HISTORIA CLINICA
Una mujer de 64 años consultó por presentar induración y engrosamiento labial progresivos desde hacía 2 meses y que habían empeorado bruscamente en las últimas 48 h. Había seguido tratamiento con antihistamínicos orales y corticoides tópicos sin mejoría. No refería alergias medicamentosas y como único antecedente relataba una depresión mayor en tratamiento con venlafaxina y ketazolam. Durante la anamnesis negaba la infiltración de materiales exógenos con fines cosméticos.
EXPLORACION FISICA
Se apreciaba un engrosamiento bilateral de los extremos comisurales de los labios, tanto superior como inferior, de consistencia dura e indoloro al tacto. No presentaba edema orofaríngeo ni facial (fig. 1).
Fig. 1.--Engrosamiento labial de predominio comisural.
EXAMENES COMPLEMENTARIOS
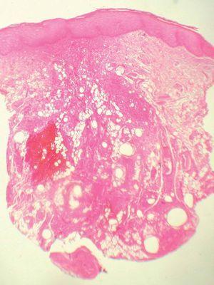
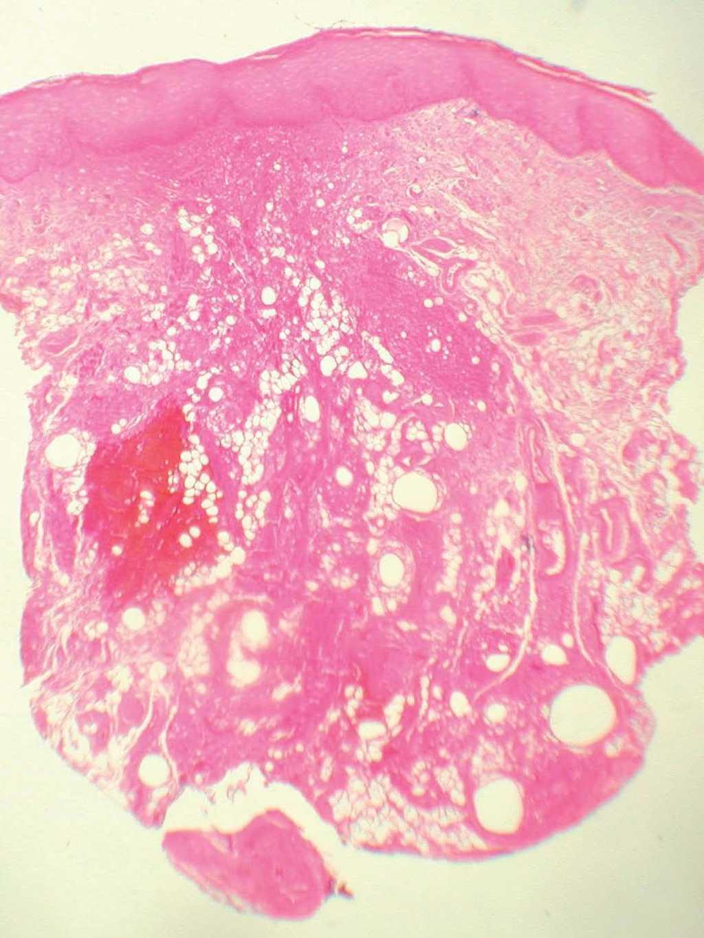
Se le realizó una biopsia en sacabocados de 6 mm de la lesión. La tinción con hematoxilina-eosina fue diagnóstica (figs. 2 y 3).
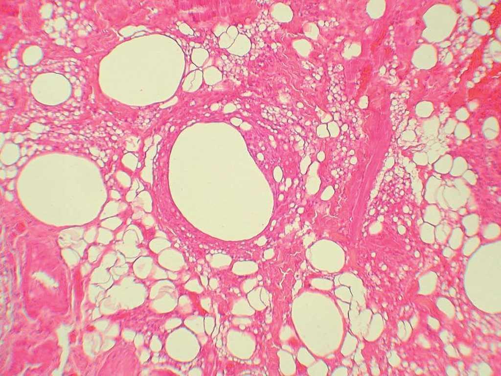
Fig. 2.--Infiltrado inflamatorio que rodea vacuolas translúcidas. (Hematoxilina-eosina, x20.)
Fig. 3.--Vacuolas de tamaño y forma variables. (Hematoxilina-eosina, x100.)
DIAGNOSTICO
Granuloma a cuerpo extraño por silicona.
HISTOPATOLOGIA
Se observaba un denso infiltrado inflamatorio que se extendía desde la dermis media hasta al tejido celular subcutáneo, rodeando estructuras vacuolazas claras, variables tanto en la forma como en el tamaño y con apariencia espumosa. El infiltrado inflamatorio estaba formado por células epiteloides, histiocitos, linfocitos y células gigantes multinucleadas (figs. 2 y 3).
EVOLUCION Y TRATAMIENTO
Tras informar a la paciente del diagnóstico ésta reconoció que un año antes se había practicado una infiltración en dicha localización, para aumentar el volumen de sus labios, en una perfumería. La paciente fue tratada con inyecciones intralesionales de acetónido de triamcinolona cada 3 semanas desde el día del diagnóstico, con mejoría completa tras la tercera sesión.
COMENTARIO
Las indicaciones de los materiales de relleno en dermatología son la corrección de arrugas faciales, el aumento de labios, filtrum, mentón o pómulos y la corrección de cicatrices y otros defectos subdérmicos. Existe una amplia variedad de materiales biológicos y artificiales empleados con fines estéticos como son el colágeno bovino, Bioplástico, Gore-Tex®, siliconas, ácido hialurónico, Demalive® o Artecoll®. Por desgracia, los materiales biológicos no están exentos de efectos adversos importantes o de reacciones alérgicas tras su uso y la durabilidad de los resultados es más corta, por lo que se autodigieren en pocos meses. Los materiales sintéticos son más duraderos, pero también cabe esperar mayor número de complicaciones 1,2.
