La enfermedad de Fox-Fordyce es una rara dermatosis caracterizada por la presencia de múltiples pápulas foliculares pruriginosas en áreas corporales con riqueza de glándulas apocrinas como axilas, areolas mamarias o región genital. Los hallazgos histopatológicos que definen la enfermedad de Fox-Fordyce son muy variados. Además de los hallazgos descritos como típicos de esta entidad, como la dilatación del infundíbulo y la hiperqueratosis y espongiosis del epitelio infundibular, se pueden observar otros muchos hallazgos histológicos. Presentamos el caso de una mujer de 21 años de edad afectada por esta enfermedad y recalcamos la importancia de la xantomatosis perinfundibular como hallazgo histológico clave en el diagnóstico de esta entidad.
Fox-Fordyce disease is a rare skin condition characterized by the presence of multiple pruritic follicular papules in areas rich in apocrine glands, such as the axillae, mammary areolae, or genital regions. There is a high degree of variability in the histological findings seen in Fox-Fordyce disease. In addition to those described as typical of this entity, such as dilation of the infundibulum and hyperkeratosis and spongiosis of the infundibular epithelium, many other histological changes can be observed. We report the case of a 21-year-old woman with Fox-Fordyce disease and highlight the importance of perifollicular xanthomatosis as a key histological finding in the diagnosis of the disease.
La enfermedad de Fox-Fordyce (EFF) fue descrita por primera vez por los doctores George Henry Fox y John Addison Fordyce en 19021. En 1956, Shelley y Levy propusieron el término de miliaria apocrina para referirse a esta entidad2.
La EFF es una rara dermatosis que afecta en un 90 % de los casos a mujeres de edades comprendidas entre los 13 y 35 años. El cuadro clínico es muy sugestivo y se caracteriza por la presencia de múltiples pápulas foliculares blanco-amarillentas que se distribuyen de manera simétrica en ambas axilas y, en ocasiones, en otras áreas ricas en glándulas sebáceas como la piel periareolar o el área genital. Las lesiones suelen ser pruriginosas y dicha sintomatología empeora durante los meses de verano o en situaciones de estrés emocional3.
Presentamos el caso de una mujer afectada por esta rara enfermedad y discutimos la variedad de datos histológicos encontrados en la literatura. Recalcamos la importancia de la xantomatosis perinfundibular como hallazgo histológico clave en el diagnóstico de esta entidad.
Caso clínicoSe trata de una mujer de 21 años que consultó por la presencia de lesiones cutáneas en ambas axilas de 5 años de evolución. La paciente refería que en el momento de la consulta estas lesiones eran asintomáticas, pero que, de manera constante, en los meses más calurosos del año eran extremadamente pruriginosas. La paciente no tenía antecedentes personales ni familiares de interés y no tomaba de manera habitual ninguna medicación.
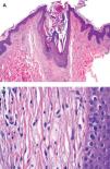
A la exploración física se apreciaba la presencia de pápulas foliculares blanco-amarillentas que se distribuían de manera simétrica en ambas axilas (fig. 1).
El estudio histológico de una de esas pápulas reveló la presencia de una dilatación e hiperqueratosis del infundíbulo folicular junto con la presencia de un infiltrado inflamatorio linfocitario perianexial (fig. 2A). Por otra parte, llamaba la atención la presencia de abundantes macrófagos xantomizados en la dermis que rodeaba el infundíbulo folicular (fig. 2B).
El resto de pruebas complementarias no identificaron alteraciones hormonales o metabólicas reseñables.
Se decidió instaurar tratamiento tópico con pimecrolimus (2 aplicaciones/día). Tras 3 meses de tratamiento continuado no se obtuvo ninguna respuesta por lo que se suspendió. Dado que la paciente rechazó cualquier otra intervención más agresiva, se mantuvo una actitud conservadora y se pautaron antihistamínicos orales en caso de presentar prurito.
