HISTORIA CLINICA
Un paciente varón de 4 años de edad acudió a nuestro servicio para control evolutivo de unas lesiones cutáneas en los dedos tercero y cuarto de la mano izquierda. Tres años antes las lesiones habían sido extirpadas por el servicio de traumatología infantil, recidivaron posteriormente. Por lo demás el paciente estaba sano, no presentaba otros antecedentes patológicos ni familiares de interés ni tomaba medicación.
EXPLORACION FISICA
En la exploración se observaban en la cara dorsolateral de la falange distal de los dedos tercero y cuarto de la mano izquierda, dos nódulos lisos del color de la piel normal y consistencia firme a la palpación, de 1,5 cm de diámetro aproximadamente, asintomáticos (figs. 1 y 2). El resto de la exploración física era normal.
Fig. 1.--Nódulos de color rojo claro en el extremo distal de los dedos tercero y cuarto de la mano izquierda, indoloros a la palpación.
Fig. 2.--Detalle de las lesiones.
EXPLORACIONES COMPLEMENTARIAS
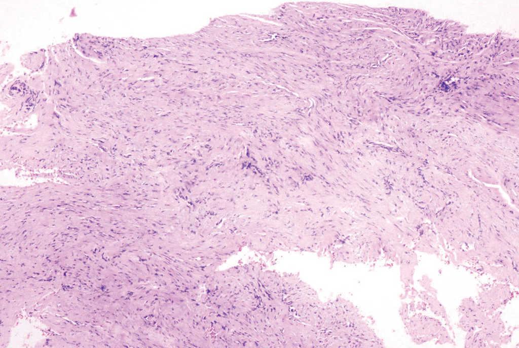
En la primera visita se realizó una analítica general, que no mostró hallazgos patológicos, y una serología viral, incluyendo virus exantemáticos, que resultó negativa. La radiografía de la mano sólo mostraba un engrosamiento focal de partes blandas, sin afectación ósea subyacente. Se revisaron las biopsias correspondientes a la lesiones extirpadas inicialmente (figs. 3-5).
Fig. 3.--La biopsia mostraba una tumoración mal delimitada situada en dermis y tejido celular subcutáneo. (Hematoxilina-eosina, x40.)
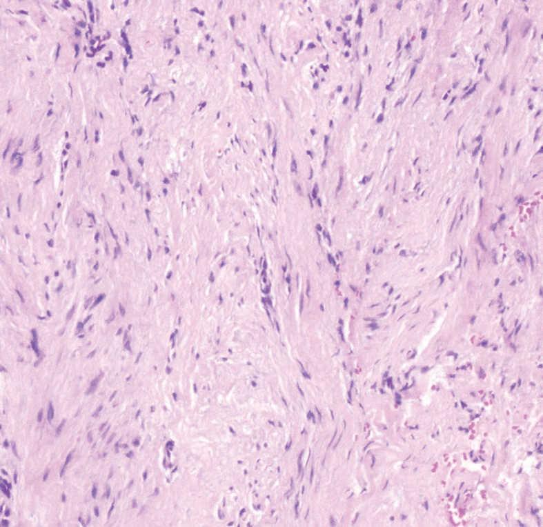
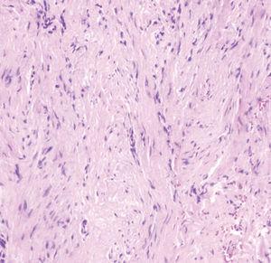
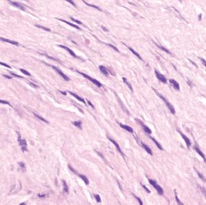
Fig. 4.--La tumoración estaba compuesta por fascículos entrelazados de células fusiformes. (Hematoxilina-eosina, x100.)
