INTRODUCCION
El Agave americana (pita) es una planta subtropical que posee hojas en forma de sable, con bordes espinosos y distribuidas en roseta. Se utiliza con fines comerciales, medicinales y ornamentales. La savia de la planta posee conocidos agentes irritantes como los cristales de oxalato cálcico, saponinas y otros componentes.
Se han publicado pocos casos de dermatitis irritativa de contacto a Agave americana. El cuadro clínico clásico comienza a los pocos minutos de la exposición a la savia con una sensación intensamente pruriginosa y, posteriormente, formación de pápulas y vesículas. En dos ocasiones se han descrito erupciones purpúricas tras el contacto con la savia, y se han encontrado signos de afectación vascular. Pueden presentarse síntomas sistémicos, como fiebre, cefalea, mialgias y diarrea.
DESCRIPCION DEL CASO
Varón de 53 años que acudió a la consulta por la aparición de lesiones pruriginosas en miembros superiores, inferiores y abdomen, de 5 días de evolución. Refería haber estado cortando una pita (Agave americana) (fig. 1) con una motosierra y gran cantidad de savia de la planta entró en contacto con sus miembros superiores, inferiores y abdomen. El paciente iba vestido con un bañador y la parte superior del cuerpo estaba descubierta. Se aclaró con agua y aparecieron lesiones cutáneas intensamente pruriginosas en las localizaciones expuestas a la savia. En la exploración se observan lesiones papulosas, purpúricas, brillantes, confluentes de forma lineal y en placas en las localizaciones citadas (fig. 2). No tenía antecedentes de interés ni historia de ingesta de fármacos. No presentaba fiebre, malestar general, hematuria ni artralgias.
Fig. 1.--Agave americana, utilizada en nuestro medio con fines ornamentales.
Fig. 2.--Lesiones de púrpura palpable en extremidades inferiores tras la exposición a la savia de Agave americana.
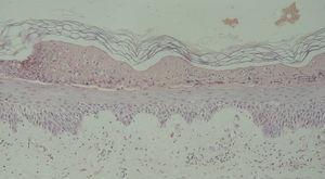
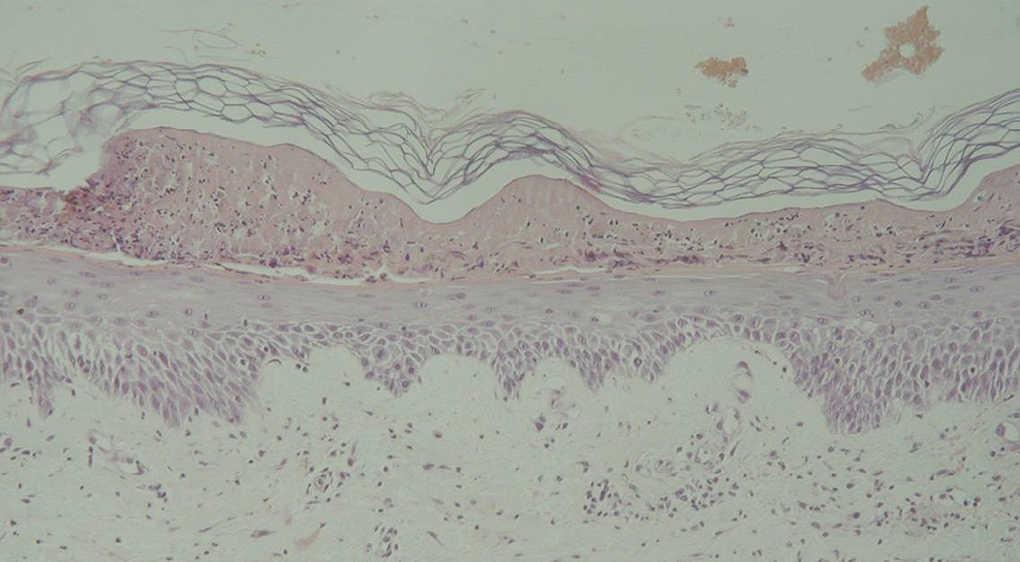
El hemograma, la bioquímica y el estudio de coagulación fueron normales. La biopsia cutánea mostraba una intensa necrosis en la mitad superior de la epidermis, con zonas de espongiosis en la zona inferior. En la dermis se encontraban infiltrados de linfocitos y neutrófilos, así como una moderada extravasación de hematíes (fig. 3). Asimismo, se observaba necrosis de glándulas sudoríparas ecrinas. No se apreciaron signos de vasculitis. Se pautaron corticoides orales, tópicos y antihistamínicos, y se resolvieron las lesiones cutáneas en aproximadamente 7 días.