DiscusiónLos hallazgos histopatológicos que definen la EFF son muy variados. Sin embargo, a pesar de esta amplia variedad, la presentación clínica siempre es similar. Los hallazgos microscópicos más constantes son la dilatación y la hiperqueratosis del infundíbulo folicular. Existen datos histológicos adicionales que aparecen de manera menos constante como la espongiosis y disqueratosis del epitelio infundibular, la degeneración vacuolar de la unión dermoepidérmica o la presencia de un infiltrado inflamatorio linfocitario perianexial. Aunque de una manera más inconstante, se ha descrito también como característica de la EFF la presencia de paraqueratosis en el epitelio infundibular en forma de laminillas cornoides. En 2004, Kossard y Dwyer publicaron el caso de una paciente con lesiones clínicas indistinguibles de la EFF para la que propusieron el término «xantomatosis perifolicular axilar»4. Estos autores excluyeron el diagnóstico de EFF basándose en: a) la ausencia de prurito importante, b) la localización exclusiva de las lesiones en la axila, c) la ausencia de otros datos histológicos típicos de la EFF y d) la presencia de un llamativo infiltrado de macrófagos xantomizados perinfundibulares. En una excelente revisión posterior, Boer5 consideró la presencia de este infiltrado xantomatoso en la dermis perinfundibular como uno de los hallazgos típicos de la EFF. Adicionalmente, Bormate et al6, tras estudiar los hallazgos histológicos de 6 pacientes con EFF, otorgaron a este criterio histológico una importancia crucial en el diagnóstico de esta entidad. Este hallazgo histológico tiene su correlación clínica, ya que la presencia de estos macrófagos espumosos en la dermis perinfudibular contribuye a la elevación de las lesiones y les otorga esa coloración amarillenta tan característica5. De esta manera, no debemos considerar la «xantomatosis perifolicular axilar» como una entidad aislada, sino como una importante clave diagnóstica dentro del amplio espectro de hallazgos histológicos de la EFF.
Aunque el término miliaria apocrina ha sido ampliamente utilizado en la mayoría de textos científicos, ciertos autores como Ackerman7,8 o Boer5 han criticado su uso al considerarlo inadecuado. En opinión de estos autores, existen suficientes diferencias clínicas e histológicas como para no considerar la EFF como una entidad análoga a la miliaria cristalina con afectación del acrosiringio. En la miliaria ecrina el hallazgo histológico clave es la presencia de una vesícula de retención inmediatamente por debajo del nivel de obstrucción correspondiente a cada subtipo: el estrato córneo para la miliaria cristalina, el estrato espinoso en la miliaria rubra y la unión dermoepidérmica en la miliaria profunda. Sin embargo, la presencia de una dermatitis espongiforme o de una auténtica vesícula de retención en el infundíbulo folicular intraepidérmico no es un hallazgo histológico constante en la EFF. Su ausencia no excluye, por tanto, el diagnóstico ya que el espectro de hallazgos histológicos en esta enfermedad es mucho más amplio.
El mecanismo fisiopatológico exacto es desconocido. La teoría más aceptada actualmente propone que la causa subyacente de la enfermedad es la obstrucción mecánica producida por la formación de un tapón hiperqueratósico en la porción del infundíbulo folicular cercana a la salida del conducto apocrino2,3,9,10. Se ha postulado que esta obstrucción determinaría la retención y posterior extravasación de un material rico en lípidos al infundíbulo folicular intraepidérmico y a la dermis perinfundibular. Este material apocrino sería fagocitado posteriormente por macrófagos, los cuales adquirirían esa apariencia xantomatosa tan característica5. Sin embargo, no parece adecuado considerar la EFF como tan sólo un problema mecánico. Se ha sugerido que determinados factores hormonales influyen en su aparición debido, por una parte, a que existen casos de remisión total o parcial durante el embarazo, la menopausia o tras la administración de anticonceptivos hormonales11 y, por otra parte, a que es excepcional que aparezca durante la edad prepuberal. Sin embargo, no se ha podido demostrar ninguna alteración hormonal en los pacientes afectados por la EFF12,13 o en aquellos que, de manera excepcional, presentan la enfermedad durante la edad prepuberal14. Por último, la existencia de casos familiares apoyaría la teoría de una predisposición genética subyacente15.
En general, el tratamiento de la EFF es poco satisfactorio. Debido a la escasez de casos no existen estudios controlados y la mayoría de las recomendaciones se extraen de casos aislados o series pequeñas. Entre las modalidades terapéuticas utilizadas se encuentran los corticoides tópicos e intralesionales16, los retinoides tópicos o sistémicos17,18, antibióticos tópicos como la clindamicina19 o los anticonceptivos orales11. Recientemente, Pock et al20 han comunicado su experiencia personal con 3 pacientes con EFF a los que trataron con pimecrolimus tópico obteniéndose respuestas excelentes en todos ellos en un período relativamente corto de tiempo. Estos autores proponen que este fármaco actuaría como antiinflamatorio sobre el infiltrado linfocitario perianexial típico de la EFF. Por otra parte, Chae et al21 han recomendado la realización de una técnica modificada de liposucción para aquellos casos más recalcitrantes.
Conflicto de intereses
Declaramos no tener ningún conflicto de intereses.




