HISTORIA CLINICA
Un varón de 29 años, sin antecedentes personales, consultó porque desde hacía 6 años presentaba lesiones discretamente pruriginosas y exudativas en pliegues inguinales, que no mejoraban a pesar del tratamiento con antibióticos y antifúngicos tópicos. No refería lesiones en el resto del tegumento cutáneo, ni tampoco afectación sistémica. Su padre presentaba pequeñas lesiones en las caras laterales del cuello que también se acentuaban en verano y con la sudoración.
EXPLORACION FISICA
Se trataba de placas eritematosas, erosivas, con formaciones pseudoverrugosas y malolientes (fig. 1).
Fig. 1.--Afectación extensa de los pliegues inguinales por placas verrugosas con erosiones y costras.
EXPLORACIONES COMPLEMENTARIAS
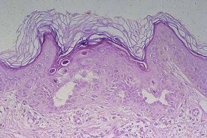
Se realizó una biopsia cutánea (fig. 2).
Fig. 2.--Hendiduras suprabasales con células disqueratósicas en la capa córnea y el estrato espinoso. (Hematoxilina-eosina, x40.)
DIAGNOSTICO
Enfermedad de Darier o queratosis folicular (OMIM 124200) de localización flexural.
HISTOPATOLOGIA
En la epidermis existía acantolisis y células disqueratósicas, tanto en el estrato espinoso (cuerpos redondos) como en la capa córnea (granos). Se formaban también hendiduras suprabasales en cuyo interior aparecían células acantolítica (fig. 2).
EVOLUCION Y TRATAMIENTO
El paciente recibió tratamiento con acitretina en dosis de 0,5 mg/kg/día y antibióticos sistémicos (doxiciclina). A los 3 meses se apreciaba importante mejoría de sus lesiones. El paciente no mostró signos ni síntomas de hipertensión intracraneal.
COMENTARIO
La enfermedad de Darier es una genodermatosis de herencia autosómica dominante. La edad de presentación suele ser los 20 años, aunque en ocasiones puede aparecer a edades tempranas. Clínicamente, se caracteriza por la aparición de lesiones simétricas y recurrentes que consisten en pápulas hiperqueratósicas y placas verrugosas, malolientes y con prurito variable. Las localizaciones preferentes son el tronco, los pliegues, el cuero cabelludo y la frente. En ocasiones se asocian depresiones puntiformes (pits) palmoplantares, diversas anomalías ungueales y trastornos neuropsiquiátricos, como retraso mental, esquizofrenia, trastornos bipolares y epilepsia. Las lesiones suelen empeorar con la exposición a la radiación solar, el calor y el sudor.
Existen siete variantes clínicas de la enfermedad de Darier: hipertrófica, vesiculoampollosa, hipopigmentada, queratinizante, zosteriforme o lineal, aguda y comedónica 1. Los casos de enfermedad de Darier lineal representarían, según algunos autores, casos de mosaicismo debido a mutaciones poszigóticas en el gen ATP2A2, o bien a la pérdida de heterozigosidad 2,3.
Los hallazgos histopatológicos incluyen acantolisis, hendiduras suprabasales y células disqueratósicas. Ultraestructuralmente, las lesiones muestran una reducción en el número de desmosomas y alteración de su estructura.
En 1993 se localizó el gen responsable de la enfermedad de Darier en el cromosoma 12q23-24.1 4. Más adelante, en 1999, Sakuntabhai et al 5 identificaron el gen ATP2A2 como el responsable. Este gen codifica una bomba de calcio adenosintrifosfatasa (ATPasa) del retículo sarcoendoplasmático (SERCA2), cuya función es catalizar el paso de calcio del citoplasma de la célula al interior del retículo endoplasmático. La homeostasis del calcio es crucial para la correcta formación de los desmosomas y para la diferenciación celular 6. Se han detectado hasta 140 mutaciones en el gen ATP2A2 7. La mayoría de ellas consisten en sustituciones de un aminoácido por otro. Estas mutaciones afectan a la actividad, degradación y expresión proteica, por lo que se supone que están implicados multitud de fenómenos bioquímicos 8. Sin embargo, aún no se han establecido correlaciones entre dichas mutaciones y el fenotipo de los pacientes.
