El xantoma verruciforme es una tumoración benigna infrecuente descrita por primera vez por Shafer en 19711 que asienta principalmente en la mucosa oral.
Un niño de 11 años fue remitido a nuestra consulta para valoración de una lesión en la lengua de unas 6 semanas de evolución que le producía ligero dolor al roce. Había sido diagnosticado de leucemia aguda mieloblástica hacía 4 años, por lo que había recibido 2 trasplantes alogénicos de médula ósea, el primero 3 meses tras el diagnóstico y el segundo 3 años después. En el momento de nuestra valoración se encontraba en remisión completa, con quimera completa del trasplante, y nunca había presentado signos de enfermedad de injerto contra huésped (EICH). No recibía tratamiento inmunosupresor desde hacía 7 meses.
A la exploración física se observaba una tumoración sobreelevada, sésil, de superficie verrucosa blanquecina no ulcerada, ovalada, de unos 2cm de diámetro mayor, localizada en la cara lateral izquierda de la lengua (fig. 1).
Durante el seguimiento de su enfermedad hematológica se había detectado una reactivación reciente asintomática del virus de Epstein-Barr (VEB), objetivada por elevación de la carga viral que se determinaba de forma seriada rutinaria, 2 meses antes de la aparición de la lesión.
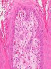
Se realizó una biopsia que mostraba acantosis verrucosa con hiperqueratosis y placas aisladas de paraqueratosis, observándose en las papilas dérmicas numerosos histiocitos xantomizados (figs. 2 y 3). La lesión se diagnósticó de xantoma verruciforme.
La tumoración fue extirpada completamente y por el momento no se han observado signos de recidiva durante los siguientes 2 meses de seguimiento.
El xantoma verruciforme clínicamente suele ser una lesión asintomática, de crecimiento lento, coloración amarillenta, rojiza o grisácea, de superficie rugosa, de aspecto granular o papilomatoso, con base sésil o pediculada y tamaño de hasta 2cm2,3. La localización más frecuente es la mucosa oral2, aunque también puede aparecer en los genitales4,5 y más raramente en otros lugares de la piel. En la mucosa oral alrededor del 70% se encuentran en la mucosa masticatoria, y en orden de frecuencia le siguen el paladar duro y la lengua, como en el caso que presentamos3. Se han descrito también casos aislados de afectación mucocutánea multifocal6.
En cuanto a su epidemiología puede aparecer a cualquier edad, siendo ligeramente más prevalente en la edad media de la vida (40-60 años)2. Por debajo de los 50 años su frecuencia es discretamente superior en varones, y por encima de los 50 años mínimamente superior en mujeres, aunque globalmente afecta prácticamente por igual a los 2 sexos3.
El diagnóstico diferencial clínico debe establecerse con el condiloma acuminado, las verrugas vulgares y el carcinoma epidermoide (incluido el verrucoso)2. En nuestro caso nos planteamos la posibilidad de que la lesión se tratase de un linfoma, dado que el paciente había presentado una reactivación reciente para el VEB7.
Al examen histológico se observa un epitelio escamoso hiperqueratósico con paraqueratosis focal y sin atipia celular, con elongación de las crestas epiteliales y células espumosas entre ellas2,6. Estas células presentan un citoplasma granular, con el núcleo normalmente excéntrico2. Con inmunohistoquímica estas células son intensamente positivas para CD-68 y negativas para S-1002,3. Se han descrito 3 patrones histopatológicos: verrucoso, papilar y plano, siendo el patrón verrucoso el más frecuente3.
El diagnóstico diferencial anatomopatológico incluye la verruga vulgar, el liquen simple crónico y el xantoma eruptivo8. No se ha descrito previamente ningún caso de asociación de esta tumoración con la infección por VEB. En cambio, se han comunicado casos de aparición de esta lesión sobre lesiones mucocutáneas previas como liquen plano oral o EICH de mucosas3. Nuestro paciente no había presentado afectación mucosa por EICH ni otras lesiones previas en la mucosa oral.
La etiopatogenia del xantoma verruciforme es aún desconocida. Se ha postulado que se trate de una reacción inflamatoria secundaria al traumatismo repetido, puesto que aparece principalmente en zonas sometidas al roce9, o que la acumulación de células espumosas en la dermis sea el desencadenante primario, aunque en la mayoría de los casos no se ha encontrado una asociación con trastornos del metabolismo lipídico6. El papel patogénico del papilomavirus no se ha demostrado9. Planteamos que la reactivación del VEB en nuestro paciente pudiera tener relación con la aparición de la lesión, dada su conocida asociación con la inducción de otras lesiones en la mucosa oral, como la leucoplasia oral vellosa, en pacientes inmunodeprimidos7. La relación patogénica entre el VEB y el xantoma verruciforme no ha sido previamente descrita, por lo que pudiera tratarse de un hallazgo incidental en nuestro caso.
El tratamiento de elección es la extirpación quirúrgica de la lesión, siendo la recurrencia extremadamente rara3.
En conclusión, presentamos el caso de un paciente que presentaba una tumoración lingual con clínica e histopatología típicas de xantoma verruciforme. Había presentado una reactivación reciente para VEB, asociación no previamente descrita en la literatura, por lo que puede tratarse de un hallazgo casual.





