HISTORIA CLINICA
Una mujer de 78 años fue remitida de forma urgente a nuestro servicio en julio de 2003 para valoración de una lesión tumoral en el cuero cabelludo de 7 meses de evolución. Los familiares referían que la lesión se había iniciado en enero de 2003 como un nódulo de 2-3 cm que había sido tratado ambulatoriamente como un «absceso», con drenaje y antibióticos. Entre los antecedentes personales destacaba un accidente cerebrovascular isquémico izquierdo en 1995 secundario a la presencia de un quiste aracnoideo gigante del III ventrículo. Como consecuencia presentaba una hemiplejía derecha residual.
EXPLORACION FISICA
A la exploración, se trataba de una tumoración dolorosa de aproximadamente 20 cm que abarcaba ambos parietales, infiltrada, con áreas nodulares y centro exofítico necrótico (fig. 1). Durante la consulta, la paciente presentó un deterioro súbito de su estado general con disnea y pérdida del nivel de conciencia. Fue diagnosticada de shock séptico e ingresada en el servicio de medicina interna.
Fig. 1.--Tumoración infiltrada multinodular con área necrótica central en el cuero cabelludo.
EXPLORACIONES COMPLEMENTARIAS
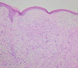
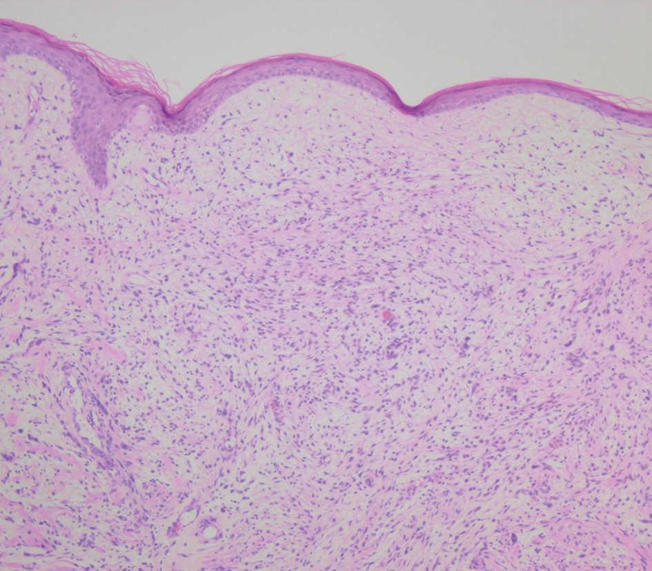
Aportaban una RM realizada en febrero de 2003 en la que ya se apreciaba una tumoración de varios centímetros en cuero cabelludo que afectaba a la piel y el tejido celular subcutáneo. Una vez estabilizada hemodinámicamente, se realizó una biopsia incisional de la tumoración (figs. 2 y 3).
Fig. 2.--Neoplasia que infiltra de forma difusa la dermis y el tejido celular subcutáneo.
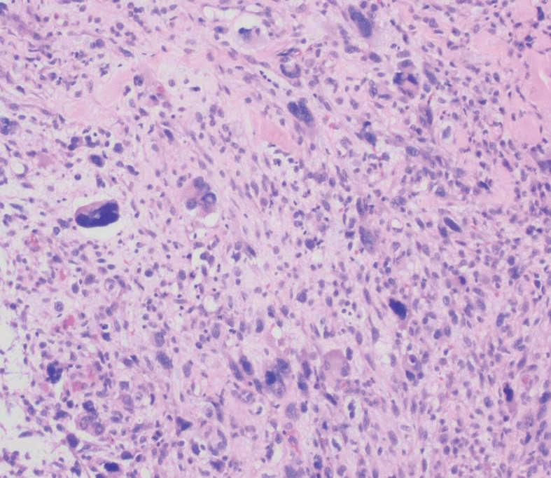
Fig. 3.--La neoplasia está constituida por células con núcleos pleomórficos, abigarrados. Destaca la presencia de células gigantes multinucleadas.
DIAGNOSTICO
Sarcoma pleomórfico de partes blandas (histiocitoma fibroso maligno pleomórfico).
