INTRODUCCION
El término dermatomiositis amiopática (o dermatomiositis sine miositis) designa a aquellos pacientes que presentan los hallazgos cutáneos característicos de la dermatomiositis clásica en ausencia de signos de miopatía 1. La dermatomiositis amiopática, al igual que la dermatomiositis clásica, puede asociarse con neoplasias subyacentes 2. Se presenta el caso de una mujer de 59 años, con hallazgos cutáneos típicos de dermatomiositis, ausencia de debilidad muscular proximal y enzimas musculares normales, cuya sintomatología cutánea permitió sospechar una neoplasia oculta y finalmente encontrar una recidiva de su cáncer de mama aparentemente inactivo desde hacía muchos años.
DESCRIPCION DEL CASO
Una mujer de 59 años de edad fue ingresada para estudio de dolor torácico de características pleuríticas de instauración brusca. Durante el ingreso se consultó al Servicio de Dermatología por una erupción cutánea de 2 semanas de evolución. A la exploración física se objetivó un eritema violáceo, no pruriginoso, en cara y escote con edema en párpados, pápulas eritematosas violáceas en dorso de las manos (fig. 1) y codos y alteraciones ungueales, consistentes en eritema y telangiectasias periungueales junto a desflecamiento e hipertrofia de las cutículas (fig. 2). Además, la paciente refería astenia generalizada de varios meses de evolución, aunque la fuerza de la musculatura proximal estaba totalmente conservada.
Fig. 1.--Pápulas eritematosas en manos.
Fig. 2.--Alteraciones ungueales: telangiectasias periungueales e hipertrofia y desflecamiento de las cutículas.
La paciente tenía como antecedentes una diabetes mellitus tipo 2 y un cáncer de mama diagnosticado hacía 13 años, que fue en su día tratado con cirugía, quimioterapia, radioterapia y posteriormente hormonoterapia. Desde el último tratamiento, la paciente se encontraba libre de enfermedad.
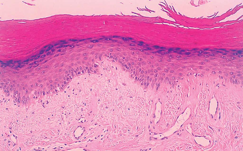
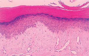
La biopsia de una pápula de los nudillos reveló la existencia de hiperqueratosis y acantosis, junto con edema en dermis superficial, dilatación vascular y abundantes melanófagos. En la capa basal se observaban mínimos focos de vacuolización con queratinocitos necróticos aislados (fig. 3). Las analíticas mostraron unas enzimas musculares (creatincinasa [CK], su enzima miocárdica [CK-MB] y aldolasa) y transaminasa glutamiooxalacética en rangos de normalidad. El estudio de autoinmunidad únicamente fue positivo para los ANA, con valores de 1/1.280 y patrón moteado en HEP-2. Los anti-ADN, anti-Ro, anti-La, anti-RNP, anti-Sm y anti-Jo1 fueron negativos.
Fig. 3.--Hiperqueratosis, acantosis y vacuolización de la membrana basal, con leve infiltrado linfohistocitario perivascular superficial. (Hematoxilina-eosina, x100.)
Una radiografía de tórax mostró la existencia de un patrón micronodular bilateral y un mínimo derrame pleural derecho. En la TC toracicoabdominal se observaron adenopatías de tamaño no significativo en la región hiliar izquierda y subcarinal de 1 cm y una adenopatía axilar menor de 1 cm. La citología del líquido pleural fue negativa para malignidad.
Posteriormente, en el curso de controles ambulatorios se realizaron periódicamente analíticas con determinación de enzimas musculares, que fueron normales. Las lesiones cutáneas fueron tratadas con corticoides tópicos y fotoprotección.
Un mes más tarde la paciente consultó de nuevo por dolor y disnea. Se realizó una nueva radiografía de tórax en la que se apreciaba atelectasia-condensación del lóbulo pulmonar inferior izquierdo. En la TC toracicoabdominal aparecían adenopatías cervicales posteriores, supraclaviculares y axilares bilaterales y una masa en hilio pulmonar izquierdo de 3,3 cm de diámetro. Existía afectación parenquimatosa pulmonar, así como derrame pleural. La broncoscopia reveló una infiltración submucosa en bronquio lobular superior izquierdo. La biopsia demostró infiltración linfática por carcinoma de mama, con receptores de estrógenos y progesterona intensamente positivos y marcador Cerb-B2 positivo en el 50 % de las células.
Confirmada la recaída ganglionar y pulmonar del cáncer, se inició tratamiento quimioterápico paliativo. Los controles analíticos posteriores continuaron mostrando valores de CK, CK-MB, LDH y aldolasa dentro de la normalidad. Desde la primera dosis de quimioterapia las lesiones cutáneas experimentaron una mejoría progresiva, hasta desaparecer sin necesitar tratamiento dermatológico adicional. Seis meses después del diagnóstico se realizó un electromiograma a la paciente, que mostraba un patrón miopático característico. Las determinaciones analíticas no han mostrado alteraciones en las enzimas musculoesqueléticas en el curso del seguimiento.
