INTRODUCCIÓN
El carcinoma de células de Merkel (CCM) en un tumor de histogénesis discutida que se ha asociado a multitud de otras neoplasias. La asociación de CCM y linfoma no Hodgkin (LNH) es un hecho excepcional, existiendo un solo caso publicado. La inmunosu-presión que presentan estos pacientes parece influir poderosamente en el desarrollo de estos tumores. Presentamos dos nuevos casos y revisamos brevemente el diagnóstico diferencial que pueden plantear.
DESCRIPCION DE LOS CASOS
Caso 1
Se trata de una mujer de 61 años de edad con antecedentes de diabetes mellitus tipo 2 en tratamiento con gliclazida y diagnosticada en 1996 de una poliartritis periférica seronegativa controlada con deflazacort, metotrexato y diclofenaco. Desde esta fecha presentaba un cuadro de esplenomegalia y bicitopenia (anemia y leucopenia) asociado a un adelgazamiento y dolor abdominal en vacío izquierdo que a pesar de los estudios realizados no pudo ser encuadrado dentro de una entidad nosológica concreta. A comienzos de 1997 sufrió una neumonía extrahospitalaria, detectándosele un agravamiento de su bicitopenia, observándose en el brazo derecho un tumor que la paciente decía tener «en los últimos meses» y que no se había detectado hasta entonces. La morfología era ovalada con un diámetro aproximado de 2 x 1 cm, de coloración violácea, su consistencia era elástica y no se encontraba adherido a planos profundos (fig. 1). Con estos datos se volvió a reevaluar a la paciente, detectando en un aspirado de médula ósea un LNH de inmunofenotipo B. Sobre la lesión cutánea se realizaron estudios de inmunohistoquímica con positividad para citoqueratinas, neurofilamentos y cromogranina que corroboraron el diagnóstico de CCM.
Fig. 1.--Caso 1. Tumor en brazo derecho que resultó ser un carcinoma de células de Merkel.
Caso 2
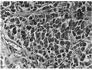
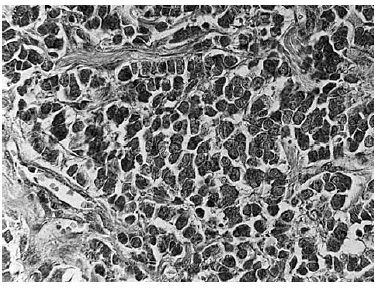
Se trata de un hombre de 87 años de edad con antecedentes de hipertensión arterial en tratamiento con nifedipino, carcinoma espinocelular de frente y adenocarcinoma de próstata, que entre los años 1996 y 1998 presentó cuatro lesiones diagnosticadas como LNH de tipo B en brazo, antebrazo, axila y párpado que fueron tratados quirúrgicamente sin objetivarse datos de recidiva durante su posterior seguimiento. En 1998 presentó en su nalga derecha un tumor redondeado de 3 cm de diámetro de bordes bien definidos y coloración eritematosa. Las tinciones con hematoxilina-eosina mostraban células pequeñas indiferenciadas agrupadas en láminas y trabéculas con frecuentes mitosis y núcleos hipercromáticos (fig. 2). Los estudios inmunohistoquímicos con cromogranina, sinaptofisina y citoqueratinas fueron positivos para CCM.
Fig. 2.--Caso 2. Células del tumor de Merkel.
DISCUSIÓN
El CCM fue descrito por Toker en 19721. Inicialmente denominado carcinoma trabecular ha recibido otros términos como son los de carcinoma de células pequeñas, carcinoma indiferenciado primario de la piel o carcinoma neuroendocrino de la piel2.
Dos hechos muy importantes que hay que resaltar son el diagnóstico diferencial que plantean desde el punto de vista histológico y la asociación con inmunosupresión.
