INTRODUCCION
La queratodermia acuagénica es una entidad adquirida poco frecuente, caracterizada por la aparición de unas pápulas y placas translúcidas, con una superficie aterciopelada, en las que se puede apreciar los ductos ecrinos prominentes; se limitan a las palmas y/o plantas y se hacen más prominentes tras la inmersión de estas áreas en agua. Histopatológicamente se caracteriza por la presencia de hiperqueratosis y ductos ecrinos dilatados. Hasta la actualidad se han publicado alrededor de 13 casos de queratodermia acuagénica palmoplantar. La mayoría de los pacientes son mujeres jóvenes, con edades comprendidas entre los 9 y los 33 años. El celecoxib es un agente antiinflamatorio, inhibidor selectivo de la ciclooxigenasa-2 (COX-2), causante de la formación de prostaglandinas. El celecoxib produce un aumento de la absorción renal de sodio y actúa sobre la prostaglandina E2 y la vasculatura renal. La proteína COX-2 también se expresa en los queratinocitos y tiene un papel importante en su diferenciación. Se presenta el caso de una mujer con queratodermia acuagénica inducida por celecoxib y se discute su posible fisiopatología.
DESCRIPCION DEL CASO
Mujer de 31 años de edad con antecedentes personales de hepatitis C, anemia hemolítica y artritis reumatoide grave diagnosticada hacía 2 años y en tratamiento con prednisona, ciclosporina y metotrexato desde hacía 6 meses y celecoxib desde un mes previo a la aparición de los síntomas. Consulta por la aparición de pápulas y placas blancas, aterciopeladas, de aspecto edematoso, discretamente pruriginosas localizadas en las palmas y caras laterales de varios dedos (figs. 1-3). La paciente refería que las lesiones se hacían más evidentes y molestas tras la inmersión de las manos en agua y que había notado un incremento de la sudoración.
Fig. 1.--Palma de la mano donde se observa el aspecto edematoso en empedrado.
Fig. 2.--Aspecto de los dedos.
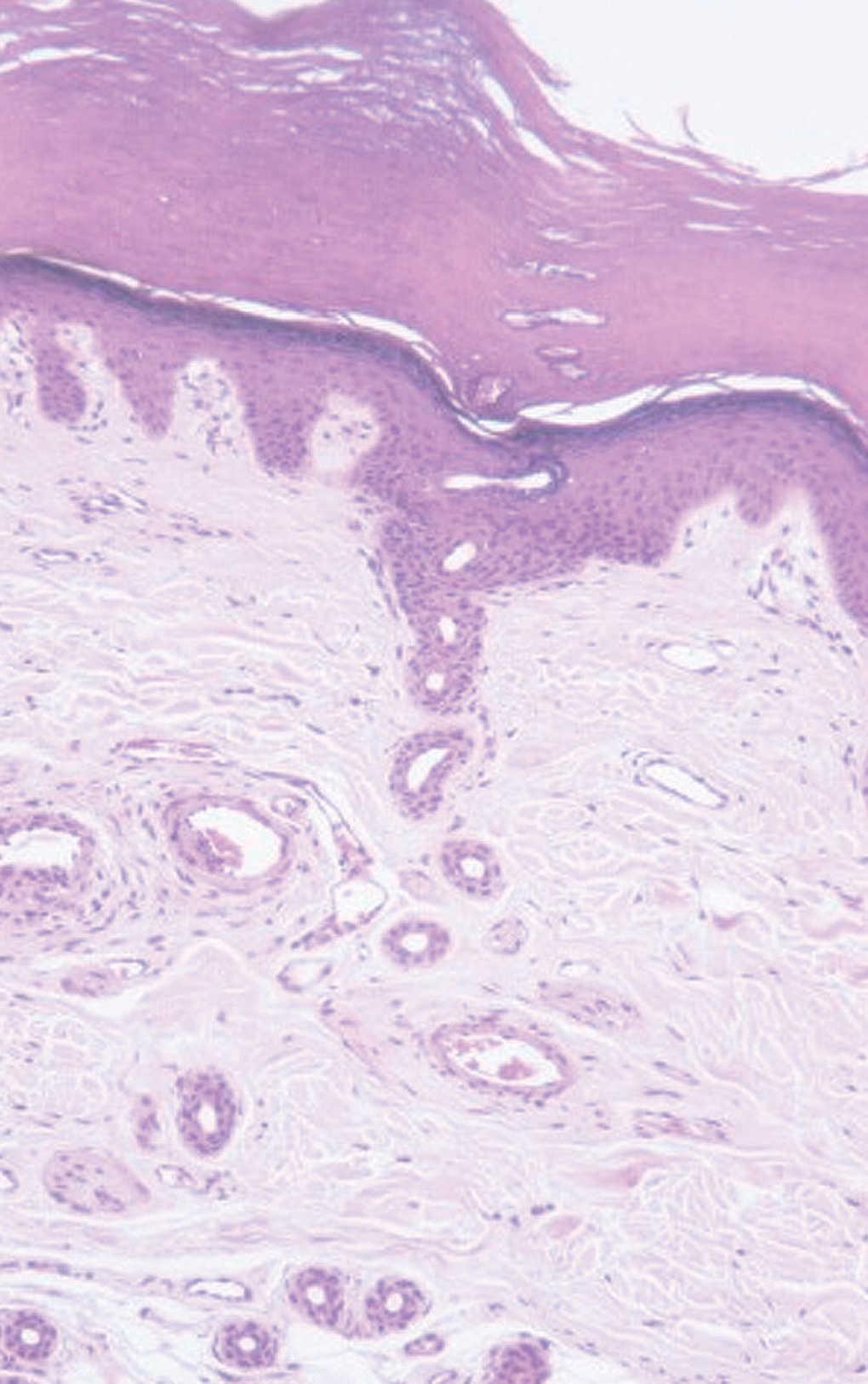
Fig. 3.--Hiperqueratosis, dilatación de los ductos ecrinos.