COMENTARIO
La dermatomiositis amiopática representa entre el 2 y el 18 % de los pacientes con dermatomiositis 1,3-6. Clínica e histopatológicamente, ambas formas de la enfermedad son indistinguibles. Afecta con más frecuencia a adultos, pero también se ha descrito en la infancia. Son quejas comunes de estos pacientes la astenia y la fatiga, el prurito, la fotosensibilidad y las artralgias 5. Por otra parte, los ANA suelen ser positivos en la dermatomiositis amiopática (71 % en algunas series 7), aunque se ha estimado que las lesiones cutáneas preceden a la debilidad muscular en el 56 % de los casos de dermatomiositis clásica, la afectación muscular se evidencia en la mayoría de estos pacientes en el curso de los 3-6 meses que siguen al diagnóstico 4,8, lo que no sucede en la forma amiopática 7.
En 1993, Euwer y Sontheimer 9 publicaron cuatro criterios para el diagnóstico de dermatomiositis amiopática: cambios cutáneos patognomónicos de dermatomiositis, biopsia cutánea con hallazgos compatibles con dermatomiositis, ausencia de evidencia clínica de debilidad motora proximal en 2 años de enfermedad y enzimas musculares esqueléticas en límites normales 2 años después de la aparición de las lesiones cutáneas. El propio Sontheimer años más tarde reconoció el término dermatomiositis hipomiopática 10 ya empleado anteriormente por otros autores 5 como subgrupo dentro de la dermatomiositis amiopática para distinguir aquellos pacientes con lesiones cutáneas de dermatomiositis sin evidencia clínica o de laboratorio de afectación muscular en quienes en el curso de estudios electrofisiológicos, histopatológicos (biopsia muscular) y/o radiológicos 11,12 se detecta existencia de una miositis subclínica. De hecho, aunque estas pruebas permitan demostrar la existencia de alteraciones subclínicas en el músculo esquelético, algunos autores consideran que estos estudios podrían no estar indicados en ausencia de evidencia clínica o de laboratorio de existencia de miopatía 13. En el caso que se presenta la paciente se incluiría en este grupo, al presentar hallazgos cutáneos propios de dermatomiositis confirmados mediante biopsia, ausencia de debilidad muscular proximal y enzimas musculoesqueléticas en límites normales a lo largo de un año de seguimiento junto con un electromiograma patológico.
La dermatomiositis es un fenómeno paraneoplásico en el 15-30 % de los pacientes adultos 14-16. Del mismo modo existen en la literatura médica diversos casos de dermatomiositis amiopática asociados a neoplasias. Se ha descrito la asociación con linfomas 14,17, cáncer de mama 7,13,18,19, colon 1, pulmón 2,18, cérvix 20, endometrio 7, ovario 7,21 y riñón 22. Únicamente hemos encontrado en la bibliografía otro caso de dermatomiositis amiopática asociada a recurrencia de un cáncer de mama, en el cual las lesiones cutáneas precedieron a la detección de la recaída 13. Parece que efectivamente existe una relación entre dermatomiositis amiopática y cáncer, al igual que sucede con la forma clásica 7. Resulta evidente que hasta que se realicen estudios que confirmen la significación estadística de esta asociación, todos los pacientes con este diagnóstico deberían ser explorados para descartar la existencia de una neoplasia subyacente. También se ha descrito así mismo la asociación de la dermatomiositis amiopática con enfermedad pulmonar de mal pronóstico y anti-Jo1 negativos 9,23.
Respecto a la evolución, aunque no existen demasiados estudios al respecto, parece ser que en la mayoría de los pacientes la dermatomiositis amiopática no progresa al síndrome completo 7. Sin embargo, existe una pequeña proporción de casos que progresan a un estado francamente miopático, lo que ha llevado a considerar la posibilidad que existe un espectro entre las formas de dermatomiositis miopática y amiopática 12. En cuanto al tratamiento, es bien conocido que el curso de la dermatomiositis clásica paraneoplásica puede ser paralelo al curso de la enfermedad neoplásica, y puede presentar refractariedad a los tratamientos esteroideos e inmunosupresores 8. Por lo que respecta a la dermatomiositis amiopática, el tratamiento esteroideo intensivo, en general, no está indicado en ausencia de evidencia clínica de miopatía 7. Nuestra paciente no precisó en ningún momento tratamiento sistémico para sus lesiones cutáneas, que se resolvieron tras el inicio del tratamiento quimioterápico.
Queremos destacar la necesidad de descartar la existencia de neoplasias asociadas, especialmente en adultos, e investigar la recurrencia de un tumor o la progresión de la enfermedad maligna en aquellos pacientes con antecedentes de neoplasia que se manifiestan con dermatomiositis amiopática.





