INTRODUCCION
La amiodarona es un antiarrítmico ampliamente empleado en la práctica clínica, que produce hipotiroidismo entre el 6 y el 13 % de los pacientes tratados, con variaciones según el área geográfica. Las manifestaciones cutáneas que aparecen son las mismas que en el hipotiroidismo de cualquier otra etiología1. El signo cutáneo más característico del déficit de hormonas tiroideas es el mixedema, debido al depósito de mucopolisacáridos ácidos en la dermis. Es una forma de mucinosis que se manifiesta en forma difusa y da a la piel un aspecto céreo2-4.
En el caso que se presenta, la amiodarona indujo un hipotiroidismo que se expresó clínicamente sólo a nivel cutáneo y de forma muy localizada, creando confusión a la hora del diagnóstico.
DESCRIPCION DEL CASO
Un varón de 57 años con antecedente de fibrilación auricular crónica en tratamiento con amiodarona desde hacía 4 años acudió a la consulta de dermatología por presentar, desde hacía un año, una lesión asintomática, edematosa, localizada en el párpado inferior derecho que había tratado con ketoprofeno tópico con períodos de mejoría pero sin remisión completa. En la exploración se apreciaba una zona de piel laxa, de aspecto translúcido y consistencia flácida (fig. 1).
Fig. 1.--Piel laxa edematosa de aspecto translúcido en párpado inferior derecho.
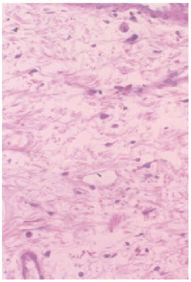
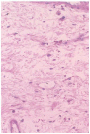
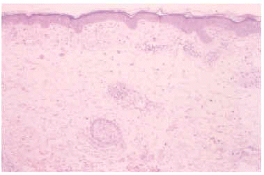
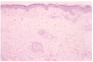
El estudio histológico reveló, en la dermis papilar y reticular, haces de colágeno separados por amplios espacios ocupados por un material basófilo de tipo mucina (ácido hialurónico) (fig. 2); también se observó la mucina a nivel perivascular (fig. 3).
Fig. 2.--Depósito de mucina entre los haces de colágeno tanto en dermis papilar como en dermis reticular (hematoxilina-eosina, x10).
Fig. 3.--Depósitos focales perivasculares de mucina (PAS azul alciano pH 2,5, x20).
El hemograma, coagulación, VSG, bioquímica en sangre y orina, proteinograma, inmunoglobulinas y CPK fueron normales. Las pruebas epicutáneas estándar y con AINE fueron negativas. El estudio oftalmológico y tomografía computarizada (TC) de senos paranasales no mostraron hallazgos patológicos. La TC de órbitas mostró la existencia de un edema palpebral bilateral predominante en el párpado inferior derecho. El análisis de hormonas tiroideas reveló un aumento de hormona tiroestimulante (TSH) (62,4; normal, 0,35 a 5,5) y una disminución de T4 libre (0,5, normal: 0,89 a 1,8), con normalidad de anticuerpos ABTPO y ABTPG.
Se suspendió la amiodarona y se inició tratamiento con tiroxina durante 4 meses, pasados los cuales la lesión había desaparecido y los valores de TSH y T4 libres se habían normalizado, por lo que se confirmó el diagnóstico de mixedema hipotiroideo y su relación con la ingesta de amiodarona.
DISCUSION
La toma de amiodarona supone una sobrecarga de yodo para el tiroides, ya que contiene un 37 % de yodo en su molécula5. El mecanismo fisiológico que tiene el organismo para defenderse ante un consumo excesivo puntual de yodo, es el bloqueo del primer paso de la síntesis hormonal denominado efecto Wolf Chiakoff.
En los individuos normales, si la sobrecarga se prolonga en el tiempo, se produce un mecanismo de escape mediante el bloqueo del transporte transmembrana del yodo y la síntesis hormonal continua. En individuos con antecedentes personales o familiares de disfunción tiroidea, presencia de anticuerpos antitiroideos o dietas ricas en yodo, este mecanismo de escape no se produce y ante una ingesta de yodo prolongada como es el tratamiento con amiodarona, se produce un hipotiroidismo6.
Klatsky et al6, encontraron que el 2,6 % de los pacientes que demandaban una blefaroplastia estética tenían un hipotiroidismo subclínico y la corrección de los valores hormonales fue suficiente en muchos casos para corregir el defecto7.
Ante el presente caso, se debe establecer el diagnóstico diferencial con otras causas de edema palpebral como8: infecciones locales o de vecindad (abscesos, celulitis, sinusitis, orzuelos, chalación o infecciones intraoculares), tumores (de la glándula lagrimal, linfoma, sarcoma de Kaposi, seudotumor orbitario, metástasis), dermatitis de contacto, picaduras de insecto, la blefarochalasia o enfermedad de Fuchs, toxicodermia y sobre todo, con la cutis laxa granulomatosa9, forma de linfoma cutáneo con el que mostraba grandes similitudes clínicas. Todas estas entidades se descartaron mediante una cuidadosa historia clínica y las pertinentes pruebas complementarias.
En nuestro caso, el edema palpebral se produjo debido a la existencia de un hipotiroidismo inducido por amiodarona. El mecanismo patogénico por el cual se produce este edema en los pacientes con déficit de hormonas tiroideas no se ha aclarado totalmente. Los posibles mecanismos que intervienen son retención de agua y sodio intersticial debido al depósito de mucopolisacáridos hidrofílicos por un aumento del número de fibroblastos, disminución de la degradación de ácido hialurónico y un aumento en la síntesis del mismo por parte de los fibroblastos. La razón por la cual este depósito se limita a determinadas zonas cutáneas, como por ejemplo el área pretibial, permanece desconocida. La teoría más aceptada postula que una célula diana a ese nivel, probablemente los fibroblastos, es estimulada a producir gran cantidad de glucosaminoglucanos por anticuerpos dirigidos contra un antígeno tiroideo3,8,10. En el caso presentado, el paciente tenía valores normales de anticuerpos antitiroideos y no tenía antecedentes de traumatismo o cirugía previa que pudieran justificar la localización predominantemente unilateral del trastorno sólo a nivel del párpado inferior derecho.
El interés de este caso reside en que, una forma de presentación tan inusual como es la aparición de un edema palpebral unilateral, hizo posible la detección de un hipotiroidismo inducido por amiodarona tras 4 años de tratamiento. Por otro lado, dentro de los múltiples efectos secundarios de la amiodarona cutáneos, éste es uno poco habitual en la consulta de dermatología.





