Degos o anomalía pigmentada y reticular de las flexuras es una genodermatosis de patrón hereditario autonómico dominante poco frecuente, que se caracteriza por una pigmentación reticular en los grandes pliegues e, histopatológicamente, por la presencia de proliferaciones digitiformes en la epidermis y en la pared de los folículos pilosebáceos.
DESCRIPCION DEL CASO
Una mujer de 60 años de edad presentaba, desde hacía 10 años, lesiones hiperpigmentadas en axilas, ingles y región cervical. La paciente sufría obesidad moderada e hidradenitis supurativa en axilas e ingles. Entre los antecedentes familiares destacaba el hecho de que una de sus hijas tenía una pigmentación reticulada que afectaba a la región axilar, similar a la de su madre, y no existían otros miembros familiares afectados.
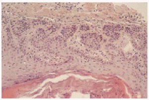
En la exploración se observaba la presencia de máculas hiperpigmentadas que afectaban a toda las zonas de pliegues (fig. 1). Sobre las máculas se observaban lesiones similares a comedones y queratosis seborreicas (fig. 2). Las mucosas, palmas, plantas, cabello y uñas eran normales. En el estudio histopatológico se encontraron proliferaciones digitiformes hiperpigmentadas en las paredes de los folículos pilosebáceos (fig. 3). Con estos datos, se estableció el diagnóstico de enfermedad de Dowling-Degos y se instauró tratamiento con retinoides tópicos que hasta la fecha no han modificado el aspecto clínico de las lesiones.
Fig. 1.--Máculas hiperpigmentadas afectando flexuras.
Fig. 2.--Lesiones simulando comedones sobre las máculas.
Fig. 3.--Proliferaciones digitiformes en las paredes del folículo pilosebáceo (hematoxilina-eosina, x200).
DISCUSION
En 1978, Wilson Jones y Grice1 describen la enfermedad de Dowling-Degos o enfermedad de los puntos negros, basándose en los casos previamente publicados de Dowling y Freudenthal en 19382 y por Degos y Ossipowski en 19543. Desde 1971 a 1990 se habían descrito en la literatura médica inglesa 31 casos de esta enfermedad4, lo cual da idea de lo poco frecuente de su presentación en la práctica clínica diaria.
La enfermedad se caracteriza por la presencia de máculas hiperpigmentadas marrón oscuro, dispuestas en un patrón reticular, en los grandes pliegues (axilas, ingles y región submamaria). El número de lesiones se incrementa con el paso de los años y éstas se oscurecen con la exposición solar, la presión o el roce. Otros elementos que pueden hallarse en estos pacientes son pápulas hiperpigmentadas y depresiones puntiformes periorales, palmares y en el dorso de las falanges. Estos hoyuelos contienen un tapón queratósico y simulan comedones, localizados en axilas, cuello y nalgas5. Se han descrito diferentes asociaciones de la enfermedad de Dowling-Degos con otras entidades, como queratosis seborreicas múltiples6, queratodermia plantar7, psoriasis7, queratoacantomas múltiples8, carcinoma espinocelular4 e hidradenitis supurativa4,8,9, en la que, posiblemente predisponga al desarrollo de la hidradenitis9. Se ha propuesto que la oclusión folicular es importante en la patogenia de la enfermedad. Hasta la fecha no se ha relacionado con afectación sistémica interna10.
En el diagnóstico diferencial de la enfermedad de Dowling-Degos deben incluirse la acantosis nigricans, la acropigmentación reticulada de Kitamura, el síndrome de Naegli-Franceschetti-Jadassohn y la acropigmentación reticulada de Dohi.
La acantosis nigricans se caracteriza por la presencia de lesiones hiperpigmentadas y papilomatosas localizadas en las flexuras; característicamente, en la enfermedad de Dowling-Degos las lesiones pigmentadas nunca originan placas verrucosas como sucede en la acantosis nigricans.
La acropigmentación reticulada de Kitamura (acropigmentatio reticularis), fue descrita en 1943 por este autor11 en varones japoneses y, más tarde, en 1976, por Griffiths7 en pacientes de África y Europa, es un proceso autosómico dominante, clínica e histopatológicamente muy similar a la enfermedad de Dowling-Degos. No presenta lesiones hipopigmentadas, pero las máculas hiperpigmentadas son claramente atróficas. También son característicos los hoyuelos palmoplantares. Se han establecido varias diferencias entre la enfermedad de Dowling-Degos y la acropigmentación reticulada de Kitamura. Entre ellas, cabe citar la localización acral de las máculas en la acropigmentación reticulada de Kitamura y la afectación de flexuras en la enfermedad de Dowling-Degos, la leve depresión de las máculas en la acropigmentación y la tendencia a hacerse papulosas en la enfermedad de Dowling-Degos, la presencia de hoyuelos palmares y la atrofia epidérmica en la acropigmentación, así como el inicio tardío de la enfermedad de Dowling-Degos en contraposición con el comienzo en los primeros años de vida de la acropigmentación. Sin embargo, se han descrito casos de pacientes que comparten características clinicopatológicas de estos dos procesos, que han suscitado la posibilidad de que se trate del mismo trastorno con diferentes expresiones fenotípicas12-16. En 1984, Rebora et al17 sugieren que el término de enfermedad de Dowling-Degos debería extenderse a un grupo de genodermatosis autosómicas dominantes caracterizadas por máculas hiperpigmentadas reticulares, lesiones foliculares hiperqueratósicas, cicatrices puntiformes y eritema facial. Histológicamente, todas ellas son similares, con proliferaciones en la epidermis y en la pared folicular. Entre estas genodermatosis estarían la enfermedad de Dowling-Degos, la acropigmentación reticulada de Kitamura y el síndrome de Haber. Este último asocia eritema y telangiectasias de comienzo temprano, lesiones hiperpigmentadas similares a queratosis seborreicas en áreas cubiertas y cicatrices puntiformes faciales.
El síndrome de Naegeli Franceschetti-Jadassohn es autosómico dominante y se caracteriza por la pigmentación reticulada marrón oscura del tronco y las extremidades, junto a hiperqueratosis palmoplantar, hipohidrosis, intolerancia al calor y defectos dentales18.
La acropigmentación reticulada de Dohi (dyschromatosis symetrica hereditaria) también es una enfermedad autosómica dominante que se presenta durante la primera década de la vida. Consiste en máculas hipo e hiperpigmentadas localizadas en el dorso de manos y pies, levemente deprimidas19.
Dentro del diagnóstico diferencial histológico debe de incluirse la acantosis nigricans, el lentigo senil y las queratosis seborreicas con patrón adenoide. La afectación del infundíbulo del folículo piloso es un hecho característico de la enfermedad de Dowling-Degos que no se ve en la queratosis seborreica adenoide ni en la acantosis nigricans1,20. Por lo tanto, la presencia de proliferaciones digitiformes en la epidermis y en la pared de los folículos pilosebáceos son lo suficientemente característicos, en palabras de Wilson Jones, para sugerir el diagnóstico1.
El tratamiento de esta entidad es decepcionante. Se han ensayado hidroquinona, corticoides tópicos y retinoides tópicos y sistémicos, todos ellos con resultados desalentadores. No obstante, recientemente se han publicado casos con respuestas esperanzadoras mediante el uso de laserterapia o con los nuevos retinoides tópicos como el adapaleno21,22.
Nos parece interesante la presentación de este caso, no sólo por lo poca frecuencia de la enfermedad de Dowling-Degos, descrita en la literatura española en contadas ocasiones10,23, sino por su posible confusión con la acantosis nigricans.