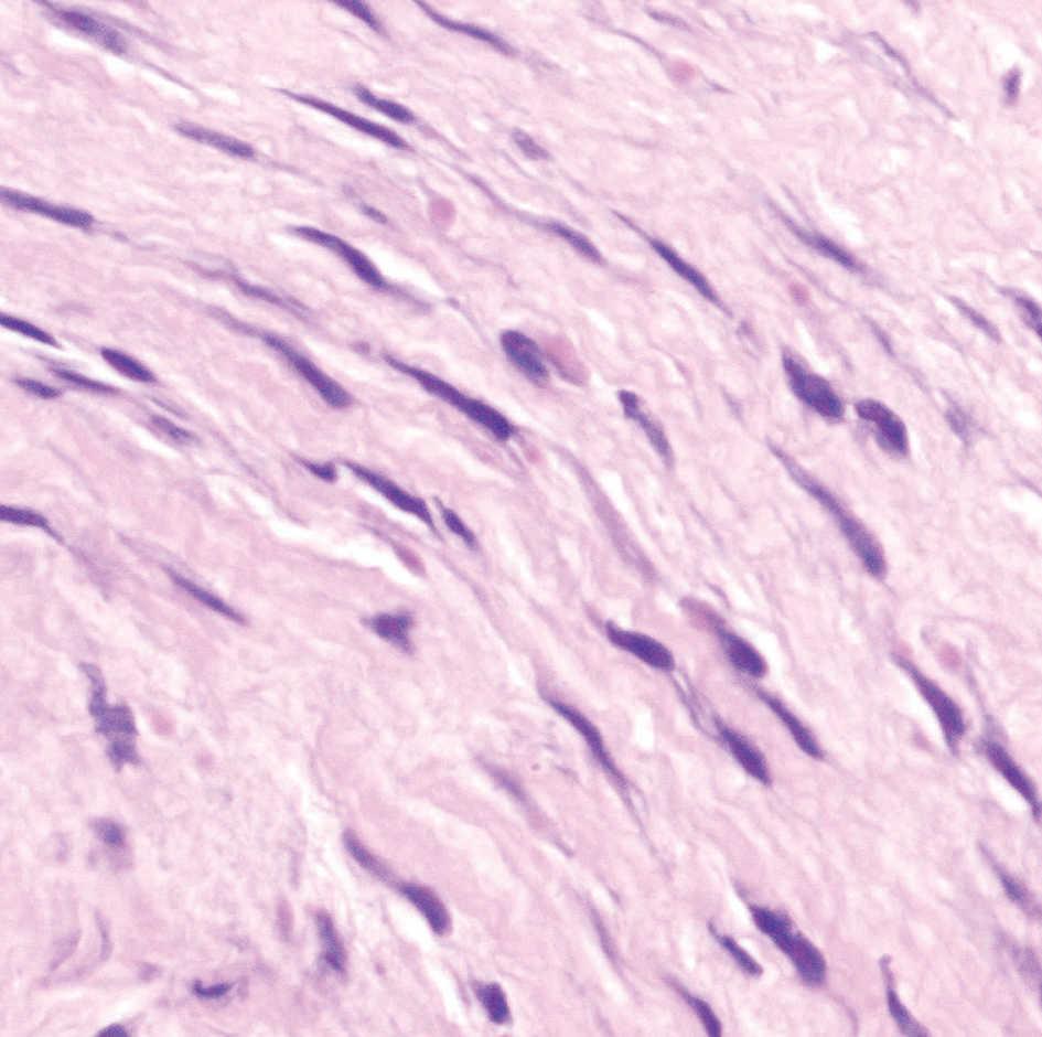
Fig. 5.--A mayor aumento se observaba la presencia en el citoplasma de las células de inclusiones eosinofílicas yuxtanucleares. (Hematoxilina-eosina, x400.)
DIAGNOSTICO
Fibromatosis digital infantil.
HISTOPATOLOGIA
El examen histopatológico correspondiente a la extirpación previamente realizada mostraba una proliferación mal delimitada localizada en la dermis y el tejido celular subcutáneo, que se extendía hasta la unión dermoepidérmica, compuesta por fascículos entrelazados de células fusiformes (figs. 3 y 4). No se observaban células ni mitosis atípicas. A mayor aumento, en el citoplasma de algunas de estas células se apreciaba la presencia de inclusiones intracitoplasmáticas eosinofílicas, algunas de localización perinuclear (fig. 5). No se realizó estudio inmunohistoquímico.
EVOLUCION
Ante la recidiva de las lesiones tras la primera extirpación y la ausencia de afectación articular o repercusión funcional se decidió mantener una conducta expectante. El niño sigue en la actualidad controles evolutivos periódicos. Las lesiones permanecen estables.
COMENTARIO
La fibromatosis digital infantil ha recibido otros nombres en la literatura médica, como fibromatosis digital de cuerpos de inclusión, tumor subdérmico fibromatoso de la infancia, fibromatosis dérmica infantil o fibromatosis digital recurrente. Se trata de una proliferación fibrosa que afecta fundamentalmente a niños, se localiza de forma característica en los dedos de manos y pies y tiene una histología característica 1,2. Casi todos los casos se han descrito en niños menores de un año y afecta a ambos sexos por igual 3. Sin embargo, algunas lesiones se han descrito en niños mayores, adolescentes y rara vez en adultos 4. La patogenia es desconocida, pero se ha sugerido que un traumatismo podría estar implicado en la etiología 5. En el pasado se propuso la teoría de un origen viral, fundamentada en la idea de que las inclusiones intracitoplasmáticas eosinofílicas que son distintivas de esta entidad eran inclusiones virales 6. El estudio ultraestructural e inmunohistoquímico de estas inclusiones ha permitido excluir esta teoría, mostrando que, en realidad, estas representan microfilamentos de actina densamente empaquetados 7. La fibromatosis digital infantil no es hereditaria.