La silicona es el material de relleno más permanente de todos los disponibles. Existen tres formas de silicona para uso médico: aceite, gel y elastómero. El resultado de su uso depende, en gran parte, de la técnica empleada. Las reacciones adversas se producen, con más frecuencia, cuando la silicona es implantada en la dermis papilar 3.
La estructura básica de la silicona consiste en cadenas químicas de silicio y átomos de oxígeno ligadas a grupos hidrocarbonados, como el metano. El silicio se encuentra, de forma natural, en el organismo humano como componente de los mucopolisacáridos 4.
Las complicaciones tras la infiltración de silicona son más frecuentes que las producidas por otros materiales como Artecoll® o Dermalive®. Pueden ocurrir desde dos hasta 30 años tras la inyección. Entre otras complicaciones encontramos: celulitis crónica, nódulos, granulomas a cuerpo extraño, linfadenitis o desplazamiento del material a partes cercanas o distantes del cuerpo 5. Los pacientes que presentan mayor riesgo de desarrollar granulomas por silicona son aquéllos con infecciones dentales de repetición, infección de los senos paranasales, polialérgicos o con enfermedades inflamatorias crónicas 6. Gran parte de estas complicaciones podrían ser evitadas empleando silicona pura, no adulterada, con una viscosidad de 1.000 cst (anteriores 350 cst) y administrando inyecciones con una técnica adecuada, infiltrando pequeños volúmenes en la dermis (técnica de microgotas). Gracias a la mayor viscosidad de esta silicona y a la inducción de una fibrosis controlada alrededor del implante, que actúa de sujeción, se evita en mayor medida la migración del material 4,5.
Histológicamente la silicona puede encontrarse tanto en el espacio intracelular como extracelular. En este último caso muestra una apariencia espumosa, con muchas vacuolas claras, sin birrefringencia y con formas y tamaños variables. Se encuentran rodeadas por un infiltrado granulomatoso compuesto por histiocitos, linfocitos y células gigantes multinucleadas. Estos nódulos granulomatosos se extienden desde la dermis al tejido celular subcutáneo y están rodeados por bandas de tejido conjuntivo 3. Con frecuencia pueden apreciarse cuerpos asteroides, angulados, translúcidos y birrefringentes en el interior del citoplasma de las células gigantes multinucleadas, que corresponden a impurezas de la silicona. Artecoll® es uno de los mejores materiales de relleno permanente empleados actualmente para la corrección de arrugas y el aumento de labios, debido a sus resultados cosméticos prolongados y a la escasa frecuencia de efectos adversos. Consiste en una suspensión compuesta por el 25 % de microesferas de polimetilmetacrilato (PMMA) de 30 a 40 micras de diámetro y el 75 % de una solución al 3,5 % de colágeno. Sólo el 3 % de casos sufren complicaciones, el 0,1 % de las cuales corresponden a granulomas. Típicamente, los granulomas por Artecoll® aparecen de 6 a 24 meses tras la infiltración. Se puede evitar esta reacción teniendo en cuenta que debe infiltrarse profundamente, entre la dermis y el tejido celular subcutáneo. Los granulomas se producen cuando la inyección es demasiado superficial o cuando se realizan retoques 1-7. En la histología se aprecia un infiltrado granulomatoso dérmico difuso formado por vacuolas redondeadas extracelulares, sin birrefringencia, de tamaño y forma uniforme rodeadas de histiocitos y células gigantes multinucleadas 3.
Dermalive® es un material bifásico formado por el 30 % de microsferas de etilmetacrilato de diámetro variable y el 70 % de ácido hialurónico. Debe implantarse en la dermis profunda. Histológicamente, se aprecia un infiltrado granulomatoso dérmico difuso que rodea cuerpos extraños extracelulares rosados, poligonales, translúcidos, sin birrefringencia, variables en la forma y en el tamaño 3.
El diagnóstico diferencial clínico del granuloma por materiales de relleno labiales se debe realizar con aquellas entidades que producen tumefacción de los labios. Entre ellas encontramos el angioedema hereditario, la queilitis glandular, la queilitis de células plasmáticas, la queilitis facticia, la enfermedad de Crohn, la dermatitis de contacto, hemangiomas, linfangiomas, erisipelas recurrentes, sarcoidosis, sífilis, lepra, tuberculosis, micobacteriosis atípica, leishmaniasis, amiloidosis, edema facial con eosinofilia o la macroquelia por reacción granulomatosa a otros cuerpos extraños como el sílice.
El tratamiento de los granulomas por silicona es complicado y se han propuesto varias alternativas. como la silicona puede migrar a áreas distantes del lugar de inyección, la escisión quirúrgica no siempre es posible o se requiere un amplio desbridamiento que puede implicar resultados cosméticos no satisfactorios. Los corticoides intralesionales o bien orales pueden ser temporalmente beneficiosos, sin embargo, es frecuente la recaída tras su retirada. El alopurinol se utiliza por su actividad frente a los antirradicales libres, los cuales podrían tener un papel importante en los trastornos granulomatosos 8. El empleo de minociclina oral, combinada o no con corticoides orales, puede ser beneficioso por su actividad antiinflamatoria, inmunomoduladora y antigranulomatosa 9. Otros tratamientos descritos son dosis bajas de isotretinoína oral 10, pentoxifilina oral y más recientemente, por su función inmunomoduladora, imiquimod al 5 % en crema 11 o etanercept 12.