No se han descubierto mutaciones en otros genes ni tampoco se ha podido demostrar la presencia de aneuploidía en todos los pacientes afectados. De hecho, es curioso como una mutación en un gen, que se expresa en múltiples tejidos del organismo, da lugar a una alteración confinada casi exclusivamente a la epidermis. Además, existe una gran variabilidad fenotípica entre los miembros de una misma familia 8. Algunos autores sugieren que esto se debe a mecanismos que incluyen una mayor expresión del alelo normal ATP2A2 y/o una compensación por otras SERCA que se expresan en la epidermis 6. Tampoco ha sido posible esclarecer por qué mutaciones similares dan lugar a fenotipos distintos.
En otras enfermedades cutáneas, como el nevo epidérmico acantolítico disqueratósico lineal y la acroqueratosis verruciforme de Hopf, se han descubierto mutaciones en el gen ATP2A2. Por este motivo, se ha sugerido que estas entidades serían formas alélicas, localizadas o acrales, de la enfermedad de Darier 9.
El diagnóstico diferencial de la enfermedad de Darier debe plantearse con aquellas enfermedades cutáneas que cursan histopatológicamente con acantolisis, como son el pénfigo benigno familiar (enfermedad de Hailey-Hailey) y la enfermedad de Grover (dermatosis acantolítica transitoria). En función de la característica predominante (acantolisis, disqueratosis, hendiduras suprabasales) se establecerá, junto con las manifestaciones clínicas, uno u otro diagnóstico. La disqueratosis es mucho más marcada en la enfermedad de Darier que en las otras dos entidades. Clínicamente, hasta el 50 % de los pacientes con enfermedad de Darier presentan pápulas planas similares a las verrugas planas en el dorso de las manos y de los pies. Éstas también las presentan los pacientes con acroqueratosis verruciforme de Hopf.
La acroqueratosis verruciforme de Hopf, genodermatosis de herencia autosómica dominante, está incluida, como la enfermedad de Darier, en los trastornos de la queratinización. Se caracteriza por la presencia de pápulas planas del color de la piel en el dorso de manos y pies, y pits palmoplantares. En la histología suelen existir diferentes grados de hiperqueratosis, hipergranulosis, acantosis y papilomatosis. No suele aparecer disqueratosis, aunque en algunos casos se ha descrito. Tanto Hopf como el propio Darier consideraron que ambas enfermedades estaban relacionadas. De hecho, algunos pacientes con acroqueratosis verruciforme de Hopf desarrollan, con el tiempo, características clínicas de la enfermedad de Darier, y en algunas familias coexisten ambas enfermedades 10.
Ya han sido varios autores los que han descubierto mutaciones en el gen ATP2A2 en varios casos de acroqueratosis verruciforme de Hopf 9,10.
El pénfigo benigno familiar es otra genodermatosis de herencia autosómica dominante, que se manifiesta en forma de erosiones cutáneas o lesiones vegetantes en zonas de roce, sobre todo en el cuello, las axilas y las ingles. Pueden desarrollarse lesiones vegetantes húmedas y malolientes. El hallazgo histopatológico principal es la acantolisis a lo largo del estrato espinoso, descrita como «una pared de ladrillos desmoronada».
En la enfermedad de Grover se producen pápulas pruriginosas y costrosas que no suelen confluir y que suelen aparecer tras oclusión y/o sudoración. La ausencia de antecedentes familiares y la ausencia de alteraciones palmoplantares, ungueales y de mucosas, que sólo se observan en la enfermedad de Darier, pueden ayudarnos a diferenciar clínicamente ambas entidades.
También se puede establecer el diagnóstico diferencial con una psoriasis invertida, en la que los bordes de las lesiones están mejor definidos y existen menos costras y erosiones, y con el pénfigo vegetante (tipo Hallopeau), que lo diferenciaremos por los antecedentes familiares y la inmunofluorescencia directa de la piel perilesional.
En cuanto al tratamiento de la enfermedad de Darier, se han utilizado antibióticos tópicos y sistémicos, antifúngicos y corticoides tópicos. Los retinoides, tanto tópicos (ácido retinoico 0,025 %) como sistémicos (etretinato, isotretinoína, acitretina, etiléster aritenoide), pueden resultar de ayuda, aunque las lesiones suelen recidivar al suspender el tratamiento. Algunos casos han sido tratados con terapia fotodinámica de forma adyuvante a los retinoides. Esta terapia se ha utilizado además de forma exitosa en el tratamiento de otros trastornos benignos inflamatorios o queratinizantes, como acné, psoriasis, infecciones por el virus del papiloma humano y enfermedad de Hailey-Hailey. Del mismo modo, como adyuvantes se han aportado buenos resultados con la fotoprotección solar e ingesta de ácido ascórbico (2 g/día). Queda aún por determinar la eficacia de distintos tipos de láseres empleados en algunos estudios.