Para establecer el diagnóstico diferencial histológico de estas neoplasias es imprescindible conocer brevemente las características microscópicas de las mismas. Existen abundantes trabajos que recogen ampliamente este tema3-6. Están constituidas por células tumorales pequeñas y uniformes con numerosas mitosis localizadas en dermis. A nivel ultraestructural se observan gránulos neurosecretores citoplasmáticos y filamentos intermedios citoplasmáticos perinucleares. En los estudios de inmunohistoquímica se detecta la presencia, en la mayor parte de los casos, de enolasa neuroespecífica y en menor proporción de filamentos intermedios de citoqueratina, cromogranina y neurofilamentos. La doble positividad en la inmunohistoquímica a marcadores epiteliales (citoqueratinas) y neuroendocrinos (enolasa neuroespecífica, neurofilamentos y cromogranina) establece, junto al aspecto morfológico de las células, el diagnóstico de CCM7. También se sugiere por parte de algunos autores confirmar el diagnóstico con microscopia electrónica siempre y cuando sea posible1, aunque otros opinan que con la realización de estudios inmunohistoquímicos no es necesario8. Dentro de lo que constituye el auténtico diagnóstico diferencial, ante todo hay que recordar que éste puede ser muy variado. A continuación exponemos algunas de las neoplasias que habría que tener en cuenta siempre que barajemos la hipótesis diagnóstica de un CCM. El carcinoma espinocelular presenta nidos de células atípicas conectados con la epidermis; en el melanoma hallamos melanosomas en el interior de las células y se detecta componente juntural. El carcinoma oat cell presenta células pequeñas de núcleo oval y agregados de cromatina; el neuroblastoma presenta células de núcleo pequeño y citoplasma mal definido con microtúbulos y gránulos electrondensos en el interior de las dendritas; el linfoma cutáneo primario de la piel se caracteriza por la presencia de células linfoides de tamaño variable. En este último caso el diagnóstico de este tipo de tumores puede ser muy difícil incluso con el apoyo de estudios de microscopia electrónica. Mediante la inmunohistoquímica las tinciones son negativas para citoqueratinas y positivas para antígenos leucocitarios en los linfomas. La realización de estudios de reacción en cadena de la polimerasa (PCR) ha sido sugerida por algunos autores en casos de linfomas «poco usuales»9.
Otro aspecto a destacar es la asociación de inmunosupresión y CCM. Se ha aceptado que la inmunosupresión favorece el desarrollo del CCM: a) bien en forma de medicamentos administrados por otras enfermedades concomitantes, como puede ser en nuestro caso 1 el uso de metotrexato y prednisona debido a una artritis seronegativa; b) la localización de las lesiones en zonas fotoexpuestas donde incidiría con más intensidad la radiación ultravioleta, como en el brazo de nuestra paciente, o c) la presencia de otras enfermedades de por sí inmunosupresoras como son los cánceres hematológicos tal como sucede en los dos casos presentados. En este sentido probablemente toda la sintomatología que arrastraba desde hacía varios años la paciente del caso 1 (bicitopenia, esplenomegalia, adelgazamiento) era la antesala del linfoma no Hodgkin que posteriormente presentó. Hay que resaltar que todos los estudios realizados fueron repetidamente negativos hasta la aparición de la lesión cutánea de CCM que permitió, al reevaluarse el caso, el diagnóstico de dicho linfoma. La inmunosupresión como factor favorecedor en la aparición de estas neoplasias puede desempeñar un papel muy importante puesto que se ha visto una mayor incidencia de las mismas en pacientes con procesos hematológicos malignos como las leucemias10; además el 30% de los pacientes con CCM tienen antecedentes de otros procesos malignos11.
Nuestros dos pacientes diagnosticados de CCM presentaban previamente un LNH. La asociación de CCM y LNH es un hecho muy poco frecuente. Tan sólo existe un caso publicado en toda la literatura consultada (Medline 1966-2001). Se trataba de un hombre de 58 años de edad al que le fue extirpado en 1996 un CCM en dorso nasal sufriendo desde 1989 un LNH de tipo B por el que recibió varios ciclos de tratamiento quimioterápico y radioterápico12. Por tanto, dado lo excepcional de tal asociación creemos interesante la divulgación de estos dos nuevos casos.