Respecto a la sintomatología, se trata de nódulos indoloros firmes, lisos, cupuliformes, del color de la piel normal o rojo pálido, que se pueden presentar aislados o múltiples. La piel suprayacente aparece fija a la lesión. Estos nódulos se sitúan en la cara dorsolateral de los dedos de manos y/o pies 1,2,8,9. Es rara la afectación del primer dedo de la mano 10. No se han descrito casos de afectación del primer dedo del pie. Se han comunicado casos infrecuentes de localización extradigital 11,12. Las lesiones pueden crecer hasta alcanzar varios centímetros de diámetro. El dolor no es un síntoma típico, pero pueden aparecer deformidades articulares y alteración funcional 10.
La histología es característica. La biopsia cutánea muestra una proliferación mal delimitada en dermis y tejido celular subcutáneo, compuesta por células fusiformes, que corresponden a fibroblastos y miofibroblastos. Estas células se disponen formando fascículos entrelazados, rodeados por una estroma de colágeno, que se extienden hasta la unión dermoepidérmica. Las células presentan un núcleo alargado. La epidermis suprayacente no se ve apenas alterada, pero puede presentar ligera hiperqueratosis o acantosis. No se observan atipia nuclear ni mitosis atípicas. A mayor aumento se observan inclusiones eosinofílicas intracitoplasmáticas en las células fusiformes, de localización yuxtanuclear. Estas inclusiones se tiñen de rojo con el tricrómico de Masson y de púrpura con la hematoxilina ácida fosfotúngstica 1-10. El examen mediante microscopia electrónica revela que los cuerpos de inclusión citoplasmáticos se componen de una mezcla de material electrón-denso granular y fibrilar, que corresponde a filamentos similares a la actina 9,12. Se han descrito en adultos casos de un tumor histológicamente similar, pero de localización extradigital 4. Los estudios de inmunohistoquímica muestran en su mayoría positividad a la actina en el citoplasma de las células fusiformes.
El diagnóstico diferencial se plantea fundamentalmente con otras fibromatosis infantiles, cuya imagen histológica puede ser similar, pero no encontramos las inclusiones eosinofílicas que caracterizan a la fibromatosis digital infantil. Los fibrosarcomas también deben ser considerados, aunque la celularidad y la actividad mitótica es menor en la fibromatosis digital infantil y no hay necrosis. Tampoco hay en esta última atipia celular ni mitosis atípicas. Los queloides y las cicatrices hipertróficas pueden ser clínicamente similares, pero en la cicatriz la lesión es nodular y circunscrita y no se observan inclusiones citoplasmáticas en los fibroblastos y miofibroblastos. En el queloide la celularidad es menor, predominando los haces de colágeno hialinizado. Otras entidades con las que puede plantearse el diagnóstico diferencial clínico, pero presentan una histología bien diferenciada son los neurofibromas, los fibroqueratomas acrales y los dedos supranumerarios.
En cuanto al pronóstico, este es variable. Algunos niños experimentan regresión espontánea de las lesiones en un plazo de 2 o 3 años 13. Entre el 50 y el 75 % de los casos las lesiones recurren tras la intervención quirúrgica 1,2,8,9. Las recurrencias aparecen en la misma localización en un plazo de semanas o meses después de la escisión inicial o se desarrolla un segundo tumor en un dedo adyacente 10. La probabilidad de recurrencia es superior a la de otras fibromatosis infantiles, aunque el tipo digital presenta una menor capacidad de infiltración amplia 1,2,8,9. En los casos con regresión espontánea puede persistir cierta deformidad residual a modo de potencial complicación 1,2,8,9. Aunque el curso clínico es benigno, pueden persistir contracturas y estas tener repercusión funcional.
Por lo que respecta al tratamiento, en general, en ausencia de circunstancias especiales y tras confirmar la naturaleza de las lesiones mediante biopsia, se recomienda observación 1,2,5,8,9. En ocasiones es preciso intervenir quirúrgicamente para corregir las secuelas. Es preciso individualizar en cada caso 1,2,5,8,9.