HISTOPATOLOGIA
En el examen histológico se observó una neoformación celular de crecimiento difuso que abarcaba profundamente toda la dermis y el tejido celular subcutáneo, con efecto compresivo sobre la epidermis, que se encontraba adelgazada. Las células tumorales eran de aspecto pleomórfico, abigarrado, se acompañaban de algunas células gigantes multinucleadas y estaban dispuestas de forma desordenada. También infiltraban paredes vasculares y tractos nerviosos. Las células neoplásicas fueron S100 y vimentina positivas. El antígeno Ki-67 fue expresado en el 40 % de las células del tumor. El resto de técnicas inmunohistoquímicas realizadas fueron negativas, incluyendo HMB-45, citoqueratinas, actina, desmina, factor VIII, antígeno leucocitario común y enolasa neuronal específica.
EVOLUCION
La exploración física completa de la paciente no reveló otras lesiones cutáneas ni la presencia de adenopatías. En la TC toracicoabdominal se hallaron múltiples nódulos pulmonares bilaterales indicativos de metástasis. En la RM craneal la tumoración infiltraba el hueso de la calota y afectaba la cubierta meníngea.
Dada la situación clínica de la paciente y las características del tumor se decidió mantener un tratamiento paliativo. La paciente falleció 2 meses después.
COMENTARIO
Los sarcomas son tumores relativamente infrecuentes. Representan alrededor del 1 % de todas las neoplasias malignas. Más del 80 % de los sarcomas se originan en partes blandas, mientras que el 20 % son de origen óseo. El histiocitoma fibroso maligno es el sarcoma de partes blandas más frecuente del adulto 1. Habitualmente se localiza en las extremidades, sobre todo en las inferiores. La segunda localización por orden de frecuencia es el retroperitoneo, aunque también se ha descrito en las partes blandas de las extremidades superiores, cuello y de forma excepcional en el cuero cabelludo 2-4. El tumor se origina típicamente a partir de la fascia o del músculo esquelético, aunque en ocasiones puede hacerlo más superficialmente.
Clínicamente se presenta como un tumor multinodular de crecimiento rápido, con áreas de necrosis y hemorragia, que puede alcanzar gran tamaño. Puede asociar un síndrome constitucional, especialmente en los de localización abdominal. A veces, la fiebre y la leucocitosis con neutrofilia y eosinofilia acompañan el cuadro clínico 5. Puede asociar crisis de hipoglucemia debido a la secreción de un factor similar a la insulina por parte de las células tumorales 1.
Desde el punto de vista histológico y, en general, el tumor está constituido por células de aspecto histiocítico y células de aspecto fibroblástico en cantidades variables. Las células fusiformes y las células redondeadas se distribuyen adoptando un patrón estoriforme o «en rueda de carro». Se han descrito cinco subtipos histológicos: estoriforme-pleomórfico, mixoide, de células gigantes, inflamatorio y angiomatoide; el primero es el más frecuente. La inmunohistoquímica apenas tiene valor en el diagnóstico del HFM puesto que no existe un marcador específico; únicamente tiene utilidad para descartar otros tumores pleomórficos con los que se plantea el diagnóstico diferencial (carcinoma anaplásico, liposarcoma, rabdomiosarcoma, leiomiosarcoma y la variante pleomórfica del tumor maligno de la vaina nerviosa).
Se trata de un tumor muy agresivo, con elevada mortalidad. La supervivencia global a los 5 años oscila entre el 15 y el 58 %. El factor pronóstico más importante es el estadio del tumor, el cual depende del grado de diferenciación, del tamaño del tumor y de la presencia de metástasis a distancia, que aparecen sobre todo en pulmón, hueso e hígado, con mucha más frecuencia que las ganglionares.
El tratamiento de elección es la intervención quirúrgica amplia siempre que sea posible, asociada o no a radioterapia, y queda reservada la quimioterapia para los casos con metástasis a distancia. Todavía no se conoce con exactitud la célula originaria del histiocitoma fibroso maligno. Lo incierto de su origen y la variedad de tipos histológicos encontrados otorgan una gran heterogeneidad a este tumor, lo que ha llevado a una importante controversia en cuanto a su naturaleza exacta. No obstante, sigue empleándose el término de histiocitoma fibroso maligno en la literatura médica para describir un sarcoma pleomórfico de alto grado que afecta a adultos, en ausencia de hallazgos microscópicos de una diferenciación celular específica salvo la producción de colágeno 6.