En la exploración se apreciaban unas palmas sudorosas, engrosadas, con acentuación de las líneas de la superficie cutánea y numerosas pápulas de 1-2 mm de diámetro confluentes, formando placas de aspecto edematoso, aterciopelado, blanquecino. También se apreciaban algunos orificios marcadamente dilatados.
El estudio anatomopatológico reveló una piel acral con ortohiperqueratosis compacta, dilatación de los ductos ecrinos, edema en la periferia ductal y discreta metaplasia serosa focal de los ovillos ecrinos.
Se instauró tratamiento con baños de sulfato de cinc al uno por mil y eritromicina tópica en solución, con lo que se consiguió gran mejoría y buen control del cuadro sin necesidad de suspender el tratamiento con celecoxib.
COMENTARIO
La queratodermia acuagénica es una entidad infrecuente que ha recibido diferentes denominaciones desde que English y McCollough 1 describieron en 1996 el caso de 2 hermanas con una queratodermia adquirida, transitoria y recurrente limitada exclusivamente a las palmas. Clínicamente consistía en pápulas confluentes con puntos dilatados que se hacían más evidentes tras la inmersión en agua y que remitía tras breve tiempo de mantener las manos secas. Ellos acuñaron el término acroqueratodermia papulotranslúcida reactiva. En el año 2000, Lowes et al 2 describieron el caso de una mujer de 20 años de edad, con fibrosis quística, que desarrolló una erupción palmar tras la exposición al agua. Yan et al 3 utilizaron el término queratodermia palmoplantar acuagénica y la denominación acroqueratodermia acuagénica siríngea fue sugerido por MacCormack et al 4 en 2001. Carder y Weston 5 en 2002 comunicaron un caso de arrugamiento de las palmas inducido por rofecoxib con hallazgos clínicos típicos de una queratodermia acuagénica; la paciente tenía una enfermedad mixta del tejido conjuntivo y había comenzado con la clínica tras un mes de tratamiento con rofecoxib, y los síntomas se resolvieron tras 3 meses de suspender la medicación. Hasta la actualidad sólo se han comunicado alrededor de 13 casos, todos ellos, salvo uno (Gallego Valdés MA. Queratodermia acuagénica. A propósito de 3 casos. Póster 203, XXXII Congreso Nacional de Dermatología, Sevilla, 2004), eran mujeres adolescentes o jóvenes. Con frecuencia, como en nuestro caso, los pacientes refieren hiperhidrosis.
La patogénesis de la queratodermia acuagénica permanece poco clara. Se ha sugerido un efecto de barrera patológico en el estrato córneo que permitiría un incremento en la absorción de agua 6, una alteración transitoria estructural o funcional en los elementos de los estratos córneos 7 e incluso alguna alteración del ducto sudoríparo relacionado con la oclusión o fricción 4.
El celecoxib es un inhibidor selectivo de la COX-2 8, que ha sido usado para el tratamiento del dolor agudo y en enfermedades inflamatorias incluyendo la artritis reumatoide y la osteoartritis. Los efectos adversos más frecuentes son diarrea, náuseas, dolor abdominal, cefalea, infecciones del tracto respiratorio alto, exantemas, edema de extremidades inferiores, aumento de peso, fatiga, mareo, hipertensión, sinusitis y síndrome gripal 8.
La COX-2 se conoce también como prostaglandina-H-sintetasa-2 (PGHS-2) y es la enzima causante de la conversión del ácido araquidónico a prostaglandina H2, la precursora de los tromboxanos y las demás prostaglandinas. La enzima COX-2 se expresa en el cerebro, riñón, en los queratinocitos de la epidermis, los queratinocitos de los folículos del pelo y las glándulas sudoríparas 9 pero puede ser inducida en la mayoría de los tejidos por estímulos proinflamatorios con citocinas, factores de crecimiento e irritantes. Además, tanto la COX-2 como la prostaglandina E2 tienen un papel en la proliferación y diferenciación de los queratinocitos 10. Diversos estudios han demostrado la expresión de COX-2 en los podocitos del glomérulo renal y han determinado que el celecoxib produce un incremento en la reabsorción de sodio por el riñón, lo cual puede ocurrir de forma secundaria al efecto de la COX-2 sobre la prostaglandina E2 y la vasculatura renal 11. Al igual que en el riñón, los efectos del celecoxib en la expresión de la COX-2 y la prostaglandina E2 en la piel puede producir retención de sodio en los queratinocitos epidérmicos y puede producir un aumento en la capacidad de retención de agua de los queratinocitos. Johns, en 1975 12, observó que las palmas de muchos niños con fibrosis quística desarrollaban un marcado arrugamiento tras sólo 2 min de inmersión en agua caliente. El autor sugería que los cambios se podían deber al aumento de contenido de sal de la piel debido al incremento de la capacidad de retención de agua de los queratinocitos. Un mecanismo similar podría explicar los cambios cutáneos relacionados con el rofecoxib 13 y celecoxib. Por tanto, al igual que en el riñón, el celecoxib puede producir una retención de sodio en el interior de los queratinocitos epidérmicos y producir un incremento en su capacidad de retención de agua.
Nuestro paciente refería un aumento de la hiperhidrosis tras comenzar la toma de celecoxib y los síntomas y las manifestaciones clínicas de queratodermia acuagénica comenzaron un mes después. Puesto que el celecoxib es un inhibidor selectivo de la COX-2, creemos que el celecoxib ha sido la causa más probable de los cambios cutáneos de nuestra paciente.