Fig. 3.--Necrosis epidérmica e infiltrado linfohistiocitario perivascular en dermis. (Hematoxilina-eosina, x80.)
Se realizaron pruebas epicutáneas, que fueron negativas a todos los componentes de la batería estándar del GEIDC y de plantas. Al exponer al paciente a savia de Agave americana presentó eritema y sensación quemante pocos minutos después. A las 20 h aparecieron pápulas y vesículas en la zona de contacto. Se realizaron pruebas epicutáneas con la savia de Agave a diez controles. Seis de ellos presentaron un leve eritema a las 24 h acompañado de una sensación de picor y quemazón. A las 48 y 96 h se normalizaron los signos y los síntomas. En cuatro de los controles no aparecieron alteraciones.
DISCUSION
El Agave americana, también denominada pita, planta centenaria o maguey, es una planta de la familia Agaveceae que crece en áreas del Mediterráneo, México y el sur de Estados Unidos 1. Sus hojas son largas, aplanadas, terminadas en punta y con bordes espinosos. Se distribuyen con un patrón en roseta.
Esta planta se ha empleado para numerosos y variados fines, como fabricar alfombras, cuerdas y lienzos 2. Se han desarrollado insecticidas y se ha empleado para sintetizar un licor muy conocido en México llamado pulque. En la medicina popular ha demostrado propiedades diuréticas, laxantes y antiinflamatorias 1,3. En nuestro medio se observa con frecuencia ligada a su carácter ornamental.
La savia del interior de sus hojas es el componente más irritante 1, ya que contiene cristales en forma de aguja de oxalato cálcico (raphides) 4, aceites volátiles, saponinas, goma de agave y otros componentes 5. Los cristales de oxalato cálcico se encuentran en numerosos bulbos y plantas y representan agentes cutáneos muy irritantes 6. Se ha observado que los cristales presentan una longitud de 200 µm y se cree que los cristales de la misma naturaleza a partir de 180 mm son irritantes para la piel 4.
Son pocos los casos descritos en la literatura científica de dermatitis de contacto producidos por la exposición a la savia de Agave americana. La clínica típica consiste en la aparición de una sensación quemante, con eritema y edema varios minutos después del contacto. Unas horas más tarde se presentan las lesiones características papulovesiculosas, lineales, intensamente pruriginosas en las localizaciones expuestas. Se han descrito síntomas generales, como fiebre, cefalea, diarrea y mialgias 7,8.
En nuestro caso, aparte de las lesiones eritematosas y edematosas iniciales, aparecieron lesiones palpables purpúricas. Anteriormente se han descrito 2 casos con lesiones similares 2,9 a las del caso presentado. Los tres se han producido tras la proyección intensa de la savia en el momento de la poda de la planta con una motosierra. Ricks et al 9 pudieron demostrar una vasculitis leucocitoclástica mediante el estudio histológico, a diferencia de Cherpelis y Fenske, quienes no confirmaron en la anatomía patológica el diagnóstico clínico compatible con una vasculitis 2. Estos últimos formulan la hipótesis de que son los cristales de ácido oxálico los que, al ser absorbidos por la piel, tienen un efecto tóxico y producen afectación vascular, dando lugar a manifestaciones cutáneas y, en ocasiones, sistémicas. Se cree que la aparición de las lesiones purpúricas es un fenómeno 5 dependiente de la dosis, que tendría lugar con exposiciones muy importantes a la savia.
Las pruebas epicutáneas realizadas con la savia de Agave americana presentan eritema y edema asociada a una intensa sensación quemante en escasos minutos. Horas después aparece una reacción eczematosa papulovesiculosa 8,10. Este tipo de reacción aparece tanto en sujetos que han presentado el cuadro clínico como en sujetos sanos. Los hallazgos son compatibles con un cuadro irritativo, y no están implicados mecanismos de hipersensibilidad retardada 6.





