Un varón de 78 años de edad consultó por una lesión cutánea asintomática en la cara externa del brazo izquierdo, de siete meses de evolución. Se trataba de una lesión pápulo-nodular, cupuliforme, de unos 15 mm de diámetro, eritemato-violácea y de consistencia firme (fig. 1a).
a) Lesión pápulo-nodular eritematoviolácea de consistencia firme en cara externa de brazo izquierdo. b) Imagen dermatoscópica en la que se aprecian estructuras blanquecinas sobre un fondo eritematoso, telangiectasias no arboriformes, vasos de aspecto glomerular, y un retículo marrón delicado de predominio periférico.
Tumor arteriovenoso.
ComentarioCon dermatoscopia de luz polarizada se aprecia, sobre un fondo de eritema, la presencia de estructuras blanquecinas, un retículo marrón delicado de predominio periférico y estructuras vasculares (telangiectasias no arboriformes, en zonas con aspecto glomerular) (fig. 1b).
Dadas las características clínico-dermatoscópicas de la lesión, se planteó el diagnóstico diferencial entre una lesión de naturaleza vascular, entra las cuales se encuentra el tumor arteriovenoso, un dermatofibroma aneurismático y un melanoma nodular hipomelanótico, practicándose una exéresis completa de la misma (fig. 2).
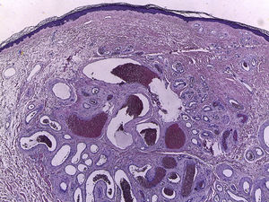
El estudio histopatológico mostró una proliferación bien circunscrita, pero no encapsulada, de vasos agregados en la dermis, revestidos por una hilera única de células endoteliales sin atipia. Unos vasos presentaban una pared fibromuscular gruesa, sin definitiva presencia de lámina elástica, y otros vasos una pared más delgada.
El tumor arteriovenoso, o tumor arteriovenoso acral, es una neoplasia benigna de origen vascular, de difícil diagnóstico clínico, habitualmente solitaria, asintomática y con predominio en zonas acrales, como la cabeza o las extremidades1. Se ha publicado su aparición sobre malformaciones capilares tipo mancha «en vino de Oporto»2.
Desde el punto de vista histopatológico se caracteriza por ser una proliferación bien circunscrita en dermis papilar, compuesta por múltiples espacios vasculares de paredes gruesas intercalados con otros de paredes finas. Se ha propuesto que se trata de una proliferación hamartomatosa del plexo subpapilar3,4.
Un reciente estudio de 39 casos recoge las características dermatoscópicas de estas lesiones. El patrón dermatoscópico más frecuentemente asociado al tumor arteriovenoso fue la presencia de telangiectasias no arboriformes sobre un fondo rojizo, presentándose en el 72% de los casos, en ausencia de las lagunas características de otros tumores vasculares. Además, la presencia de estructuras blanquecinas y de un retículo pigmentado delicado periférico fueron detectadas en un 49 y 18% de los casos, respectivamente4.
Si bien es cierto que el dermatofibroma aneurismático puede presentar estructuras vasculares en la dermatoscopia, estas se observan en la periferia de la lesión, en probable relación con vasos sanguíneos del estroma circundante. Este tipo de tumor presenta espacios irregulares rellenos de hematíes, pero que carecen de revestimiento endotelial y que, por ello, no se apreciarían como telangiectasias centrales en la dermatoscopia, sino como áreas homogéneas rojizas o azuladas5.
En el caso del melanoma nodular hipomelanótico sería muy relevante la presencia de un patrón vascular francamente atípico, fundamentalmente con vasos lineales irregulares y «en horquilla», además de áreas rojo-lechosas. En este contexto, sería infrecuente la presencia de un retículo pigmentado6.
En conclusión, la dermatoscopia puede ser una herramienta útil para diagnóstico del tumor arteriovenoso. Sin embargo, en este tipo de lesiones es obligado el estudio histopatológico de las mismas para su confirmación diagnóstica.
Conflicto de interesesLos autores declaran no tener ningún conflicto de intereses.




